Render Target: STATIC
Render Timestamp:
5/20/2026, 7:10:48 AM EDT
5/20/2026, 11:10:48 AM UTC
Commit: 7ed46ecc04b401f23a28df741b5078df405d23e4
XML generation date: 2025-10-29 17:30:31.559
Product last modified at: 2026-03-20T08:04:55.775Z
Cell Signaling Technology Logo - Extra Large
1% for the planet logo
PDP - Template Name: Growth Factors and Cytokines
PDP - Template ID: *******9ad1159

Interleukin-11 (IL-11) #2168

Inquiry Info. # 2168

Please see our recommended alternatives.

    Product Information

    Product Usage Information

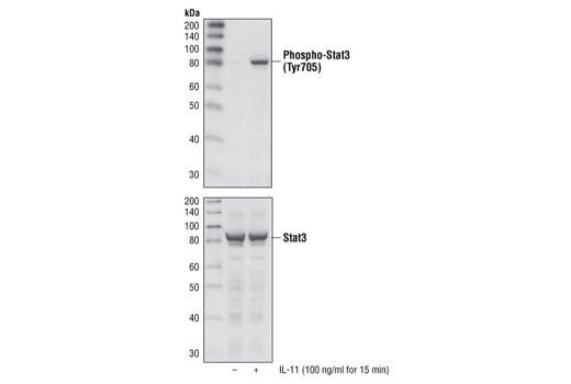
    CST recommends using 50-100 ng/ml of IL-11 for stimulation of IL-11 signaling.

    Storage

    Interleukin-11 is supplied as a solution. It should be stored at - 80°C. Aliquot the reagent upon receipt and avoid freeze-thaw cycles.

    Product Description

    The human IL-11 coding cDNA was subcloned into an expression vector and expressed in E. coli. The recombinant human IL-11 proteins were purified and stored in PBS buffer containing 0.1% BSA.
    MW (kDa) 19.1
    Purity >98%

    Source / Purification

    Human recombinant protein

    Background

    Interleukin-11 (IL-11) was initially cloned as a mediator of plasmacytoma cell proliferation and was later found to exhibit a wide variety of biological effects in neural cells as well as in the hematopoietic and immune systems (1). IL-11 belongs to the interleukin-6 (IL-6)-type subfamily of long-chain helical cytokines including IL-6, ciliary neurotrophic factor (CNTF), leukemia inhibitory factor (LIF), oncostatin M and cardiotrophin-1, which all share the glycoprotein gp130 as a signal transducing receptor component. IL-11 acts on cells expressing gp130 and the IL-11 receptor (IL-11R) α subunit. Both receptor subunits belong to the family of class I cytokine receptors. The complex of IL-11 and IL-11R triggers the activation of gp130 most likely by enforcing gp130 homodimerization (2). As a consequence of gp130 activation several cytoplasmic signal transduction cascades are initiated from which the Janus kinase (Jak)/signal transducer and activator of transcription (Stat) pathway has attracted considerable attention. Initiation of the Jak/Stat pathway in response to IL-11 requires Jak1 and leads predominantly to the activation of Stat3 (3,4).
    For Research Use Only. Not for Use in Diagnostic Procedures.
    Cell Signaling Technology is a trademark of Cell Signaling Technology, Inc.
    All other trademarks are the property of their respective owners. Visit our Trademark Information page.