Cell Signaling Technology Logo - Extra Large

PathScan® Acetylated p53 Sandwich ELISA Kit #7236

Filter:
  • ELISA+

Important Ordering Details

Custom Ordering Details:

If kit quantities from the same lot are needed in unlisted sizes, contact us for processing time and pricing.

Looking for this ELISA kit in a 384-well format? Inquire for availability, processing time, and pricing.

    Product Specifications

    REACTIVITY H M Mk
    Application Key:
    • ELISA+-ELISA and/or ELISA-like Assays 
    Species Cross-Reactivity Key:
    • H-Human 
    • M-Mouse 
    • Mk-Monkey 

    Product Information

    Product Description

    The PathScan® Acetylated p53 Sandwich ELISA Kit is a solid phase sandwich enzyme-linked immunosorbent assay (ELISA) that detects endogenous levels of acetylated lysines on p53. A p53 Mouse monoclonal Antibody has been coated onto the microwells. After incubation with cell lysates, the p53 is captured by the coated antibody. Following extensive washing, Acetylated-Lysine Rabbit monoclonal Antibody is added to detect the acetylated lysines on the p53 protein. Anti-rabbit IgG, HRP linked Antibody is then used to recognize the bound detection antibody. HRP substrate, TMB is added to develop color. The magnitude of the absorbance for this developed color is proportional to the quantity of acetylated p53.

    *Antibodies in kit are custom formulations specific to kit.

    Protocol

    Specificity / Sensitivity

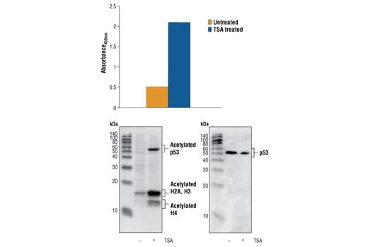
    PathScan® Acetylated p53 Sandwich ELISA Kit detects endogenous levels of Acetylated p53. Using this Sandwich ELISA Kit #7236, acetylated lysines on p53 are detected when treated with TSA in COS cells. However, the levels of p53 remain unchanged, as shown by Western analysis (Figure 1). NIH/3T3 and 293 cells treated with TSA show similar results (data not shown). This kit detects proteins from the indicated species, as determined through in-house testing, but may also detect homologous proteins from other species.

    Species Reactivity:

    Human, Mouse, Monkey

    Background

    The p53 tumor suppressor protein plays a major role in cellular response to DNA damage and other genomic aberrations. Activation of p53 can lead to either cell cycle arrest and DNA repair or apoptosis (1). p53 is phosphorylated at multiple sites in vivo and by several different protein kinases in vitro (2,3). DNA damage induces phosphorylation of p53 at Ser15 and Ser20 and leads to a reduced interaction between p53 and its negative regulator, the oncoprotein MDM2 (4). MDM2 inhibits p53 accumulation by targeting it for ubiquitination and proteasomal degradation (5,6). p53 can be phosphorylated by ATM, ATR, and DNA-PK at Ser15 and Ser37. Phosphorylation impairs the ability of MDM2 to bind p53, promoting both the accumulation and activation of p53 in response to DNA damage (4,7). Chk2 and Chk1 can phosphorylate p53 at Ser20, enhancing its tetramerization, stability, and activity (8,9). p53 is phosphorylated at Ser392 in vivo (10,11) and by CAK in vitro (11). Phosphorylation of p53 at Ser392 is increased in human tumors (12) and has been reported to influence the growth suppressor function, DNA binding, and transcriptional activation of p53 (10,13,14). p53 is phosphorylated at Ser6 and Ser9 by CK1δ and CK1ε both in vitro and in vivo (13,15). Phosphorylation of p53 at Ser46 regulates the ability of p53 to induce apoptosis (16). Acetylation of p53 is mediated by p300 and CBP acetyltransferases. Inhibition of deacetylation suppressing MDM2 from recruiting HDAC1 complex by p19 (ARF) stabilizes p53. Acetylation appears to play a positive role in the accumulation of p53 protein in stress response (17). Following DNA damage, human p53 becomes acetylated at Lys382 (Lys379 in mouse) in vivo to enhance p53-DNA binding (18). Deacetylation of p53 occurs through interaction with the SIRT1 protein, a deacetylase that may be involved in cellular aging and the DNA damage response (19).
    1. Levine, A.J. (1997) Cell 88, 323-31.
    2. Meek, D.W. (1994) Semin Cancer Biol 5, 203-10.
    3. Milczarek, G.J. et al. (1997) Life Sci 60, 1-11.
    4. Shieh, S.Y. et al. (1997) Cell 91, 325-34.
    5. Chehab, N.H. et al. (1999) Proc Natl Acad Sci U S A 96, 13777-82.
    6. Honda, R. et al. (1997) FEBS Lett 420, 25-7.
    7. Tibbetts, R.S. et al. (1999) Genes Dev 13, 152-7.
    8. Shieh, S.Y. et al. (1999) EMBO J 18, 1815-23.
    9. Hirao, A. et al. (2000) Science 287, 1824-7.
    10. Hao, M. et al. (1996) J Biol Chem 271, 29380-5.
    11. Lu, H. et al. (1997) Mol Cell Biol 17, 5923-34.
    12. Ullrich, S.J. et al. (1993) Proc Natl Acad Sci U S A 90, 5954-8.
    13. Kohn, K.W. (1999) Mol Biol Cell 10, 2703-34.
    14. Lohrum, M. and Scheidtmann, K.H. (1996) Oncogene 13, 2527-39.
    15. Knippschild, U. et al. (1997) Oncogene 15, 1727-36.
    16. Oda, K. et al. (2000) Cell 102, 849-62.
    17. Ito, A. et al. (2001) EMBO J 20, 1331-40.
    18. Sakaguchi, K. et al. (1998) Genes Dev 12, 2831-41.
    19. Solomon, J.M. et al. (2006) Mol Cell Biol 26, 28-38.

    Alternate Names

    Antigen NY-CO-13; BCC7; BMFS5; Cellular tumor antigen p53; FLJ92943; LFS1; mutant tumor protein 53; P53; p53 antigen; p53 transformation suppressor; p53 tumor suppressor; Phosphoprotein p53; TP53; transformation-related protein 53; TRP53; tumor protein 53; tumor protein p53; Tumor suppressor p53; tumor supressor p53

    For Research Use Only. Not for Use in Diagnostic Procedures.
    Cell Signaling Technology is a trademark of Cell Signaling Technology, Inc.
    PathScan is a registered trademark of Cell Signaling Technology, Inc.
    All other trademarks are the property of their respective owners. Visit our Trademark Information page.