Cell Signaling Technology Logo - Extra Large

FastScan SARS-CoV-2 Spike Protein (RBD) ELISA Kit #86598

Filter:
  • ELISA

Important Ordering Details

Custom Ordering Details:

If kit quantities from the same lot are needed in unlisted sizes, contact us for processing time and pricing.

Looking for this ELISA kit in a 384-well format? Inquire for availability, processing time, and pricing.

    Product Specifications

    REACTIVITY Vir
    Application Key:
    • ELISA-ELISA 
    Species Cross-Reactivity Key:
    • Vir-Virus 

    Product Information

    Product Description

    The FastScan™ SARS-CoV-2 Spike Protein (RBD) ELISA Kit is a sandwich enzyme-linked immunosorbent assay (ELISA) that detects endogenous levels of SARS-CoV-2 spike protein (RBD). To perform the assay, sample is incubated with a capture antibody conjugated with a proprietary tag and a second detection antibody linked to HRP, forming a sandwich with SARS-CoV-2 spike protein (RBD) in solution. This entire complex is immobilized to the plate via an anti-tag antibody. The wells are then washed to remove unbound material. TMB is then added. The magnitude of observed signal is proportional to the quantity of SARS-CoV-2 spike protein (RBD).

    *Antibodies in kit are custom formulations specific to kit.

    IMPORTANT: This FastScan™ ELISA Kit requires 4 washes at Step 6 of the protocol.

    Protocol

    Specificity / Sensitivity

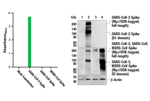
    The FastScan™ SARS-CoV-2 Spike Protein (RBD) ELISA Kit detects endogenous levels of SARS-CoV-2 spike protein (RBD), but does not cross-react with spike proteins from SARS or MERS coronaviruses, as shown in Figure 1. This kit detects proteins from the indicated species, as determined through in-house testing, but may also detect homologous proteins from other species. This ELISA kit will detect SARS-CoV-2 spike protein fragments or full-length protein that contain the RBD region, as shown in Figure 2 (both ELISA antibodies target regions in the RBD of the SARS-CoV-2 spike protein).

    Species Reactivity:

    Virus

    Background

    The cause of the COVID-19 pandemic is a novel and highly pathogenic coronavirus, termed SARS-CoV-2 (severe acute respiratory syndrome coronavirus-2). SARS-CoV-2 is a member of the Coronaviridae family of viruses (1). The genome of SARS-CoV-2 is similar to other coronaviruses, and is comprised of four key structural proteins: S, the spike protein, E, the envelope protein, M, the membrane protein, and N, the nucleocapsid protein (2). Coronavirus spike proteins are class I fusion proteins and harbor an ectodomain, a transmembrane domain, and an intracellular tail (3,4). The highly glycosylated ectodomain projects from the viral envelope surface and facilitates attachment and fusion with the host cell plasma membrane. The ectodomain can be further subdivided into host receptor-binding domain (RBD) (S1) and membrane-fusion (S2) subunits, which are produced upon proteolysis by host proteases at S1/S2 and S2’ sites. S1 and S2 subunits remain associated after cleavage and assemble into crown-like homotrimers (2,4). In humans, both SARS-CoV and SARS-CoV-2 spike proteins utilize the angiotensin-converting enzyme 2 (ACE2) protein as a receptor for cellular entry (5-7). Spike protein subunits represent a key antigenic feature of coronavirus virions, and therefore represent an important target of vaccines, novel therapeutic antibodies, and small-molecule inhibitors (8,9).

    Alternate Names

    2019-nCoV surface glycoprotein; Peplomer protein; S glycoprotein; SARS-CoV-2 spike protein; spike glycoprotein; SPIKE_SARS2; surface glycoprotein

    For Research Use Only. Not for Use in Diagnostic Procedures.
    Cell Signaling Technology is a trademark of Cell Signaling Technology, Inc.
    FastScan™ ELISA is a registered trademark of Cell Signaling Technology, Inc.
    U.S. Patents 9,086,407, 9,261,500, and 9,476,874, foreign equivalents, and child patents deriving therefrom.
    All other trademarks are the property of their respective owners. Visit our Trademark Information page.