Cell Signaling Technology Logo - Extra Large

PathScan® RP Total LRRK2 Sandwich ELISA Kit #69930

Filter:
  • ELISA+

Important Ordering Details

Custom Ordering Details:

If kit quantities from the same lot are needed in unlisted sizes, contact us for processing time and pricing.

Looking for this ELISA kit in a 384-well format? Inquire for availability, processing time, and pricing.

    Product Specifications

    REACTIVITY H M
    Application Key:
    • ELISA+-ELISA and/or ELISA-like Assays 
    Species Cross-Reactivity Key:
    • H-Human 
    • M-Mouse 

    Product Information

    Product Description

    The rapid protocol (RP) PathScan® RP Total LRRK2 Sandwich ELISA Kit is a solid phase sandwich enzyme-linked immunosorbent assay (ELISA) that detects endogenous levels of LRRK2 in a reduced assay time of 1.5 hours. Incubation of cell lysates and detection antibody on the coated microwell plate forms a sandwich with LRRK2 in a single step. The plate is then extensively washed and TMB reagent is added for signal development. The magnitude of absorbance for the developed color is proportional to the quantity of LRRK2. Learn more about all of your ELISA kit options here.

    *Antibodies in this kit are custom formulations specific to kit.

    Protocol

    Specificity / Sensitivity

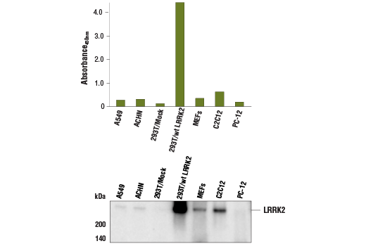
    The PathScan® RP Total LRRK2 Sandwich ELISA Kit detects endogenous levels of LRRK2. This kit sensitivity is shown in Figure 2. This kit detects proteins from the indicated species, as determined through in-house testing, but may also detect homologous proteins from other species.

    Species Reactivity:

    Human, Mouse

    Background

    Parkinson’s disease (PD), the second most common neurodegenerative disease after Alzheimer’s, is a progressive movement disorder characterized by rigidity, tremors, and postural instability. The pathological hallmarks of PD are progressive loss of dopaminergic neurons in the substantia nigra of the ventral midbrain and the presence of intracellular Lewy bodies (protein aggregates of α-synuclein, ubiquitin, and other components) in surviving neurons of the brain stem (1). Research studies have shown various genes and loci are genetically linked to PD including α-synuclein/PARK1 and 4, parkin/PARK2, UCH-L1/PARK5, PINK1/PARK6, DJ-1/PARK7, LRRK2/PARK8, synphilin-1, and NR4A2 (2).
    Leucine-rich repeat kinase 2 (LRRK2) contains amino-terminal leucine-rich repeats (LRR), a Ras-like small GTP binding protein-like (ROC) domain, an MLK protein kinase domain, and a carboxy-terminal WD40 repeat domain. Research studies have linked at least 20 LRRK2 mutations to PD, with the G2019S mutation being the most prevalent (3). The G2019S mutation causes increased LRRK2 kinase activity, which induces a progressive reduction in neurite length that leads to progressive neurite loss and decreased neuronal survival (4). Researchers are currently testing the MLK inhibitor CEP-1347 in PD clinical trials, indicating the potential value of LRRK2 as a therapeutic target for treatment of PD (5).

    Alternate Names

    augmented in rheumatoid arthritis 17; AURA17; Dardarin; leucine rich repeat kinase 2; leucine-rich repeat kinase 2; Leucine-rich repeat serine/threonine-protein kinase 2; LRRK2; PARK8; RIPK7; ROCO2

    For Research Use Only. Not for Use in Diagnostic Procedures.
    Cell Signaling Technology is a trademark of Cell Signaling Technology, Inc.
    PathScan is a registered trademark of Cell Signaling Technology, Inc.
    All other trademarks are the property of their respective owners. Visit our Trademark Information page.