Cell Signaling Technology Logo - Extra Large
Trial Size Available Flag
Recombinant Flag
Recombinant: Superior lot-to-lot consistency, continuous supply, and animal-free manufacturing.

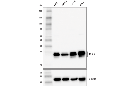
14-3-3 (pan) (E9S9M) Rabbit Monoclonal Antibody #95422

Filter:
  • WB

    Product Specifications

    REACTIVITY H M R Mk
    SENSITIVITY Endogenous
    MW (kDa) 27-29
    Source/Isotype Rabbit IgG
    Application Key:
    • WB-Western Blotting 
    Species Cross-Reactivity Key:
    • H-Human 
    • M-Mouse 
    • R-Rat 
    • Mk-Monkey 

    Product Information

    Product Usage Information

    Application Dilution
    Western Blotting 1:1000

    Storage

    Supplied in 10 mM sodium HEPES (pH 7.5), 150 mM NaCl, 100 µg/ml BSA, 50% glycerol and less than 0.02% sodium azide. Store at –20°C. Do not aliquot the antibody.

    Protocol

    Specificity / Sensitivity

    14-3-3 (pan) (E9S9M) Rabbit Monoclonal Antibody recognizes endogenous levels of total 14-3-3 protein. This antibody detects all known isoforms of mammalian 14-3-3 proteins (β/α, γ, ε, η, ζ/δ, θ/τ and σ).

    Species Reactivity:

    Human, Mouse, Rat, Monkey

    Source / Purification

    Monoclonal antibody is produced by immunizing animals with a synthetic peptide corresponding to residues surrounding Gln221 of human 14-3-3 β/α protein.

    Background

    The 14-3-3 family of proteins plays a key regulatory role in signal transduction, checkpoint control, apoptotic and nutrient-sensing pathways (1,2). 14-3-3 proteins are highly conserved and ubiquitously expressed. There are at least seven isoforms, β, γ, ε, σ, ζ, τ, and η that have been identified in mammals. The initially described α and δ isoforms are confirmed to be phosphorylated forms of β and ζ, respectively (3). Through their amino-terminal α helical region, 14-3-3 proteins form homo- or heterodimers that interact with a wide variety of proteins: transcription factors, metabolic enzymes, cytoskeletal proteins, kinases, phosphatases, and other signaling molecules (3,4). The interaction of 14-3-3 proteins with their targets is primarily through a phospho-Ser/Thr motif. However, binding to divergent phospho-Ser/Thr motifs, as well as phosphorylation independent interactions has been observed (4). 14-3-3 binding masks specific sequences of the target protein, and therefore, modulates target protein localization, phosphorylation state, stability, and molecular interactions (1-4). 14-3-3 proteins may also induce target protein conformational changes that modify target protein function (4,5). Distinct temporal and spatial expression patterns of 14-3-3 isoforms have been observed in development and in acute response to extracellular signals and drugs, suggesting that 14-3-3 isoforms may perform different functions despite their sequence similarities (4). Several studies suggest that 14-3-3 isoforms are differentially regulated in cancer and neurological syndromes (2,3).

    Alternate Names

    14-3-3; 14-3-3 alpha; 14-3-3 beta; 14-3-3 delta; 14-3-3 epsilon; 14-3-3 eta; 14-3-3 gamma; 14-3-3 protein beta/alpha; 14-3-3 protein beta/alpha, N-terminally processed; 14-3-3 protein epsilon; 14-3-3 protein eta; 14-3-3 protein gamma; 14-3-3 protein gamma, N-terminally processed; 14-3-3 protein sigma; 14-3-3 protein T-cell; 14-3-3 protein tau; 14-3-3 protein theta; 14-3-3 protein zeta/delta; 14-3-3 protein/cytosolic phospholipase A2; 14-3-3 sigma; 14-3-3 theta; 14-3-3 zeta; 14-3-3-zeta; 14-3-3E; 14-3-3GAMMA; 1433B; 1433E; 1433F; 1433G; 1433S; 1433T; 1433Z; 1C5; brain protein 14-3-3, beta isoform; EIEE56; epididymis luminal protein 2; epididymis luminal protein 4; epididymis secretory protein Li 1; epididymis secretory protein Li 3; epididymis secretory protein Li 93; Epithelial cell marker protein 1; FLJ45465; FLJ53559; GW128; HEL-S-1; HEL-S-3; HEL-S-93; HEL2; HEL4; HME1; HS1; KCIP-1; MDCR; MDS; MGC111427; MGC126532; MGC138156; mitochondrial import stimulation factor L subunit; phospholipase A2; POPCHAS; PPP1R170; Protein 1054; Protein AS1; Protein HS1; Protein kinase C inhibitor protein 1; protein kinase C inhibitor protein-1; protein phosphatase 1, regulatory subunit 170; protein tau; protein, theta; SFN; stratifin; tyrosine 3-monooxygenase/tryptophan 5-monooxygenase activation protein beta; tyrosine 3-monooxygenase/tryptophan 5-monooxygenase activation protein epsilon; tyrosine 3-monooxygenase/tryptophan 5-monooxygenase activation protein eta; tyrosine 3-monooxygenase/tryptophan 5-monooxygenase activation protein gamma; tyrosine 3-monooxygenase/tryptophan 5-monooxygenase activation protein theta; tyrosine 3-monooxygenase/tryptophan 5-monooxygenase activation protein zeta; tyrosine 3-monooxygenase/tryptophan 5-monooxygenase activation protein, alpha polypeptide; tyrosine 3-monooxygenase/tryptophan 5-monooxygenase activation protein, beta polypeptide; tyrosine 3-monooxygenase/tryptophan 5-monooxygenase activation protein, delta polypeptide; tyrosine 3-monooxygenase/tryptophan 5-monooxygenase activation protein, epsilon polypeptide; tyrosine 3-monooxygenase/tryptophan 5-monooxygenase activation protein, eta polypeptide; tyrosine 3-monooxygenase/tryptophan 5-monooxygenase activation protein, gamma polypeptide; tyrosine 3-monooxygenase/tryptophan 5-monooxygenase activation protein, theta polypeptide; tyrosine 3-monooxygenase/tryptophan 5-monooxygenase activation protein, zeta polypeptide; tyrosine 3/tryptophan 5 -monooxygenase activation protein, epsilon polypeptide; tyrosine 3/tryptophan 5 -monooxygenase activation protein, zeta polypeptide; YWHA1; YWHAA; YWHAB; YWHAD; YWHAE; YWHAG; YWHAH; YWHAQ; YWHAS; YWHAZ

    For Research Use Only. Not for Use in Diagnostic Procedures.
    Cell Signaling Technology is a trademark of Cell Signaling Technology, Inc.
    All other trademarks are the property of their respective owners. Visit our Trademark Information page.