Cell Signaling Technology Logo - Extra Large
Recombinant Flag
Recombinant: Superior lot-to-lot consistency, continuous supply, and animal-free manufacturing.

Akt1 (D9R8K) Rabbit Monoclonal Antibody (BSA and Azide Free) #60725

Filter:
  • WB
  • IHC

    Product Specifications

    REACTIVITY H M R Mk
    SENSITIVITY Endogenous
    MW (kDa) 60
    Source/Isotype Rabbit IgG
    Application Key:
    • WB-Western Blotting 
    • IHC-Immunohistochemistry 
    Species Cross-Reactivity Key:
    • H-Human 
    • M-Mouse 
    • R-Rat 
    • Mk-Monkey 

    Product Information

    Product Usage Information

    This product is the carrier free version of product #75692. All data were generated using the same antibody clone in the standard formulation which contains BSA and glycerol.

    This formulation is ideal for use with technologies requiring specialized or custom antibody labeling, including fluorophores, metals, lanthanides, and oligonucleotides. It is not recommended for ChIP, ChIP-seq, CUT&RUN or CUT&Tag assays. If you require a carrier free formulation for chromatin profiling, please contact us. Optimal dilutions/concentrations should be determined by the end user.

    BSA and Azide Free antibodies are quality control tested by size exclusion chromatography (SEC) to determine antibody integrity.

    Formulation

    Supplied in 1X PBS (10 mM Na2HPO4, 3 mM KCl, 2 mM KH2PO4, and 140 mM NaCl (pH 7.8)). BSA and Azide Free.

    For standard formulation of this product see product #75692

    Storage

    Store at -20°C. This product will freeze at -20°C so it is recommended to aliquot into single-use vials to avoid multiple freeze/thaw cycles. A slight precipitate may be present and can be dissolved by gently vortexing. This will not interfere with antibody performance.

    Specificity / Sensitivity

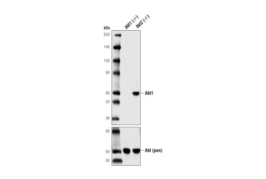
    Akt1 (D9R8K) Rabbit Monoclonal Antibody (BSA and Azide Free) detects endogenous levels of total Akt1 protein. This antibody does not cross-react with Akt2 or Akt3.

    Species Reactivity:

    Human, Mouse, Rat, Monkey

    Source / Purification

    Monoclonal antibody is produced by immunizing animals with a synthetic peptide surrounding Leu110 of human Akt1.

    Background

    Akt, also referred to as PKB or Rac, plays a critical role in controlling cell survival and apoptosis (1-3). This protein kinase is activated by insulin and various growth and survival factors to function in a wortmannin-sensitive pathway involving PI3 kinase (2,3). Akt is activated by phospholipid binding and activation loop phosphorylation at Thr308 by PDK1 (4) and by phosphorylation within the carboxy terminus at Ser473. The previously elusive PDK2 responsible for phosphorylation of Akt at Ser473 has been identified as mammalian target of rapamycin (mTOR) in a rapamycin-insensitive complex with rictor and Sin1 (5,6). Akt promotes cell survival by inhibiting apoptosis through phosphorylation and inactivation of several targets, including Bad (7), forkhead transcription factors (8), c-Raf (9), and caspase-9. PTEN phosphatase is a major negative regulator of the PI3K/Akt signaling pathway (10). LY294002 is a specific PI3 kinase inhibitor (11). Another essential Akt function is the regulation of glycogen synthesis through phosphorylation and inactivation of GSK-3α and β (12,13). Akt may also play a role in insulin stimulation of glucose transport (12). In addition to its role in survival and glycogen synthesis, Akt is involved in cell cycle regulation by preventing GSK-3β-mediated phosphorylation and degradation of cyclin D1 (14) and by negatively regulating the cyclin-dependent kinase inhibitors p27 Kip1 (15) and p21 Waf1/Cip1 (16). Akt also plays a critical role in cell growth by directly phosphorylating mTOR in a rapamycin-sensitive complex containing raptor (17). More importantly, Akt phosphorylates and inactivates tuberin (TSC2), an inhibitor of mTOR within the mTOR-raptor complex (18,19).
    1. Franke, T.F. et al. (1997) Cell 88, 435-7.
    2. Burgering, B.M. and Coffer, P.J. (1995) Nature 376, 599-602.
    3. Franke, T.F. et al. (1995) Cell 81, 727-36.
    4. Alessi, D.R. et al. (1996) EMBO J 15, 6541-51.
    5. Sarbassov, D.D. et al. (2005) Science 307, 1098-101.
    6. Jacinto, E. et al. (2006) Cell 127, 125-37.
    7. Cardone, M.H. et al. (1998) Science 282, 1318-21.
    8. Brunet, A. et al. (1999) Cell 96, 857-68.
    9. Zimmermann, S. and Moelling, K. (1999) Science 286, 1741-4.
    10. Cantley, L.C. and Neel, B.G. (1999) Proc Natl Acad Sci USA 96, 4240-5.
    11. Vlahos, C.J. et al. (1994) J Biol Chem 269, 5241-8.
    12. Hajduch, E. et al. (2001) FEBS Lett 492, 199-203.
    13. Cross, D.A. et al. (1995) Nature 378, 785-9.
    14. Diehl, J.A. et al. (1998) Genes Dev 12, 3499-511.
    15. Gesbert, F. et al. (2000) J Biol Chem 275, 39223-30.
    16. Zhou, B.P. et al. (2001) Nat Cell Biol 3, 245-52.
    17. Navé, B.T. et al. (1999) Biochem J 344 Pt 2, 427-31.
    18. Inoki, K. et al. (2002) Nat Cell Biol 4, 648-57.
    19. Manning, B.D. et al. (2002) Mol Cell 10, 151-62.

    Alternate Names

    AKT; AKT serine/threonine kinase 1; AKT1; AKT1 kinase; AKT1m; MGC99656; PKB; PKB alpha; PKB-ALPHA; PRKBA; Protein kinase B; Protein kinase B alpha; Proto-oncogene c-Akt; RAC; rac protein kinase alpha; RAC-ALPHA; RAC-alpha serine/threonine-protein kinase; RAC-PK-alpha; serine-threonine protein kinase; v-akt murine thymoma viral oncogene homolog 1; v-akt murine thymoma viral oncogene-like protein 1

    For Research Use Only. Not for Use in Diagnostic Procedures.
    Cell Signaling Technology is a trademark of Cell Signaling Technology, Inc.
    SignalSlide is a registered trademark of Cell Signaling Technology, Inc.
    SignalStain is a registered trademark of Cell Signaling Technology, Inc.
    All other trademarks are the property of their respective owners. Visit our Trademark Information page.