Cell Signaling Technology Logo - Extra Large
Trial Size Available Flag
Recombinant Flag
Recombinant: Superior lot-to-lot consistency, continuous supply, and animal-free manufacturing.

Akt3 (E1Z3W) Rabbit Monoclonal Antibody #14982

Filter:
  • WB
  • IP
  • IF

    Product Specifications

    REACTIVITY H M R
    SENSITIVITY Endogenous
    MW (kDa) 60
    Source/Isotype Rabbit IgG
    Application Key:
    • WB-Western Blotting 
    • IP-Immunoprecipitation 
    • IF-Immunofluorescence 
    Species Cross-Reactivity Key:
    • H-Human 
    • M-Mouse 
    • R-Rat 

    Product Information

    Product Usage Information

    Application Dilution
    Western Blotting 1:1000
    Immunoprecipitation 1:50
    Immunofluorescence (Immunocytochemistry) 1:800

    Storage

    Supplied in 10 mM sodium HEPES (pH 7.5), 150 mM NaCl, 100 µg/ml BSA, 50% glycerol and less than 0.02% sodium azide. Store at –20°C. Do not aliquot the antibody.

    For a carrier free (BSA and azide free) version of this product see product #87807.

    Protocol

    Specificity / Sensitivity

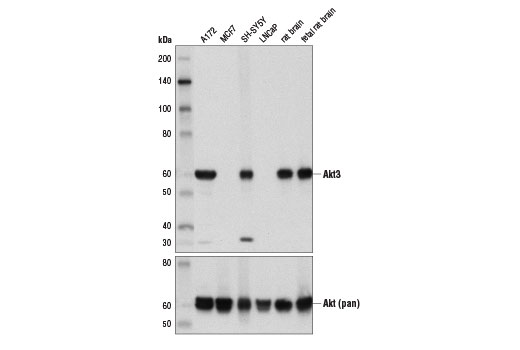
    Akt3 (E1Z3W) Rabbit Monoclonal Antibody recognizes endogenous levels of total Akt3 protein.

    Species Reactivity:

    Human, Mouse, Rat

    Source / Purification

    Monoclonal antibody is produced by immunizing animals with a synthetic peptide corresponding to residues surrounding His140 of human Akt3 protein.

    Background

    Akt, also referred to as PKB or Rac, plays a critical role in controlling cell survival and apoptosis (1-3). This protein kinase is activated by insulin and various growth and survival factors to function in a wortmannin-sensitive pathway involving PI3 kinase (2,3). Akt is activated by phospholipid binding and activation loop phosphorylation at Thr308 by PDK1 (4) and by phosphorylation within the carboxy terminus at Ser473. The previously elusive PDK2 responsible for phosphorylation of Akt at Ser473 has been identified as mammalian target of rapamycin (mTOR) in a rapamycin-insensitive complex with rictor and Sin1 (5,6). Akt promotes cell survival by inhibiting apoptosis through phosphorylation and inactivation of several targets, including Bad (7), forkhead transcription factors (8), c-Raf (9), and caspase-9. PTEN phosphatase is a major negative regulator of the PI3K/Akt signaling pathway (10). LY294002 is a specific PI3 kinase inhibitor (11). Another essential Akt function is the regulation of glycogen synthesis through phosphorylation and inactivation of GSK-3α and β (12,13). Akt may also play a role in insulin stimulation of glucose transport (12). In addition to its role in survival and glycogen synthesis, Akt is involved in cell cycle regulation by preventing GSK-3β-mediated phosphorylation and degradation of cyclin D1 (14) and by negatively regulating the cyclin-dependent kinase inhibitors p27 Kip1 (15) and p21 Waf1/Cip1 (16). Akt also plays a critical role in cell growth by directly phosphorylating mTOR in a rapamycin-sensitive complex containing raptor (17). More importantly, Akt phosphorylates and inactivates tuberin (TSC2), an inhibitor of mTOR within the mTOR-raptor complex (18,19).
    1. Franke, T.F. et al. (1997) Cell 88, 435-7.
    2. Burgering, B.M. and Coffer, P.J. (1995) Nature 376, 599-602.
    3. Franke, T.F. et al. (1995) Cell 81, 727-36.
    4. Alessi, D.R. et al. (1996) EMBO J 15, 6541-51.
    5. Sarbassov, D.D. et al. (2005) Science 307, 1098-101.
    6. Jacinto, E. et al. (2006) Cell 127, 125-37.
    7. Cardone, M.H. et al. (1998) Science 282, 1318-21.
    8. Brunet, A. et al. (1999) Cell 96, 857-68.
    9. Zimmermann, S. and Moelling, K. (1999) Science 286, 1741-4.
    10. Cantley, L.C. and Neel, B.G. (1999) Proc Natl Acad Sci USA 96, 4240-5.
    11. Vlahos, C.J. et al. (1994) J Biol Chem 269, 5241-8.
    12. Hajduch, E. et al. (2001) FEBS Lett 492, 199-203.
    13. Cross, D.A. et al. (1995) Nature 378, 785-9.
    14. Diehl, J.A. et al. (1998) Genes Dev 12, 3499-511.
    15. Gesbert, F. et al. (2000) J Biol Chem 275, 39223-30.
    16. Zhou, B.P. et al. (2001) Nat Cell Biol 3, 245-52.
    17. Navé, B.T. et al. (1999) Biochem J 344 Pt 2, 427-31.
    18. Inoki, K. et al. (2002) Nat Cell Biol 4, 648-57.
    19. Manning, B.D. et al. (2002) Mol Cell 10, 151-62.

    Alternate Names

    AKT serine/threonine kinase 3; AKT3; DKFZp434N0250; MPPH; MPPH2; PKB gamma; PKB-GAMMA; PKBG; PRKBG; Protein kinase Akt-3; Protein kinase B gamma; RAC-gamma; RAC-gamma serine/threonine protein kinase; RAC-gamma serine/threonine-protein kinase; RAC-PK-gamma; serine threonine protein kinase, Akt-3; STK-2; v-akt murine thymoma viral oncogene homolog 3 (protein kinase B, gamma)

    For Research Use Only. Not for Use in Diagnostic Procedures.
    Cell Signaling Technology is a trademark of Cell Signaling Technology, Inc.
    All other trademarks are the property of their respective owners. Visit our Trademark Information page.