Cell Signaling Technology Logo - Extra Large
Trial Size Available Flag
Recombinant Flag
Recombinant: Superior lot-to-lot consistency, continuous supply, and animal-free manufacturing.

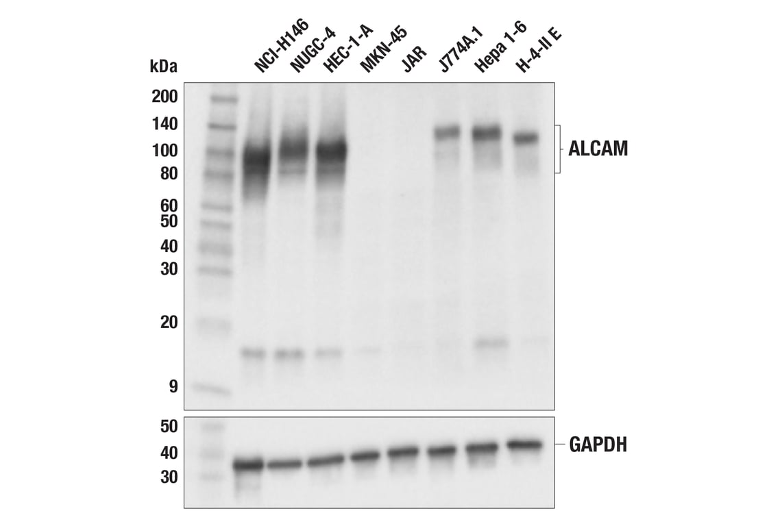
ALCAM (F3V8Q) Rabbit Monoclonal Antibody #10623

Filter:
  • WB
  • IF

    Product Specifications

    REACTIVITY H M R
    SENSITIVITY Endogenous
    MW (kDa) 100
    Source/Isotype Rabbit IgG
    Application Key:
    • WB-Western Blotting 
    • IF-Immunofluorescence 
    Species Cross-Reactivity Key:
    • H-Human 
    • M-Mouse 
    • R-Rat 

    Product Information

    Product Usage Information

    Application Dilution
    Western Blotting 1:1000
    Simple Western™ 1:10 - 1:50
    Immunofluorescence (Frozen) 1:100
    Immunofluorescence (Immunocytochemistry) 1:3000

    Storage

    Supplied in 10 mM sodium HEPES (pH 7.5), 150 mM NaCl, 100 µg/mL BSA, 50% glycerol, and less than 0.02% sodium azide. Store at –20°C. Do not aliquot the antibody.

    Protocol

    Specificity / Sensitivity

    ALCAM (F3V8Q) Rabbit Monoclonal Antibody recognizes endogenous levels of total ALCAM protein. Nuclear background is observed in cultured mouse cells by immunofluorescence.

    Species Reactivity:

    Human, Mouse, Rat

    Source / Purification

    Monoclonal antibody is produced by immunizing animals with a synthetic peptide corresponding to residues surrounding Gly566 of human ALCAM protein.

    Background

    Activated leukocyte cell adhesion molecule (ALCAM), also known as CD166 or MEMCAM, is a transmembrane glycoprotein belonging to the immunoglobulin superfamily. It is expressed in various cell types, including leukocytes, fibroblasts, epithelial cells, and neurons. ALCAM functions primarily as a cell adhesion molecule, mediating both homotypic (ALCAM-ALCAM) and heterotypic interactions with other cell surface receptors, most notably CD6 (ALCAM-CD6). These interactions, and others, play critical roles in various physiological and pathological processes, including hematopoiesis, neuronal development and function, T cell activation and proliferation, immune response, angiogenesis, and tumor progression and metastasis (1-5). Aberrant ALCAM expression is frequently observed in various human tumors, including melanoma, prostate cancer, breast cancer, colorectal carcinoma, bladder cancer, and pancreatic adenocarcinoma. High ALCAM expression correlates with poor prognosis and increased metastatic potential in many of these tumor types (5). ALCAM can mediate tumor-endothelial cell interactions, facilitating tumor cell dissemination and extravasation to distant sites such as the brain, bone, and liver. It has been implicated in promoting tumor cell invasion, migration, and survival in the tumor microenvironment and may contribute to chemotherapy drug resistance in some cancers (5).

    Alternate Names

    activated leucocyte cell adhesion molecule; Activated leukocyte cell adhesion molecule; ALCAM; CD166; CD166 antigen; FLJ38514; MEMD; MGC71733

    For Research Use Only. Not for Use in Diagnostic Procedures.
    Cell Signaling Technology is a trademark of Cell Signaling Technology, Inc.
    All other trademarks are the property of their respective owners. Visit our Trademark Information page.