Render Target: STATIC
Render Timestamp:
5/27/2026, 6:43:45 AM EDT
5/27/2026, 10:43:45 AM UTC
Commit: 7ed46ecc04b401f23a28df741b5078df405d23e4
XML generation date: 2025-11-13 18:05:59.320
Product last modified at: 2026-03-20T08:01:38.530Z
Cell Signaling Technology Logo - Extra Large
1% for the planet logo
PDP - Template Name: Polyclonal Antibody
PDP - Template ID: *******59c6464

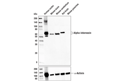
Alpha-internexin Antibody #77024

Filter:
  • WB

    Product Specifications

    REACTIVITY H M R
    SENSITIVITY Endogenous
    MW (kDa) 62-67
    SOURCE Rabbit
    Application Key:
    • WB-Western Blotting 
    Species Cross-Reactivity Key:
    • H-Human 
    • M-Mouse 
    • R-Rat 

    Product Information

    Product Usage Information

    Application Dilution
    Western Blotting 1:1000

    Storage

    Supplied in 10 mM sodium HEPES (pH 7.5), 150 mM NaCl, 100 µg/ml BSA and 50% glycerol. Store at –20°C. Do not aliquot the antibody.

    Protocol

    Specificity / Sensitivity

    Alpha-internexin Antibody recognizes endogenous levels of total Alpha-internexin protein.

    Species Reactivity:

    Human, Mouse, Rat

    Source / Purification

    Polyclonal antibodies are produced by immunizing animals with a synthetic peptide corresponding to residues near the carboxy terminus of human Alha-internexin protein. Antibodies are purified by peptide affinity chromatography.

    Background

    Alpha-internexin is a class-IV neuronal intermediate filament that is involved in morphogenesis of neurons and is localized mostly in synaptic vesicles, primarily found in the post-synaptic compartment where it modulates neurotransmission function by interacting with different neurotransmitter receptors (1,2). Alpha-internexin interacts with tubulin and actin, suggesting its role in axonal transport and stabilization of dendrites (2-4). Expression of Alpha-internexin occurs in embryonic stages in rat at E10 in the cortex, auditory ganglion, olfactory epithelial, spinal cord and brainstem, and expression also occurs in postnatal stages in the cerebellum in mice and humans (3). Alpha-internexin expression is altered in different neurological diseases and disorders; where it decreases in bipolar disorder and increases in schizophrenia and Alzheimer's disease (4-6). Some of these findings were generated by proteomic analysis from Alzheimer's disease and control brains (4). The overexpression of Alpha-internexin enhances the neurite outgrowth during neuronal growth factor induction (7), induces the activation caspase-3, which triggers apoptosis and eventually neuronal death (8). Alpha-internexin could be playing a role in drug addiction, where chronic cocaine exposure decreases the levels of the protein, but not with morphine exposure, suggesting the possibility to interact with different receptors (5,9).

    Alternate Names

    66 kDa neurofilament protein; AINX; Alpha-internexin; Alpha-Inx; FLJ18662; FLJ57501; INA; internexin neuronal intermediate filament protein alpha; internexin neuronal intermediate filament protein, alpha; MGC12702; NEF5; Neurofilament 5; neurofilament 5 (66kD); Neurofilament-66; neurofilament-66, tax-binding protein; NF-66; TXBP-1

    For Research Use Only. Not for Use in Diagnostic Procedures.
    Cell Signaling Technology is a trademark of Cell Signaling Technology, Inc.
    All other trademarks are the property of their respective owners. Visit our Trademark Information page.