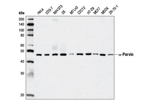
alpha-Parvin (D7F9) Rabbit Monoclonal Antibody #8190
- WB
- IP
- IF
Product Specifications
| REACTIVITY | H M R Mk Dg |
| SENSITIVITY | Endogenous |
| MW (kDa) | 43 |
| Source/Isotype | Rabbit IgG |
Application Key:
- WB-Western Blotting
- IP-Immunoprecipitation
- IF-Immunofluorescence
Species Cross-Reactivity Key:
- H-Human
- M-Mouse
- R-Rat
- Mk-Monkey
- Dg-Dog
Product Information
Product Usage Information
| Application | Dilution |
|---|---|
| Western Blotting | 1:1000 |
| Immunoprecipitation | 1:50 |
| Immunofluorescence (Immunocytochemistry) | 1:200 |
Storage
Protocol
Specificity / Sensitivity
Species Reactivity:
Source / Purification
Background
The ILK/PINCH/Parvin (IPP) complex is composed of three highly conserved proteins recruited to sites of ECM contact as pre-assembled structures. The IPP acts at the interface of the integrin/actin connection to regulate formation of focal adhesions and integrin signaling. All three proteins contain multiple protein binding domains allowing them to function as adaptor proteins in the formation of focal adhesions. ILK (integrin-linked kinase) also has a catalytic (protein Ser/Thr kinase) domain, and may or may not function as a kinase in vivo. Roles for IPP proteins outside of the IPP complex have been proposed, including regulation of gene expression (2,3).
The parvin family consists of 3 members, α-parvin/actopaxin, β-parvin/affixin, and γ-parvin. α-parvin and β-parvin are expressed ubiquitously, while expression of γ-parvin is restricted to hematopoietic cells (4). α-parvin binds to f-actin both directly and via interaction with the focal adhesion protein paxillin (5). α-parvin regulates cell spreading and motility through interactions with the cofilin kinase TESK1 (6), and with the GTPase activating protein CdGAP (7). Phosphorylation of α-parvin during mitosis may have a role in the regulation of actin dynamics during the cell cycle (8).
- Burridge, K. et al. (1988) Annu Rev Cell Biol 4, 487-525.
- Legate, K.R. et al. (2006) Nat Rev Mol Cell Biol 7, 20-31.
- Wu, C. (2004) Biochim Biophys Acta 1692, 55-62.
- Korenbaum, E. et al. (2001) Gene 279, 69-79.
- Nikolopoulos, S.N. and Turner, C.E. (2000) J Cell Biol 151, 1435-48.
- LaLonde, D.P. et al. (2005) J Biol Chem 280, 21680-8.
- LaLonde, D.P. et al. (2006) Curr Biol 16, 1375-85.
- Curtis, M. et al. (2002) Biochem J 363, 233-42.
Alternate Names
Actopaxin; Alpha-parvin; Calponin-like integrin-linked kinase-binding protein; CH-ILKBP; FLJ10793; FLJ12254; Matrix-remodeling-associated protein 2; matrix-remodelling associated 2; MXRA2; PARVA; parvin alpha; parvin, alpha
Limited Uses
Except as otherwise expressly agreed in a writing signed by a legally authorized representative of CST, the following terms apply to Products provided by CST, its affiliates or its distributors. Any Customer's terms and conditions that are in addition to, or different from, those contained herein, unless separately accepted in writing by a legally authorized representative of CST, are rejected and are of no force or effect.
Products are labeled with For Research Use Only or a similar labeling statement and have not been approved, cleared, or licensed by the FDA or other regulatory foreign or domestic entity, for any purpose. Customer shall not use any Product for any diagnostic or therapeutic purpose, or otherwise in any manner that conflicts with its labeling statement. Products sold or licensed by CST are provided for Customer as the end-user and solely for research and development uses. Any use of Product for diagnostic, prophylactic or therapeutic purposes, or any purchase of Product for resale (alone or as a component) or other commercial purpose, requires a separate license from CST. Customer shall (a) not sell, license, loan, donate or otherwise transfer or make available any Product to any third party, whether alone or in combination with other materials, or use the Products to manufacture any commercial products, (b) not copy, modify, reverse engineer, decompile, disassemble or otherwise attempt to discover the underlying structure or technology of the Products, or use the Products for the purpose of developing any products or services that would compete with CST products or services, (c) not alter or remove from the Products any trademarks, trade names, logos, patent or copyright notices or markings, (d) use the Products solely in accordance with CST Product Terms of Sale and any applicable documentation, and (e) comply with any license, terms of service or similar agreement with respect to any third party products or services used by Customer in connection with the Products.