Androgen Receptor (AR-V7 Specific) Antibody #68492
- WB
Inquiry Info. # 68492
Please see our recommended alternatives.
Product Specifications
| REACTIVITY | H |
| SENSITIVITY | Endogenous |
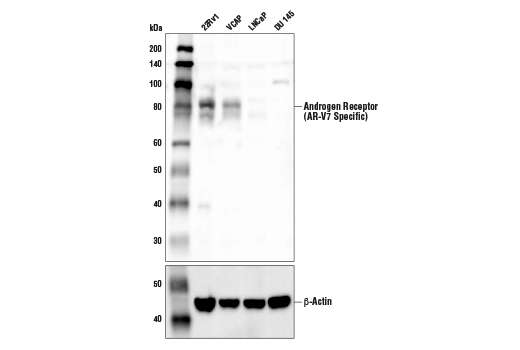
| MW (kDa) | 80 |
| SOURCE | Rabbit |
Application Key:
- WB-Western Blotting
Species Cross-Reactivity Key:
- H-Human
Product Information
Product Usage Information
| Application | Dilution |
|---|---|
| Western Blotting | 1:1000 |
Storage
Protocol
Specificity / Sensitivity
Species Reactivity:
Source / Purification
Background
The AR3 or AR-V7 isoform, which lacks the typical ligand binding domain, is created through the alternative splicing of cryptic exons (4-5). AR-V7 is frequently expressed in castration-resistant prostate cancer (CRPC) and while dependent on the activity of the full-length androgen receptor (AR-FL), AR-V7 can activate a completely distinct transcriptional program (6-8). While enzalutamide and abiraterone have been beneficial in treating CRPC through the ligand binding domain of AR-FL, resistance in patients has been shown to be associated with AR-V7 detection in circulating tumor cells (9-12). Studies probing into mechanisms of overcoming this resistance are currently being explored and may help in stratifying patient populations for more personalized therapies (13-15).
- Li, J. and Al-Azzawi, F. (2009) Maturitas 63, 142-8.
- Avila, D.M. et al. (2001) J. Steroid. Biochem. Mol. Biol. 76, 135-142.
- Montgomery, J.S. et al. (2001) J. Pathol. 195, 138-146.
- Hu, R. et al. (2009) Cancer Res 69, 16-22.
- Guo, Z. et al. (2009) Cancer Res 69, 2305-13.
- Watson, P.A. et al. (2010) Proc Natl Acad Sci U S A 107, 16759-65.
- Sun, S. et al. (2010) J Clin Invest 120, 2715-30.
- Hu, R. et al. (2012) Cancer Res 72, 3457-62.
- Scher, H.I. et al. (2012) N Engl J Med 367, 1187-97.
- de Bono, J.S. et al. (2011) N Engl J Med 364, 1995-2005.
- Ryan, C.J. et al. (2013) N Engl J Med 368, 138-48.
- Antonarakis, E.S. et al. (2014) N Engl J Med 371, 1028-38.
- Liu, C. et al. (2014) Clin Cancer Res 20, 3198-210.
- Sarwar, M. et al. (2016) Oncotarget 7, 63065-63081.
- Ku, S.Y. et al. (2017) Science 355, 78-83.
Alternate Names
AIS; ANDR; Androgen receptor; Androgen receptor splice variant 3; AR; AR iso3; AR-V7; AR8; DHTR; Dihydrotestosterone receptor; HUMARA; HYSP1; KD; NR3C4; Nuclear receptor subfamily 3 group C member 4; SBMA; SMAX1; TFM
Limited Uses
Except as otherwise expressly agreed in a writing signed by a legally authorized representative of CST, the following terms apply to Products provided by CST, its affiliates or its distributors. Any Customer's terms and conditions that are in addition to, or different from, those contained herein, unless separately accepted in writing by a legally authorized representative of CST, are rejected and are of no force or effect.
Products are labeled with For Research Use Only or a similar labeling statement and have not been approved, cleared, or licensed by the FDA or other regulatory foreign or domestic entity, for any purpose. Customer shall not use any Product for any diagnostic or therapeutic purpose, or otherwise in any manner that conflicts with its labeling statement. Products sold or licensed by CST are provided for Customer as the end-user and solely for research and development uses. Any use of Product for diagnostic, prophylactic or therapeutic purposes, or any purchase of Product for resale (alone or as a component) or other commercial purpose, requires a separate license from CST. Customer shall (a) not sell, license, loan, donate or otherwise transfer or make available any Product to any third party, whether alone or in combination with other materials, or use the Products to manufacture any commercial products, (b) not copy, modify, reverse engineer, decompile, disassemble or otherwise attempt to discover the underlying structure or technology of the Products, or use the Products for the purpose of developing any products or services that would compete with CST products or services, (c) not alter or remove from the Products any trademarks, trade names, logos, patent or copyright notices or markings, (d) use the Products solely in accordance with CST Product Terms of Sale and any applicable documentation, and (e) comply with any license, terms of service or similar agreement with respect to any third party products or services used by Customer in connection with the Products.