Cell Signaling Technology Logo - Extra Large
Recombinant Flag
Recombinant: Superior lot-to-lot consistency, continuous supply, and animal-free manufacturing.

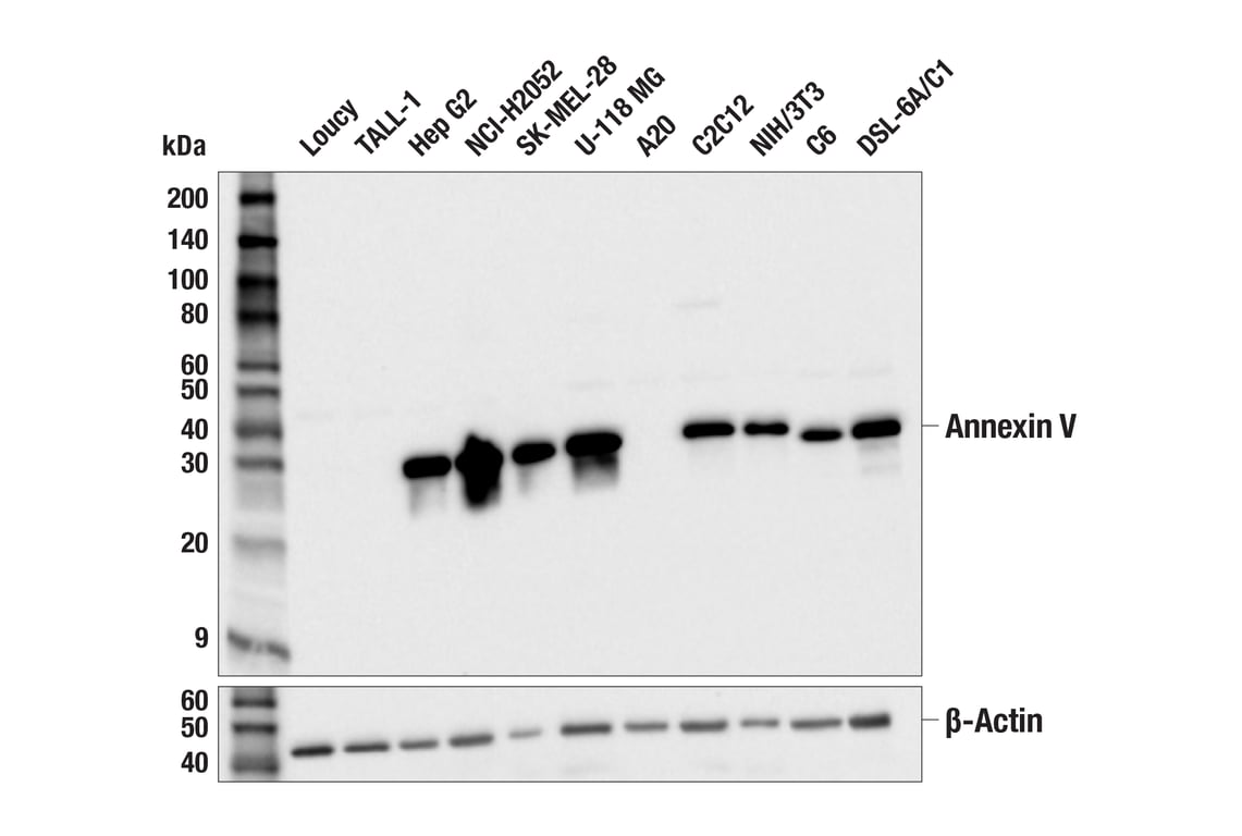
Annexin V (E3W8V) Rabbit Monoclonal Antibody (BSA and Azide Free) #24122

Filter:
  • WB
  • IHC
  • IF
  • F

    Product Specifications

    REACTIVITY H M R
    SENSITIVITY Endogenous
    MW (kDa) 30
    Source/Isotype Rabbit IgG
    Application Key:
    • WB-Western Blotting 
    • IHC-Immunohistochemistry 
    • IF-Immunofluorescence 
    • F-Flow Cytometry 
    Species Cross-Reactivity Key:
    • H-Human 
    • M-Mouse 
    • R-Rat 

    Product Information

    Product Usage Information

    This product is the carrier free version of product #54043. All data were generated using the same antibody clone in the standard formulation which contains BSA and glycerol.

    This formulation is ideal for use with technologies requiring specialized or custom antibody labeling, including fluorophores, metals, lanthanides, and oligonucleotides. It is not recommended for ChIP, ChIP-seq, CUT&RUN or CUT&Tag assays. If you require a carrier free formulation for chromatin profiling, please contact us. Optimal dilutions/concentrations should be determined by the end user.

    BSA and Azide Free antibodies are quality control tested by size exclusion chromatography (SEC) to determine antibody integrity.

    Formulation

    Supplied in 1X PBS (10 mM Na2HPO4, 3 mM KCl, 2 mM KH2PO4, and 140 mM NaCl (pH 7.8)). BSA and Azide Free.

    For standard formulation of this product see product #54043

    Storage

    Store at -20°C. This product will freeze at -20°C so it is recommended to aliquot into single-use vials to avoid multiple freeze/thaw cycles. A slight precipitate may be present and can be dissolved by gently vortexing. This will not interfere with antibody performance.

    Specificity / Sensitivity

    Annexin V (E3W8V) Rabbit Monoclonal Antibody (BSA and Azide Free) recognizes endogenous levels of total annexin V protein. Species reactivity for IF-IC is human only.

    Species Reactivity:

    Human, Mouse, Rat

    The antigen sequence used to produce this antibody shares 100% sequence homology with the species listed here, but reactivity has not been tested or confirmed to work by CST. Use of this product with these species is not covered under our Product Performance Guarantee.

    Species predicted to react based on 100% sequence homology:

    Pig

    Source / Purification

    Monoclonal antibody is produced by immunizing animals with a synthetic peptide corresponding to residues surrounding Thr10 of human annexin V protein.

    Background

    Annexin V, also known as PAP-1 or Lipocortin V, is an ~30 kDa protein that binds to phospholipids in a calcium-dependent manner (1). All annexins contain a putative PKC binding site, but only annexin V has been identified as an inhibitor of this pathway (2). Via direct interaction with VEGFR-2 receptor, annexin V may also signal to regulate vascular endothelial cell proliferation (3). Annexin V preferentially binds phosphatidylserine in competition with prothrombin, leading to inhibition of blood coagulation at sites of injury preceding contact between lipid components and coagulation factors that initiate thrombosis (4-6). The ability of annexin V to bind specifically and robustly to phosphatidylserine makes it an attractive reagent in detecting apoptotic cells (7). Annexin V is inducible by glucocorticoids and can be phosphorylated by tyrosine and serine/threonine kinases (8). It is thought to block the production of inflammation mediators, such as prostaglandins and leukotrienes by inhibiting the release of arachidonic acid from membranes by phospholipase A2 (8).

    Alternate Names

    Anchorin CII; Annexin A5; Annexin V; Annexin-5; ANX5; anxa 5; ANXA5; Calphobindin I; CBP-I; Endonexin II; ENX2; epididymis secretory protein Li 7; HEL-S-7; Lipocortin V; PAP-I; Placental anticoagulant protein 4; Placental anticoagulant protein I; PP4; RPRGL3; Thromboplastin inhibitor; VAC-alpha; Vascular anticoagulant-alpha

    For Research Use Only. Not for Use in Diagnostic Procedures.
    Cell Signaling Technology is a trademark of Cell Signaling Technology, Inc.
    All other trademarks are the property of their respective owners. Visit our Trademark Information page.