Render Target: STATIC
Render Timestamp:
5/22/2026, 7:01:20 AM EDT
5/22/2026, 11:01:20 AM UTC
Commit: 7ed46ecc04b401f23a28df741b5078df405d23e4
XML generation date: 2025-11-12 16:16:33.416
Product last modified at: 2026-03-20T08:04:30.951Z
Cell Signaling Technology Logo - Extra Large
1% for the planet logo
PDP - Template Name: Monoclonal Antibody
PDP - Template ID: *******c5e4b77
Recombinant Flag
Recombinant: Superior lot-to-lot consistency, continuous supply, and animal-free manufacturing.

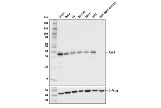
Ape1 (E5Y2C) Rabbit Monoclonal Antibody (BSA and Azide Free) #66108

Filter:
  • WB
  • IHC
  • IF

    Product Specifications

    REACTIVITY H M R
    SENSITIVITY Endogenous
    MW (kDa) 34
    Source/Isotype Rabbit IgG
    Application Key:
    • WB-Western Blotting 
    • IHC-Immunohistochemistry 
    • IF-Immunofluorescence 
    Species Cross-Reactivity Key:
    • H-Human 
    • M-Mouse 
    • R-Rat 

    Product Information

    Product Usage Information

    This product is the carrier free version of product #10519. All data were generated using the same antibody clone in the standard formulation which contains BSA and glycerol.

    This formulation is ideal for use with technologies requiring specialized or custom antibody labeling, including fluorophores, metals, lanthanides, and oligonucleotides. It is not recommended for ChIP, ChIP-seq, CUT&RUN or CUT&Tag assays. If you require a carrier free formulation for chromatin profiling, please contact us. Optimal dilutions/concentrations should be determined by the end user.

    BSA and Azide Free antibodies are quality control tested by size exclusion chromatography (SEC) to determine antibody integrity.

    Formulation

    Supplied in 1X PBS (10 mM Na2HPO4, 3 mM KCl, 2 mM KH2PO4, and 140 mM NaCl (pH 7.8)). BSA and Azide Free.

    For standard formulation of this product see product #10519

    Storage

    Store at -20°C. This product will freeze at -20°C so it is recommended to aliquot into single-use vials to avoid multiple freeze/thaw cycles. A slight precipitate may be present and can be dissolved by gently vortexing. This will not interfere with antibody performance.

    Specificity / Sensitivity

    Ape1 (E5Y2C) Rabbit Monoclonal Antibody (BSA and Azide Free) recognizes endogenous levels of total Ape1 protein.

    Species Reactivity:

    Human, Mouse, Rat

    Source / Purification

    Monoclonal antibody is produced by immunizing animals with a synthetic peptide corresponding to residues surrounding Pro223 of human Ape1 protein.

    Background

    Ape1 (Apurinic/Apyrimidic eEndonuclease 1), also known as Ref1 (Redox effector factor 1), is a multifunctional protein with several biological activities. These include roles in DNA repair and in the cellular response to oxidative stress. Ape1 initiates the repair of abasic sites and is essential for the base excision repair (BER) pathway (1). Repair activities of Ape1 are stimulated by interaction with XRCC1 (2), another essential protein in BER. Ape1 functions as a redox factor that maintains transcription factors in an active, reduced state but can also function in a redox-independent manner as a transcriptional cofactor to control different cellular fates such as apoptosis, proliferation and differentiation (3). Increased expression of Ape1 is associated with many types of cancers including cervical, ovarian, prostate, rhabdomyosarcomas and germ cell tumors (4). Ape1 has been shown to stimulate DNA binding of several transcription factors known to be involved in tumor progression such as Fos, Jun, NF-κB, PAX, HIF-1, HLF and p53 (4). Mutation of the Ape1 gene has also been associated with amyotrophic lateral sclerosis (ALS) (5,6).

    Alternate Names

    AP endonuclease 1; AP endonuclease class I; AP lyase; APE; APE-1; APE1; APEN; APEX; APEX nuclease; APEX nuclease (multifunctional DNA repair enzyme) 1; APEX1; Apurinic-apyrimidinic endonuclease 1; apurinic/apyrimidinic (abasic) endonuclease; apurinic/apyrimidinic endodeoxyribonuclease 1; apurinic/apyrimidinic exonuclease; APX; deoxyribonuclease (apurinic or apyrimidinic); DNA-(apurinic or apyrimidinic site) endonuclease; DNA-(apurinic or apyrimidinic site) endonuclease, mitochondrial; DNA-(apurinic or apyrimidinic site) lyase; HAP1; multifunctional DNA repair enzyme; Protein REF-1; redox factor 1; Redox factor-1; REF-1; REF1

    For Research Use Only. Not for Use in Diagnostic Procedures.
    Cell Signaling Technology is a trademark of Cell Signaling Technology, Inc.
    SignalStain is a registered trademark of Cell Signaling Technology, Inc.
    All other trademarks are the property of their respective owners. Visit our Trademark Information page.