Cell Signaling Technology Logo - Extra Large
Trial Size Available Flag
Recombinant Flag
Recombinant: Superior lot-to-lot consistency, continuous supply, and animal-free manufacturing.

Ape1 (E5Y2C) Rabbit Monoclonal Antibody #10519

Filter:
  • WB
  • IHC
  • IF

    Product Specifications

    REACTIVITY H M R
    SENSITIVITY Endogenous
    MW (kDa) 34
    Source/Isotype Rabbit IgG
    Application Key:
    • WB-Western Blotting 
    • IHC-Immunohistochemistry 
    • IF-Immunofluorescence 
    Species Cross-Reactivity Key:
    • H-Human 
    • M-Mouse 
    • R-Rat 

    Product Information

    Product Usage Information

    Application Dilution
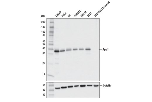
    Western Blotting 1:1000
    Immunohistochemistry (Paraffin) 1:50 - 1:200
    Immunofluorescence (Immunocytochemistry) 1:200 - 1:800

    Storage

    Supplied in 10 mM sodium HEPES (pH 7.5), 150 mM NaCl, 100 µg/ml BSA, 50% glycerol and less than 0.02% sodium azide. Store at –20°C. Do not aliquot the antibody.

    For a carrier free (BSA and azide free) version of this product see product #66108.

    Protocol

    Specificity / Sensitivity

    Ape1 (E5Y2C) Rabbit Monoclonal Antibody recognizes endogenous levels of total Ape1 protein.

    Species Reactivity:

    Human, Mouse, Rat

    Source / Purification

    Monoclonal antibody is produced by immunizing animals with a synthetic peptide corresponding to residues surrounding Pro223 of human Ape1 protein.

    Background

    Ape1 (Apurinic/Apyrimidic eEndonuclease 1), also known as Ref1 (Redox effector factor 1), is a multifunctional protein with several biological activities. These include roles in DNA repair and in the cellular response to oxidative stress. Ape1 initiates the repair of abasic sites and is essential for the base excision repair (BER) pathway (1). Repair activities of Ape1 are stimulated by interaction with XRCC1 (2), another essential protein in BER. Ape1 functions as a redox factor that maintains transcription factors in an active, reduced state but can also function in a redox-independent manner as a transcriptional cofactor to control different cellular fates such as apoptosis, proliferation and differentiation (3). Increased expression of Ape1 is associated with many types of cancers including cervical, ovarian, prostate, rhabdomyosarcomas and germ cell tumors (4). Ape1 has been shown to stimulate DNA binding of several transcription factors known to be involved in tumor progression such as Fos, Jun, NF-κB, PAX, HIF-1, HLF and p53 (4). Mutation of the Ape1 gene has also been associated with amyotrophic lateral sclerosis (ALS) (5,6).

    Alternate Names

    AP endonuclease 1; AP endonuclease class I; AP lyase; APE; APE-1; APE1; APEN; APEX; APEX nuclease; APEX nuclease (multifunctional DNA repair enzyme) 1; APEX1; Apurinic-apyrimidinic endonuclease 1; apurinic/apyrimidinic (abasic) endonuclease; apurinic/apyrimidinic endodeoxyribonuclease 1; apurinic/apyrimidinic exonuclease; APX; deoxyribonuclease (apurinic or apyrimidinic); DNA-(apurinic or apyrimidinic site) endonuclease; DNA-(apurinic or apyrimidinic site) endonuclease, mitochondrial; DNA-(apurinic or apyrimidinic site) lyase; HAP1; multifunctional DNA repair enzyme; Protein REF-1; redox factor 1; Redox factor-1; REF-1; REF1

    For Research Use Only. Not for Use in Diagnostic Procedures.
    Cell Signaling Technology is a trademark of Cell Signaling Technology, Inc.
    SignalStain is a registered trademark of Cell Signaling Technology, Inc.
    All other trademarks are the property of their respective owners. Visit our Trademark Information page.