Cell Signaling Technology Logo - Extra Large
Recombinant Flag
Recombinant: Superior lot-to-lot consistency, continuous supply, and animal-free manufacturing.

APP (E8B3O) Rabbit Monoclonal Antibody (BSA and Azide Free) #47611

Filter:
  • WB
  • IHC
  • IF

    Product Specifications

    REACTIVITY H
    SENSITIVITY Endogenous
    MW (kDa) 100-140
    Source/Isotype Rabbit IgG
    Application Key:
    • WB-Western Blotting 
    • IHC-Immunohistochemistry 
    • IF-Immunofluorescence 
    Species Cross-Reactivity Key:
    • H-Human 

    Product Information

    Product Usage Information

    This product is the carrier free version of product #29765. All data were generated using the same antibody clone in the standard formulation which contains BSA and glycerol.

    This formulation is ideal for use with technologies requiring specialized or custom antibody labeling, including fluorophores, metals, lanthanides, and oligonucleotides. It is not recommended for ChIP, ChIP-seq, CUT&RUN or CUT&Tag assays. If you require a carrier free formulation for chromatin profiling, please contact us. Optimal dilutions/concentrations should be determined by the end user.

    BSA and Azide Free antibodies are quality control tested by size exclusion chromatography (SEC) to determine antibody integrity.

    Formulation

    Supplied in 1X PBS (10 mM Na2HPO4, 3 mM KCl, 2 mM KH2PO4, and 140 mM NaCl (pH 7.8)). BSA and Azide Free.

    For standard formulation of this product see product #29765

    Storage

    Store at -20°C. This product will freeze at -20°C so it is recommended to aliquot into single-use vials to avoid multiple freeze/thaw cycles. A slight precipitate may be present and can be dissolved by gently vortexing. This will not interfere with antibody performance.

    Specificity / Sensitivity

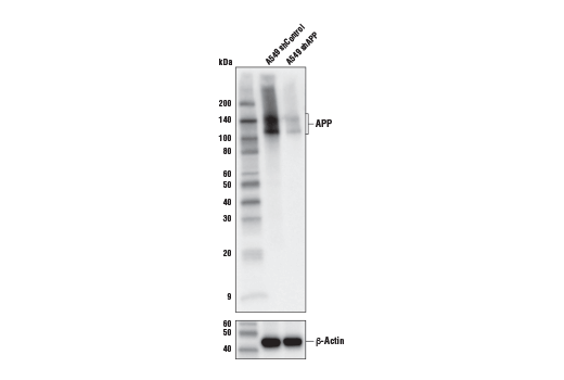
    APP (E8B3O) XP® Rabbit mAb (BSA and Azide Free) recognizes endogenous levels of total APP protein.

    Species Reactivity:

    Human

    Source / Purification

    Monoclonal antibody is produced by immunizing animals with a synthetic peptide corresponding to residues surrounding Pro620 of human APP protein.

    Background

    Amyloid β (Aβ) precursor protein (APP) is a 100-140 kDa transmembrane glycoprotein that exists as several isoforms (1). The amino acid sequence of APP contains the amyloid domain, which can be released by a two-step proteolytic cleavage (1). The extracellular deposition and accumulation of the released Aβ fragments form the main components of amyloid plaques in Alzheimer's disease (1). APP can be phosphorylated at several sites, which may affect the proteolytic processing and secretion of this protein (2-5). Phosphorylation at Thr668 (a position corresponding to the APP695 isoform) by cyclin-dependent kinase is cell-cycle dependent and peaks during G2/M phase (4). APP phosphorylated at Thr668 exists in adult rat brain and correlates with cultured neuronal differentiation (5,6).

    Alternate Names

    A4; AAA; ABETA; Abeta40; Abeta42; ABPP; AD1; AICD-50; AICD-57; AICD-59; AID(50); AID(57); AID(59); Alpha-CTF; Alpha-secretase C-terminal fragment; Alzheimer disease amyloid protein; Amyloid beta; amyloid beta (A4) precursor protein; Amyloid beta A4 protein; amyloid beta precursor protein; Amyloid intracellular domain 50; Amyloid intracellular domain 57; Amyloid intracellular domain 59; Amyloid precursor protein; Amyloid-beta A4 protein; Amyloid-beta precursor protein; Amyloid-beta protein 40; Amyloid-beta protein 42; APP; APPI; Beta Amyloid; beta-amyloid peptide; beta-amyloid peptide(1-40); beta-amyloid peptide(1-42); beta-amyloid precursor protein; Beta-amyloid protein 40; Beta-amyloid protein 42; Beta-APP40; Beta-APP42; Beta-CTF; Beta-secretase C-terminal fragment; C31; C80; C83; C99; Cerebral vascular amyloid peptide; CTFgamma; CVAP; Gamma-CTF(50); Gamma-CTF(57); Gamma-CTF(59); Gamma-secretase C-terminal fragment 50; Gamma-secretase C-terminal fragment 57; Gamma-secretase C-terminal fragment 59; N-APP; P3(40); P3(42); peptidase nexin-II; PN-II; PN2; PreA4; Protease nexin-II; S-APP-alpha; S-APP-beta; Soluble APP-alpha; Soluble APP-beta; testicular tissue protein Li 2

    For Research Use Only. Not for Use in Diagnostic Procedures.
    Cell Signaling Technology is a trademark of Cell Signaling Technology, Inc.
    SignalStain is a registered trademark of Cell Signaling Technology, Inc.
    All other trademarks are the property of their respective owners. Visit our Trademark Information page.