Render Target: STATIC
Render Timestamp:
5/20/2026, 7:09:53 AM EDT
5/20/2026, 11:09:53 AM UTC
Commit: 7ed46ecc04b401f23a28df741b5078df405d23e4
XML generation date: 2025-11-12 16:12:27.324
Product last modified at: 2026-03-20T08:07:05.859Z
Cell Signaling Technology Logo - Extra Large
1% for the planet logo
PDP - Template Name: Monoclonal Antibody
PDP - Template ID: *******c5e4b77
Trial Size Available Flag
Recombinant Flag
Recombinant: Superior lot-to-lot consistency, continuous supply, and animal-free manufacturing.

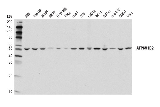
ATP6V1B2 (D3O7Q) Rabbit Monoclonal Antibody #14488

Filter:
  • WB
  • IP

    Product Specifications

    REACTIVITY H M R Mk
    SENSITIVITY Endogenous
    MW (kDa) 55
    Source/Isotype Rabbit IgG
    Application Key:
    • WB-Western Blotting 
    • IP-Immunoprecipitation 
    Species Cross-Reactivity Key:
    • H-Human 
    • M-Mouse 
    • R-Rat 
    • Mk-Monkey 

    Product Information

    Product Usage Information

    Application Dilution
    Western Blotting 1:1000
    Immunoprecipitation 1:50

    Storage

    Supplied in 10 mM sodium HEPES (pH 7.5), 150 mM NaCl, 100 µg/ml BSA, 50% glycerol and less than 0.02% sodium azide. Store at –20°C. Do not aliquot the antibody.

    Protocol

    Specificity / Sensitivity

    ATP6V1B2 (D3O7Q) Rabbit Monoclonal Antibody recognizes endogenous levels of total ATP6V1B2 protein. This antibody does not cross-react with ATP6V1B1 protein.

    Species Reactivity:

    Human, Mouse, Rat, Monkey

    Source / Purification

    Monoclonal antibody is produced by immunizing animals with a synthetic peptide corresponding to residues near the amino terminus of human ATP6V1B2 protein.

    Background

    Eukaryotic cells contain ATP-driven proton pumps known as vacuolar H+-ATPases (V-ATPases) that acidify intracellular compartments and translocate protons across the plasma membrane (1,2). Intracellular v-ATPases play an important role in endocytosis and intracellular membrane trafficking, while plasma membrane v-ATPases are important in processes such as urinary acidification and bone resorption (1,2). Vacuolar ATPase enzymes are large, heteromultimeric protein complexes with component proteins found in either the V1 peripheral domain or the V0 integral domain (2). The cytoplasmic V1 domain contains a hexamer of A and B catalytic subunits, as well as a number of other protein subunits required for ATPase assembly and ATP hydrolysis. The integral V0 v-ATPase domain exhibits protein translocase activity and is responsible for transport of protons across the membrane (2). Research studies show that the v-ATPases ATP6V0c, ATP6V0d1, ATP6V1A, ATP6V1B2, and ATP6V1D interact with the Ragulator protein complex and are essential for amino acid induced activation of mTORC1 on the surface of lysosomes (3).
    Two isoforms of the B subunit are found in humans, ATP6V1B1 and ATP6V1B2. The ATP6V1B1 protein is expressed primarily in the kidney, with mutations in the corresponding gene responsible for a form of renal tubular acidosis associated with progressive hearing loss (4,5). ATP6V1B2 protein exhibits a broader range of expression, localized to kidney, brain, pancreas, and other tissues (4).

    Alternate Names

    ATP6B1B2; ATP6B2; ATP6V1B2; ATPase H+ transporting V1 subunit B2; ATPase, H+ transporting, lysosomal 56/58kDa, V1 subunit B2; DOOD; Endomembrane proton pump 58 kDa subunit; H+ transporting two-sector ATPase; HO57; testicular secretory protein Li 65; V-ATPase B2 subunit; V-ATPase subunit B 2; V-type proton ATPase subunit B, brain isoform; vacuolar H+-ATPase 56,000 subunit; Vacuolar proton pump subunit B 2; VATB; VATB2; Vma2; VPP3; ZLS2

    For Research Use Only. Not for Use in Diagnostic Procedures.
    Cell Signaling Technology is a trademark of Cell Signaling Technology, Inc.
    All other trademarks are the property of their respective owners. Visit our Trademark Information page.