Bok (D7V2N) Rabbit Monoclonal Antibody #86875
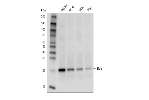
- WB
Product Specifications
| REACTIVITY | H |
| SENSITIVITY | Endogenous |
| MW (kDa) | 22 |
| Source/Isotype | Rabbit IgG |
Application Key:
- WB-Western Blotting
Species Cross-Reactivity Key:
- H-Human
Product Information
Product Usage Information
| Application | Dilution |
|---|---|
| Western Blotting | 1:1000 |
Storage
Protocol
Specificity / Sensitivity
Species Reactivity:
Source / Purification
Background
Like other family members Bok was identified based on sequence homology and interaction with select anti-apoptotic family members (6,7). Although Bok was originally described to be predominantly expressed in reproductive tissues such as ovary, testis and uterus (6), subsequent studies have found selective expression of Bok in a number of adult and development tissues (7). The Bok gene is frequently mutated in human tumors, suggesting a tumor suppressor activity (8). While Bok is structurally similar to the pro-apoptotic proteins Bax and Bak, it appears to be functionally distinct. Loss of Bok in mice did not have an overt effects phenotype (9). However, additional studies have shown that Bok plays a distinct role in apoptosis in response to endoplasmic reticulum stress (10,11). The stability of Bok is regulated by the endoplasmic-reticulum-associated degradation (ERAD) pathway (11). Bok expression is induced by proteasome inhibitors and triggers apoptosis by these agents (11).
- Cory, S. et al. (2003) Oncogene 22, 8590-607.
- Antonsson, B. and Martinou, J.C. (2000) Exp Cell Res 256, 50-7.
- Sharpe, J.C. et al. (2004) Biochim Biophys Acta 1644, 107-13.
- Korsmeyer, S.J. et al. (1993) Semin Cancer Biol 4, 327-32.
- Bouillet, P. and Strasser, A. (2002) J Cell Sci 115, 1567-74.
- Hsu, S.Y. et al. (1997) Proc Natl Acad Sci U S A 94, 12401-6.
- Inohara, N. et al. (1998) J Biol Chem 273, 8705-10.
- Beroukhim, R. et al. (2010) Nature 463, 899-905.
- Ke, F. et al. (2012) Cell Death Differ 19, 915-25.
- Carpio, M.A. et al. (2015) Proc Natl Acad Sci U S A 112, 7201-6.
- Llambi, F. et al. (2016) Cell 165, 421-33.
Alternate Names
Bcl-2-like protein 9; Bcl-2-related ovarian killer protein; BCL2 family apoptosis regulator BOK; BCL2 related ovarian killer; Bcl2-L-9; BCL2-related ovarian killer; BCL2L9; BOK; BOK, BCL2 family apoptosis regulator; BOKL; hBOK; MGC4631
Limited Uses
Except as otherwise expressly agreed in a writing signed by a legally authorized representative of CST, the following terms apply to Products provided by CST, its affiliates or its distributors. Any Customer's terms and conditions that are in addition to, or different from, those contained herein, unless separately accepted in writing by a legally authorized representative of CST, are rejected and are of no force or effect.
Products are labeled with For Research Use Only or a similar labeling statement and have not been approved, cleared, or licensed by the FDA or other regulatory foreign or domestic entity, for any purpose. Customer shall not use any Product for any diagnostic or therapeutic purpose, or otherwise in any manner that conflicts with its labeling statement. Products sold or licensed by CST are provided for Customer as the end-user and solely for research and development uses. Any use of Product for diagnostic, prophylactic or therapeutic purposes, or any purchase of Product for resale (alone or as a component) or other commercial purpose, requires a separate license from CST. Customer shall (a) not sell, license, loan, donate or otherwise transfer or make available any Product to any third party, whether alone or in combination with other materials, or use the Products to manufacture any commercial products, (b) not copy, modify, reverse engineer, decompile, disassemble or otherwise attempt to discover the underlying structure or technology of the Products, or use the Products for the purpose of developing any products or services that would compete with CST products or services, (c) not alter or remove from the Products any trademarks, trade names, logos, patent or copyright notices or markings, (d) use the Products solely in accordance with CST Product Terms of Sale and any applicable documentation, and (e) comply with any license, terms of service or similar agreement with respect to any third party products or services used by Customer in connection with the Products.