Cell Signaling Technology Logo - Extra Large
Trial Size Available Flag
Recombinant Flag
Recombinant: Superior lot-to-lot consistency, continuous supply, and animal-free manufacturing.

BRD4 (pan) (E1Y1P) Rabbit Monoclonal Antibody #83375

Filter:
  • WB
  • IP
  • ChIP

    Product Specifications

    REACTIVITY H M R Mk
    SENSITIVITY Endogenous
    MW (kDa) 200, 110
    Source/Isotype Rabbit IgG
    Application Key:
    • WB-Western Blotting 
    • IP-Immunoprecipitation 
    • ChIP-Chromatin Immunoprecipitation 
    Species Cross-Reactivity Key:
    • H-Human 
    • M-Mouse 
    • R-Rat 
    • Mk-Monkey 

    Product Information

    Product Usage Information

    For optimal ChIP and ChIP-seq results, use 5 μl of antibody and 10 μg of chromatin (approximately 4 x 106 cells) per IP. This antibody has been validated using SimpleChIP® Enzymatic Chromatin IP Kits.
    Application Dilution
    Western Blotting 1:1000
    Immunoprecipitation 1:100
    Chromatin IP 1:100
    Chromatin IP-seq 1:100

    Storage

    Supplied in 10 mM sodium HEPES (pH 7.5), 150 mM NaCl, 100 µg/ml BSA, 50% glycerol and less than 0.02% sodium azide. Store at –20°C. Do not aliquot the antibody.

    For a carrier free (BSA and azide free) version of this product see product #71289.

    Protocol

    Specificity / Sensitivity

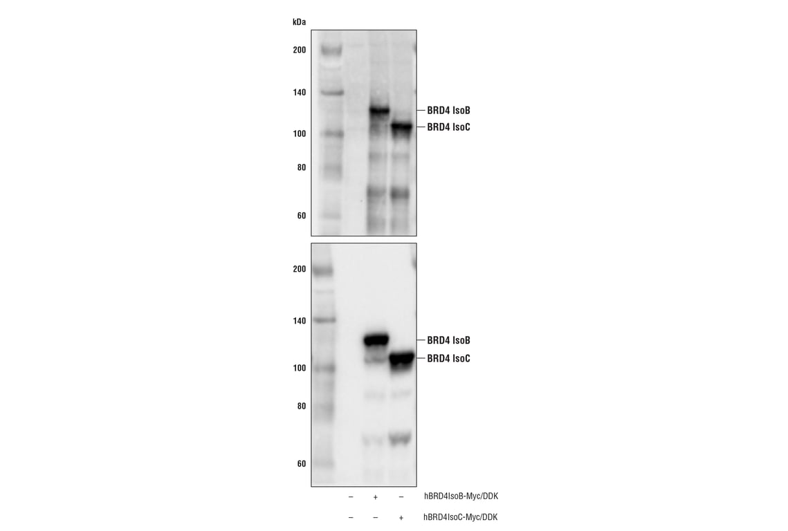
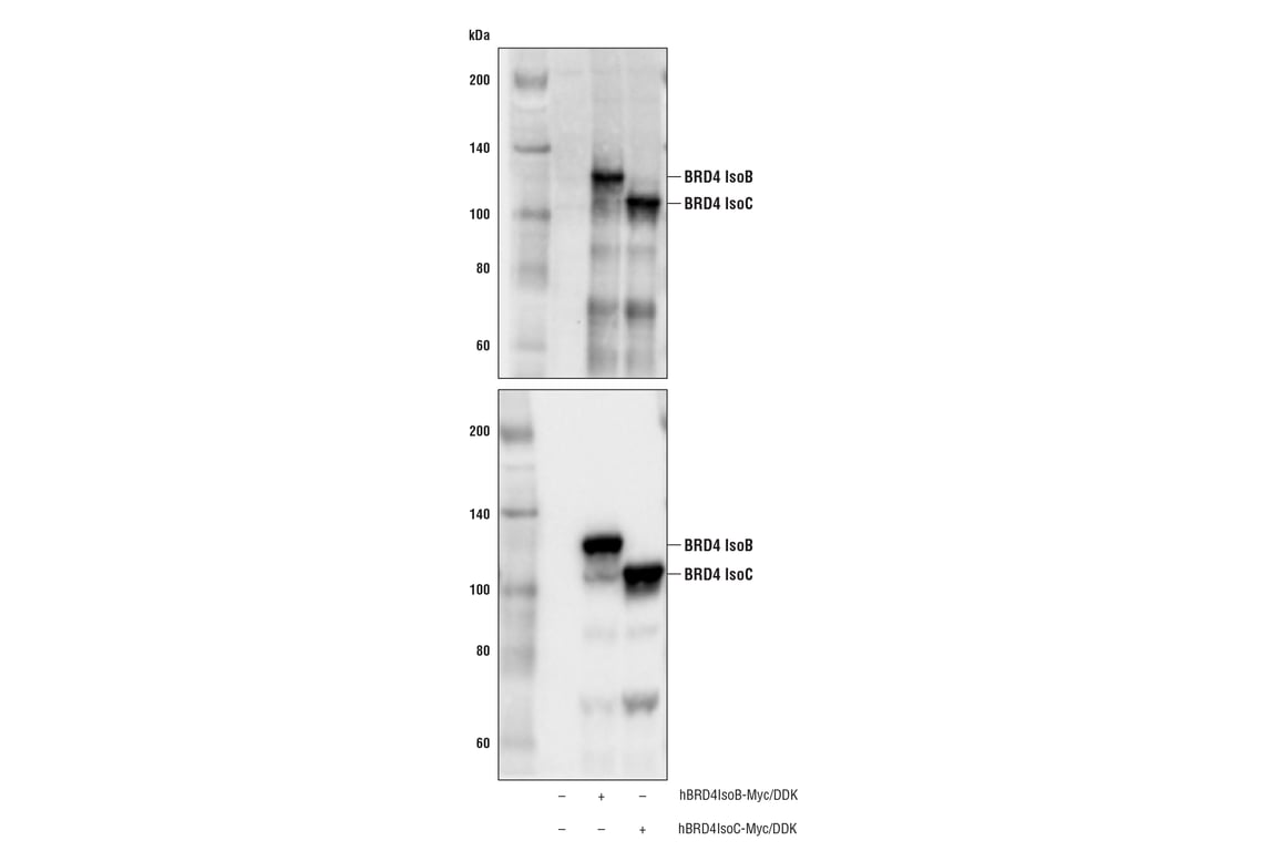
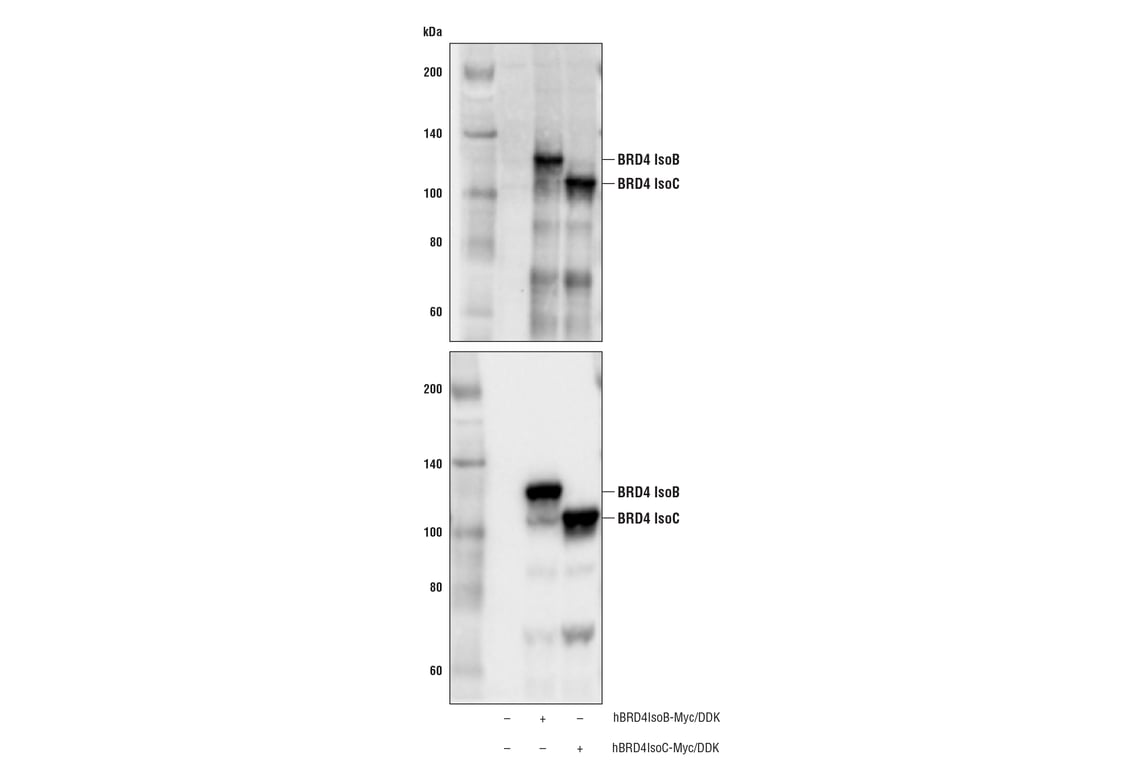
    BRD4 (pan) (E1Y1P) Rabbit Monoclonal Antibody recognizes endogenous levels of total BRD4 protein. This antibody detects endogenous BRD4 IsoA and BRD4 IsoC, and BRD4 IsoB when overexpressed. This antibody also detects bands of unknown origin at around 78 and 76 kDa.

    Species Reactivity:

    Human, Mouse, Rat, Monkey

    Source / Purification

    Monoclonal antibody is produced by immunizing animals with a synthetic peptide corresponding to residues surrounding Pro53 of human BRD4 protein.

    Background

    Bromodomain-containing protein 4 (BRD4) is a member of the bromodomains and extra terminal (BET) family of proteins, which also includes BRD2, BRD3, and BRDT (1-3). BET family proteins contain two tandem bromodomains and an extra terminal (ET) domain, and bind acetyl lysine residues (3). BRD4 is a chromatin-binding protein with a preference for Lys14 on histone H3 as well as Lys5 and Lys12 on histone H4 (4). BRD4 chromatin binding occurs throughout the cell cycle, including condensed mitotic chromosomes, when the majority of genes are silenced (5). BRD4 association with chromatin during mitosis is thought to be an important part of the bookmarking mechanism to accelerate reactivation of the silenced genes upon exit from mitosis (2,6). BRD4 has been shown to facilitate transcription by recruiting the positive transcription elongation factor b (pTEFb) complex that phosphorylates Ser2 of the heptapeptide repeat of the carboxy-terminal domain of RNA polymerase II, promoting transcription elongation (3,7,8). In addition, BRD4 has been found to be part of the super elongation complex and the polymerase associated factor complex (PAFc) in MLL-fusion derived leukemia cell lines, demonstrating a role for BRD4 in the regulation of transcription elongation (9). Research studies have shown that BRD4 (and BET family proteins) may be promising therapeutic targets for various Myc-driven cancers, such as Burkitt’s lymphoma and certain acute myeloid leukemias (1,10,11). Investigators have found molecular inhibition of BET proteins to be effective in inducing apoptosis in various MLL-fusion driven leukemic cell lines by competing BRD3 and BRD4 from chromatin, leading to reduced expression of Bcl-2, Myc, and CDK6 (9). BET inhibition has also been shown to have antitumor activities against nuclear protein in testis (NUT) midline carcinoma cell lines and xenografts in mice where BRD4 is found to be a frequent translocation partner of the NUT protein (12). In addition, BRD4 regulates the expression of some inflammatory genes, and inhibition of BRD4 (and BET family proteins) chromatin binding causes reduced expression of a subset of inflammatory genes in macrophages, leading to protection against endotoxic shock and sepsis (13).

    Alternate Names

    BRD4; BRD4 iso2; BRD4 iso3; BRD4 Isoform B; BRD4 Isoform C; Brd4S; bromodomain containing 4; bromodomain-containing 4; Bromodomain-containing protein 4; CAP; chromosome-associated protein; hCG_2000917; HUNK1; HUNKI; MCAP; mitotic chromosome-associated protein; Protein HUNK1

    For Research Use Only. Not for Use in Diagnostic Procedures.
    Cell Signaling Technology is a trademark of Cell Signaling Technology, Inc.
    SimpleChIP is a registered trademark of Cell Signaling Technology, Inc.
    All other trademarks are the property of their respective owners. Visit our Trademark Information page.