Cell Signaling Technology Logo - Extra Large

BRD9 Antibody #71232

Filter:
  • WB
  • IP

Inquiry Info. # 71232

Please see our recommended alternatives.

    Product Specifications

    REACTIVITY H Mk
    SENSITIVITY Endogenous
    MW (kDa) 80
    SOURCE Rabbit
    Application Key:
    • WB-Western Blotting 
    • IP-Immunoprecipitation 
    Species Cross-Reactivity Key:
    • H-Human 
    • Mk-Monkey 

    Product Information

    Product Usage Information

    Application Dilution
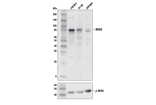
    Western Blotting 1:1000
    Immunoprecipitation 1:50

    Storage

    Supplied in 10 mM sodium HEPES (pH 7.5), 150 mM NaCl, 100 µg/ml BSA and 50% glycerol. Store at –20°C. Do not aliquot the antibody.

    Protocol

    Specificity / Sensitivity

    BRD9 Antibody recognizes endogenous levels of total BRD9 protein.

    Species Reactivity:

    Human, Monkey

    Source / Purification

    Polyclonal antibodies are produced by immunizing animals with a synthetic peptide corresponding to residues surrounding Leu530 of human BRD9 protein. Antibodies are purified by protein A and peptide affinity chromatography.

    Background

    The modulation of chromatin structure is an essential component in the regulation of transcriptional activation and repression. Modifications can be made by at least two evolutionarily conserved strategies, through the disruption of histone-DNA contacts by ATP-dependent chromatin remodelers, or by histone tail modifications including methylation and acetylation. One of the four classes of ATP-dependent histone remodelers is the SWI/SNF complex, the central catalytic subunit of which is Brg1 or the highly related protein hBRM (1). This SWI/SNF complex contains varying subunits but its association with either Brg1 or hBRM remains constant (1). SWI/SNF complexes have been shown to regulate gene activation, cell growth, the cell cycle, and differentiation (1). Brg1/hBRM have been shown to regulate transcription through enhancing transcriptional activation of glucocorticoid receptors (2). Although usually associated with transcriptional activation, Brg1/hBRM have also been found in complexes associated with transcriptional repression, including HDACs, Rb, and Tif1β (3-5). Brg1/hBRM plays a vital role in the regulation of gene transcription during early mammalian embryogenesis. In addition, Brg1/hBRM also plays a role as a tumor suppressor and Brg1 is mutated in several tumor cell lines (6-8). BRD7 and BRD9 are BET-containing members of the PBAF and BAF complexes respectively (9, 10). Many studies are looking at the design and implementation of specific BRD7/9 inhibitors to study their role in cancer (11-14). BRD9 inhibition has shown promise in combinational treatment of rhabdoid tumors, which have mutations in another BAF complex member SMARCB1/BAF47 (15).
    1. Trotter, K.W. and Archer, T.K. (2008) Nucl Recept Signal 6, e004.
    2. Trotter, K.W. and Archer, T.K. (2007) Mol Cell Endocrinol 265-266, 162-7.
    3. Sif, S. et al. (2001) Genes Dev 15, 603-18.
    4. Zhang, H.S. et al. (2000) Cell 101, 79-89.
    5. Underhill, C. et al. (2000) J Biol Chem 275, 40463-70.
    6. Magnani, L. and Cabot, R.A. (2009) Reproduction 137, 23-33.
    7. Medina, P.P. et al. (2008) Epigenetics 3, 64-8.
    8. Medina, P.P. et al. (2008) Hum Mutat 29, 617-22.
    9. Middeljans, E. et al. (2012) PLoS One 7, e33834.
    10. Kadoch, C. et al. (2013) Nat Genet 45, 592-601.
    11. Picaud, S. et al. (2015) J Med Chem 58, 2718-36.
    12. Theodoulou, N.H. et al. (2016) J Med Chem 59, 1425-39.
    13. Clark, P.G. et al. (2015) Angew Chem Int Ed Engl 54, 6217-21.
    14. Remillard, D. et al. (2017) Angew Chem Int Ed Engl 56, 5738-5743.
    15. Krämer, K.F. et al. (2017) Int J Mol Sci 18, .

    Alternate Names

    BRD9; bromodomain containing 9; Bromodomain-containing protein 9; DKFZp434D0711; DKFZp686L0539; FLJ43530; LAVS3040; PRO9856; Rhabdomyosarcoma antigen MU-RMS-40.8; sarcoma antigen NY-SAR-29

    For Research Use Only. Not for Use in Diagnostic Procedures.
    Cell Signaling Technology is a trademark of Cell Signaling Technology, Inc.
    All other trademarks are the property of their respective owners. Visit our Trademark Information page.