Cell Signaling Technology Logo - Extra Large
Trial Size Available Flag
Recombinant Flag
Recombinant: Superior lot-to-lot consistency, continuous supply, and animal-free manufacturing.

c-Myc (D84C12) Rabbit Monoclonal Antibody #5605

Filter:
  • WB
  • IF

    Product Specifications

    REACTIVITY H M R
    SENSITIVITY Endogenous
    MW (kDa) 57-65
    Source/Isotype Rabbit IgG
    Application Key:
    • WB-Western Blotting 
    • IF-Immunofluorescence 
    Species Cross-Reactivity Key:
    • H-Human 
    • M-Mouse 
    • R-Rat 

    Product Information

    Product Usage Information

    Application Dilution
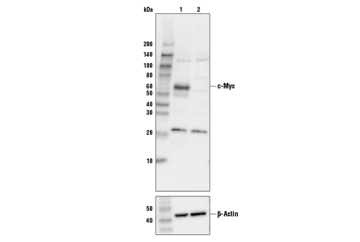
    Western Blotting 1:1000
    Simple Western™ 1:50 - 1:250
    Immunofluorescence (Immunocytochemistry) 1:400 - 1:1600

    Storage

    Supplied in 10 mM sodium HEPES (pH 7.5), 150 mM NaCl, 100 µg/ml BSA, 50% glycerol and less than 0.02% sodium azide. Store at –20°C. Do not aliquot the antibody.

    For a carrier free (BSA and azide free) version of this product see product #18927.

    Protocol

    Specificity / Sensitivity

    c-Myc (D84C12) Rabbit Monoclonal Antibody detects endogenous levels of total c-Myc protein. This antibody is not recommended for detection of Myc-tagged fusion proteins (use Myc-Tag (9B11) Mouse Monoclonal Antibody#2276 or Myc-Tag (71D10) Rabbit Monoclonal Antibody #2278).

    Species Reactivity:

    Human, Mouse, Rat

    The antigen sequence used to produce this antibody shares 100% sequence homology with the species listed here, but reactivity has not been tested or confirmed to work by CST. Use of this product with these species is not covered under our Product Performance Guarantee.

    Species predicted to react based on 100% sequence homology:

    Dog, Pig

    Source / Purification

    Monoclonal antibody is produced with a synthetic peptide corresponding to residues surrounding Asp30 of human c-Myc1 protein.

    Background

    Members of the Myc/Max/Mad network function as transcriptional regulators with roles in various aspects of cell behavior, including proliferation, differentiation, and apoptosis (1). These proteins share a common basic-helix-loop-helix leucine zipper (bHLH-ZIP) motif required for dimerization and DNA-binding. Max was originally discovered based on its ability to associate with c-Myc and found to be required for the ability of Myc to bind DNA and activate transcription (2). Subsequently, Max has been viewed as a central component of the transcriptional network, forming homodimers as well as heterodimers with other members of the Myc and Mad families (1). The association between Max and either Myc or Mad can have opposing effects on transcriptional regulation and cell behavior (1). The Mad family consists of four related proteins; Mad1, Mad2 (Mxi1), Mad3, and Mad4, and the more distantly related members of the bHLH-ZIP family, Mnt and Mga. Like Myc, the Mad proteins are tightly regulated with short half-lives. In general, Mad family members interfere with Myc-mediated processes, such as proliferation, transformation, and prevention of apoptosis by inhibiting transcription (3,4).

    Alternate Names

    avian myelocytomatosis viral oncogene homolog; BHLHE39; c-Myc; Class E basic helix-loop-helix protein 39; MRTL; MYC; Myc proto-oncogene protein; MYC proto-oncogene, bHLH transcription factor; myc-related translation/localization regulatory factor; MYCC; Proto-oncogene c-Myc; Transcription factor p64; v-myc avian myelocytomatosis viral oncogene homolog; v-myc myelocytomatosis viral oncogene homolog; v-myc myelocytomatosis viral oncogene homolog (avian)

    For Research Use Only. Not for Use in Diagnostic Procedures.
    Cell Signaling Technology is a trademark of Cell Signaling Technology, Inc.
    All other trademarks are the property of their respective owners. Visit our Trademark Information page.