Cell Signaling Technology Logo - Extra Large
Trial Size Available Flag
Recombinant Flag
Recombinant: Superior lot-to-lot consistency, continuous supply, and animal-free manufacturing.

Cas9 (S. aureus) (E4G3U) Rabbit Monoclonal Antibody #51610

Filter:
  • WB
  • IF
  • F

    Product Specifications

    REACTIVITY All
    SENSITIVITY Transfected Only
    MW (kDa) 124
    Source/Isotype Rabbit IgG
    Application Key:
    • WB-Western Blotting 
    • IF-Immunofluorescence 
    • F-Flow Cytometry 
    Species Cross-Reactivity Key:
    • All-All Species Expected 

    Product Information

    Product Usage Information

    Application Dilution
    Western Blotting 1:1000
    Immunofluorescence (Immunocytochemistry) 1:200
    Flow Cytometry (Fixed/Permeabilized) 1:100

    Storage

    Supplied in 10 mM sodium HEPES (pH 7.5), 150 mM NaCl, 100 µg/ml BSA, 50% glycerol and less than 0.02% sodium azide. Store at –20°C. Do not aliquot the antibody.

    For a carrier free (BSA and azide free) version of this product see product #87855.

    Protocol

    Specificity / Sensitivity

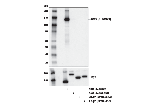
    Cas9 (S. aureus) (E4G3U) Rabbit Monoclonal Antibody recognizes transfected Cas9 (S. Aureus) protein. This antibody does not cross-react with Cas9 (S. pyogenes), AsCpf1 (Strain BV3L6), and FnCpf (Strain U112).

    Species Reactivity:

    All Species Expected

    Source / Purification

    Monoclonal antibody is produced by immunizing animals with a synthetic peptide corresponding to residues surrounding Val905 of S. aureus Cas9 protein.

    Background

    The CRISPR associated protein 9 (Cas9) is an RNA-guided DNA nuclease and part of the CRISPR antiviral immunity system that provides adaptive immunity against extra chromosomal genetic material (1). The CRISPR antiviral mechanism of action involves three steps: (i), acquisition of foreign DNA by host bacterium; (ii), synthesis and maturation of CRISPR RNA (crRNA), followed by the formation of RNA-Cas nuclease protein complexes; and (iii), target interference through recognition of foreign DNA by the complex and its cleavage by Cas nuclease activity (2). The type II CRISPR/Cas antiviral immunity system provides a powerful tool for precise genome editing and has potential for specific gene regulation and therapeutic applications (3). The Cas9 protein and a guide RNA consisting of a fusion between a crRNA and a trans-activating crRNA (tracrRNA) must be introduced or expressed in a cell. A 20-nucleotide sequence at the 5' end of the guide RNA directs Cas9 to a specific DNA target site. As a result, Cas9 can be "programmed" to cut various DNA sites both in vitro and in cells and organisms. CRISPR/Cas9 genome editing tools have been used in many organisms, including mouse and human cells (4,5). Research studies demonstrate that CRISPR can be used to generate mutant alleles or reporter genes in rodents and primate embryonic stem cells (6-8).

    Cas9 (S. aureus) is a Cas9 ortholog that is smaller, but as efficient, as the more commonly used Cas9 ortholog, Cas9 (S. pyogenes) (9).

    Alternate Names

    Cas9 iso2; CRISPR-associated endonuclease Cas9

    For Research Use Only. Not for Use in Diagnostic Procedures.
    Cell Signaling Technology is a trademark of Cell Signaling Technology, Inc.
    Alexa Fluor is a registered trademark of Life Technologies Corporation.
    The transfer of this product is contingent on the buyer using the purchased product solely in research conducted by the buyer (whether the buyer is an academic or for-profit entity), for Immunocytochemistry, high content screening (HCS) analysis, or flow cytometry applications. The sale of this product is expressly conditioned on the buyer not using the product or its components (1) in manufacturing; (2) to provide a service, information, or data to an unaffiliated third party for payment; (3) for therapeutic, diagnostic or prophylactic purposes; (4) resale, whether or not such product or its components are resold for use in research; or for any other commercial purpose. For information on purchasing a license to this product for purposes other than research, contact Life Technologies Corporation, 5791 Van Allen Way, Carlsbad, CA 92008 USA or [email protected].
    All other trademarks are the property of their respective owners. Visit our Trademark Information page.