Render Target: STATIC
Render Timestamp:
5/22/2026, 5:51:57 AM EDT
5/22/2026, 9:51:57 AM UTC
Commit: 7ed46ecc04b401f23a28df741b5078df405d23e4
XML generation date: 2026-04-16 09:37:10.128
Product last modified at: 2026-03-20T08:07:28.971Z
Cell Signaling Technology Logo - Extra Large
1% for the planet logo
PDP - Template Name: Monoclonal Antibody
PDP - Template ID: *******c5e4b77
Trial Size Available Flag
Recombinant Flag
Recombinant: Superior lot-to-lot consistency, continuous supply, and animal-free manufacturing.

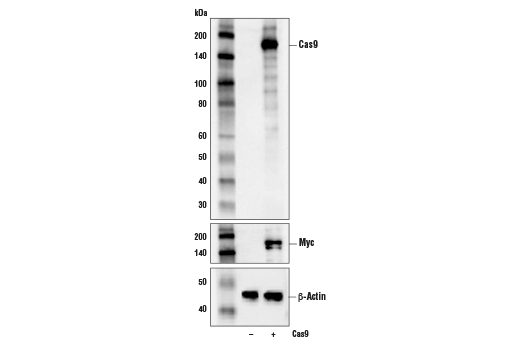
Cas9 (S. pyogenes) (D8Y4K) Rabbit Monoclonal Antibody #65832

Filter:
  • WB
  • IF
  • F

    Product Specifications

    REACTIVITY All
    SENSITIVITY Transfected Only
    MW (kDa) 150
    Source/Isotype Rabbit IgG
    Application Key:
    • WB-Western Blotting 
    • IF-Immunofluorescence 
    • F-Flow Cytometry 
    Species Cross-Reactivity Key:
    • All-All Species Expected 

    Product Information

    Product Usage Information

    Application Dilution
    Western Blotting 1:1000
    Simple Western™ 1:50 - 1:250
    Immunofluorescence (Frozen) 1:50 - 1:200
    Immunofluorescence (Immunocytochemistry) 1:200
    Flow Cytometry (Fixed/Permeabilized) 1:50

    Storage

    Supplied in 10 mM sodium HEPES (pH 7.5), 150 mM NaCl, 100 µg/ml BSA, 50% glycerol and less than 0.02% sodium azide. Store at –20°C. Do not aliquot the antibody.

    Protocol

    Specificity / Sensitivity

    Cas9 (S. pyogenes) (D8Y4K) Rabbit Monoclonal Antibody recognizes transfected levels of total Cas9 (S. pyogenes) protein. This antibody does not cross-react with Cas9 (S. aureus), FnCpf1, and AsCpf1 proteins.

    Species Reactivity:

    All Species Expected

    Source / Purification

    Monoclonal antibody is produced by immunizing animals with a synthetic peptide corresponding to residues surrounding Val16 of Cas9 (S. pyogenes) protein.

    Background

    The CRISPR associated protein 9 (Cas9) is an RNA-guided DNA nuclease and part of the Streptococcus pyogenes CRISPR antiviral immunity system that provides adaptive immunity against extrachromosomal genetic material (1). The CRISPR antiviral mechanism of action involves three steps: (i), acquisition of foreign DNA by host bacterium; (ii), synthesis and maturation of CRISPR RNA (crRNA) followed by the formation of RNA-Cas nuclease protein complexes; and (iii), target interference through recognition of foreign DNA by the complex and its cleavage by Cas nuclease activity (2). The type II CRISPR/Cas antiviral immunity system provides a powerful tool for precise genome editing and has potential for specific gene regulation and therapeutic applications (3). The Cas9 protein and a guide RNA consisting of a fusion between a crRNA and a trans-activating crRNA (tracrRNA) must be introduced or expressed in a cell. A 20-nucleotide sequence at the 5' end of the guide RNA directs Cas9 to a specific DNA target site. As a result, Cas9 can be "programmed" to cut various DNA sites both in vitro and in cells and organisms. CRISPR/Cas9 genome editing tools have been used in many organisms, including mouse and human cells (4,5). Research studies demonstrate that CRISPR can be used to generate mutant alleles or reporter genes in rodents and primate embryonic stem cells (6-8).

    Alternate Names

    cas9; CRISPR-associated endonuclease Cas9/Csn1; csn1

    For Research Use Only. Not for Use in Diagnostic Procedures.
    Cell Signaling Technology is a trademark of Cell Signaling Technology, Inc.
    Alexa Fluor is a registered trademark of Life Technologies Corporation.
    All other trademarks are the property of their respective owners. Visit our Trademark Information page.