Cbl-b Antibody #8160
- WB
- IP
Inquiry Info. # 8160
Please see our recommended alternatives.
Product Specifications
| REACTIVITY | H |
| SENSITIVITY | Endogenous |
| MW (kDa) | 130 |
| SOURCE | Rabbit |
Application Key:
- WB-Western Blotting
- IP-Immunoprecipitation
Species Cross-Reactivity Key:
- H-Human
Product Information
Product Usage Information
| Application | Dilution |
|---|---|
| Western Blotting | 1:1000 |
| Immunoprecipitation | 1:50 |
Storage
Protocol
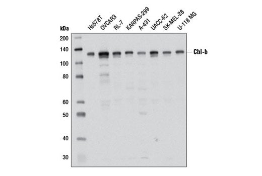
Specificity / Sensitivity
Species Reactivity:
Source / Purification
Background
Cbl-b is an E3 ubiquitin ligase with a domain organization nearly identical to that of c-Cbl. The role of Cbl-b in hematopoietic cell physiology is well documented. Cbl-b expression is important for the downregulation of TCR expression during antigen recognition (2). Cbl-b also acts as a potent negative regulator of the CD28 signaling cascade to Vav and Rac1 through its ability to ubiquitinate the p85 regulatory subunit of PI3K (3,4). As a critical regulator of clonal anergy in T lymphocytes, Cbl-b mRNA and protein are upregulated in T cells following calcium mobilization and calcineurin activation (5). Cbl-b-deficient T cells are resistant to anergy induction (5). The molecular events governing this phenotype are thought to be linked to defects in the ubiquitination of PLCγ1 and PKCθ since the degradation of these signaling molecules, which occurs following restimulation of wild-type anergic T cells, fails to occur in Cbl-b-deficient T cells (5).
- Schmidt, M.H. and Dikic, I. (2005) Nat Rev Mol Cell Biol 6, 907-18.
- Naramura, M. et al. (2002) Nat Immunol 3, 1192-9.
- Naramura, M. et al. (2002) Nat Immunol 3, 1192-9.
- Chiang, Y.J. et al. (2000) Nature 403, 216-20.
- Fang, D. and Liu, Y.C. (2001) Nat Immunol 2, 870-5.
- Heissmeyer, V. et al. (2004) Nat Immunol 5, 255-65.
Alternate Names
Cas-Br-M (murine) ecotropic retroviral transforming sequence b; Cas-Br-M (murine) ectropic retroviral transforming sequence b; Casitas B-lineage lymphoma proto-oncogene b; Cbl proto-oncogene B; Cbl proto-oncogene B, E3 ubiquitin protein ligase; Cbl proto-oncogene, E3 ubiquitin protein ligase B; Cbl-b; CBLB; DKFZp686J10223; DKFZp779A0729; DKFZp779F1443; E3 ubiquitin-protein ligase CBL-B; FLJ36865; FLJ41152; Nbla00127; RING finger protein 56; RING-type E3 ubiquitin transferase CBL-B; RNF56; SH3-binding protein CBL-B; Signal transduction protein CBL-B
Limited Uses
Except as otherwise expressly agreed in a writing signed by a legally authorized representative of CST, the following terms apply to Products provided by CST, its affiliates or its distributors. Any Customer's terms and conditions that are in addition to, or different from, those contained herein, unless separately accepted in writing by a legally authorized representative of CST, are rejected and are of no force or effect.
Products are labeled with For Research Use Only or a similar labeling statement and have not been approved, cleared, or licensed by the FDA or other regulatory foreign or domestic entity, for any purpose. Customer shall not use any Product for any diagnostic or therapeutic purpose, or otherwise in any manner that conflicts with its labeling statement. Products sold or licensed by CST are provided for Customer as the end-user and solely for research and development uses. Any use of Product for diagnostic, prophylactic or therapeutic purposes, or any purchase of Product for resale (alone or as a component) or other commercial purpose, requires a separate license from CST. Customer shall (a) not sell, license, loan, donate or otherwise transfer or make available any Product to any third party, whether alone or in combination with other materials, or use the Products to manufacture any commercial products, (b) not copy, modify, reverse engineer, decompile, disassemble or otherwise attempt to discover the underlying structure or technology of the Products, or use the Products for the purpose of developing any products or services that would compete with CST products or services, (c) not alter or remove from the Products any trademarks, trade names, logos, patent or copyright notices or markings, (d) use the Products solely in accordance with CST Product Terms of Sale and any applicable documentation, and (e) comply with any license, terms of service or similar agreement with respect to any third party products or services used by Customer in connection with the Products.