Render Target: STATIC
Render Timestamp:
5/22/2026, 7:03:06 AM EDT
5/22/2026, 11:03:06 AM UTC
Commit: 7ed46ecc04b401f23a28df741b5078df405d23e4
XML generation date: 2025-11-12 16:16:50.550
Product last modified at: 2026-03-20T08:06:01.287Z
Cell Signaling Technology Logo - Extra Large
1% for the planet logo
PDP - Template Name: Monoclonal Antibody
PDP - Template ID: *******c5e4b77
Recombinant Flag
Recombinant: Superior lot-to-lot consistency, continuous supply, and animal-free manufacturing.

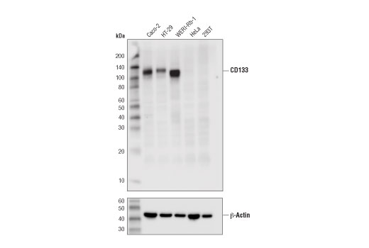
CD133 (D4W4N) Rabbit Monoclonal Antibody (BSA and Azide Free) #69914

Filter:
  • WB
  • IHC

    Product Specifications

    REACTIVITY H
    SENSITIVITY Endogenous
    MW (kDa) 133
    Source/Isotype Rabbit IgG
    Application Key:
    • WB-Western Blotting 
    • IHC-Immunohistochemistry 
    Species Cross-Reactivity Key:
    • H-Human 

    Product Information

    Product Usage Information

    This product is the carrier free version of product #86781. All data were generated using the same antibody clone in the standard formulation which contains BSA and glycerol.

    This formulation is ideal for use with technologies requiring specialized or custom antibody labeling, including fluorophores, metals, lanthanides, and oligonucleotides. It is not recommended for ChIP, ChIP-seq, CUT&RUN or CUT&Tag assays. If you require a carrier free formulation for chromatin profiling, please contact us. Optimal dilutions/concentrations should be determined by the end user.

    BSA and Azide Free antibodies are quality control tested by size exclusion chromatography (SEC) to determine antibody integrity.

    Formulation

    Supplied in 1X PBS (10 mM Na2HPO4, 3 mM KCl, 2 mM KH2PO4, and 140 mM NaCl (pH 7.8)). BSA and Azide Free.

    For standard formulation of this product see product #86781

    Storage

    Store at -20°C. This product will freeze at -20°C so it is recommended to aliquot into single-use vials to avoid multiple freeze/thaw cycles. A slight precipitate may be present and can be dissolved by gently vortexing. This will not interfere with antibody performance.

    Specificity / Sensitivity

    CD133 (D4W4N) Rabbit Monoclonal Antibody (BSA and Azide Free) recognizes endogenous levels of total CD133 protein. The antibody is not sensitive to the glycosylation status of CD133.

    Species Reactivity:

    Human

    Source / Purification

    Monoclonal antibody is produced by immunizing animals with recombinant protein corresponding to the first extracellular domain of human CD133 protein. The epitope has been mapped to a region spanning amino acid residues 257-281, which includes a single N-linked glycosylation site (Asn274).

    Background

    CD133, also known as Prominin, was first described as a cell surface marker recognized by monoclonal antibody AC133 on putative hematopoietic stem cells (1). Subsequent cDNA cloning indicated that CD133 is a five-transmembrane protein with a predicted molecular weight of 97 kDa. Due to heavy glycosylation, its apparent molecular weight is 130 kDa as determined by SDS-PAGE analysis (2). Besides blood stem cells, CD133 is expressed on and used to isolate other stem cells, including cancer stem cells (3-7). A deletion mutation in CD133 produces aberrant protein localization and may result in retinal degeneration in humans (8).

    Alternate Names

    AC133; Antigen AC133; CD133; CORD12; hematopoietic stem cell antigen; hProminin; MCDR2; MSTP061; PROM1; prominin 1; Prominin-1; prominin-like 1; Prominin-like protein 1; PROML1; RP41; STGD4

    For Research Use Only. Not for Use in Diagnostic Procedures.
    Cell Signaling Technology is a trademark of Cell Signaling Technology, Inc.
    SignalStain is a registered trademark of Cell Signaling Technology, Inc.
    All other trademarks are the property of their respective owners. Visit our Trademark Information page.