Render Target: STATIC
Render Timestamp:
5/21/2026, 5:59:26 AM EDT
5/21/2026, 9:59:26 AM UTC
Commit: 7ed46ecc04b401f23a28df741b5078df405d23e4
XML generation date: 2025-11-12 16:12:58.255
Product last modified at: 2026-03-20T08:05:04.905Z
Cell Signaling Technology Logo - Extra Large
1% for the planet logo
PDP - Template Name: Monoclonal Antibody
PDP - Template ID: *******c5e4b77
Trial Size Available Flag
Recombinant Flag
Recombinant: Superior lot-to-lot consistency, continuous supply, and animal-free manufacturing.

CD16A (D8W2O) Rabbit Monoclonal Antibody #19731

Filter:
  • WB

    Product Specifications

    REACTIVITY H
    SENSITIVITY Endogenous
    MW (kDa) 50-70
    Source/Isotype Rabbit IgG
    Application Key:
    • WB-Western Blotting 
    Species Cross-Reactivity Key:
    • H-Human 

    Product Information

    Product Usage Information

    Application Dilution
    Western Blotting 1:1000

    Storage

    Supplied in 10 mM sodium HEPES (pH 7.5), 150 mM NaCl, 100 µg/ml BSA, 50% glycerol and less than 0.02% sodium azide. Store at –20°C. Do not aliquot the antibody.

    Protocol

    Specificity / Sensitivity

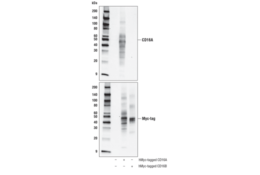
    CD16A (D8W2O) Rabbit Monoclonal Antibody recognizes endogenous levels of total CD16 protein. This antibody detects CD16A and does not cross-react with CD16B.

    Species Reactivity:

    Human

    Source / Purification

    Monoclonal antibody is produced by immunizing animals with a synthetic peptide corresponding to residues surrounding Pro160 of human CD16 protein.

    Background

    CD64 (FcgammaRI), CD32 (FcgammaRII), and CD16 (FcgammaRIII) are three classes of the immunoglobulin superfamily. CD64 has a high affinity for IgG with three Ig-like domains while CD32 and CD16 have low affinities with two Ig-like domains. Two genes encode CD16-A and CD16-B resulting only in a 6 amino acid difference in their ectodomains. However, CD16-A has a transmembrane anchor versus CD16-B, which has a glycosylphosphatidylinositol (1). CD64, CD32, and CD16 are membrane glycoproteins that are expressed by all immunologically active cells and trigger various immune functions (activate B cells, phagocytosis, antibody-dependent cellular cytotoxicity, immune complex clearance, and enhancement of antigen presentation) (2). CD16 cross-linking induces tyrosine phosphorylation (Tyr394) of Lck in NK cells (3). CD32 has tyrosine-based activation motifs in the cytoplasmic domain in contrast to CD16, which associates with molecules possessing these motifs (1).
    CD16A is expressed by NK cells, macrophages, and a subset of monocytes, while CD16B is expressed by neutrophils (4). CD16 is commonly used in combination with CD56 to characterize NK cells, with CD16 identifying NK cells capable of cytotoxicity (5).

    Alternate Names

    CD16; CD16A; CD16a antigen; Fc fragment of IgG receptor IIIa; Fc fragment of IgG, low affinity III, receptor for (CD16); Fc fragment of IgG, low affinity IIIa, receptor (CD16a); Fc gamma receptor III-A; Fc-gamma receptor III-2 (CD 16); Fc-gamma receptor IIIb (CD16); Fc-gamma RIII; Fc-gamma RIII-alpha; Fc-gamma RIIIa; FCG3; FCG3A; FcgammaRIIIA; FCGR3; FCGR3A; FCGRIII; FcR-10; FcRIII; FcRIIIa; IGFR3; IgG Fc receptor III-2; IMD20; immunoglobulin G Fc receptor III; Low affinity immunoglobulin gamma Fc region receptor III-A; low affinity immunoglobulin gamma receptor III-a Fc fragment; neutrophil-specific antigen NA

    For Research Use Only. Not for Use in Diagnostic Procedures.
    Cell Signaling Technology is a trademark of Cell Signaling Technology, Inc.
    All other trademarks are the property of their respective owners. Visit our Trademark Information page.