Cell Signaling Technology Logo - Extra Large
Trial Size Available Flag
Recombinant Flag
Recombinant: Superior lot-to-lot consistency, continuous supply, and animal-free manufacturing.

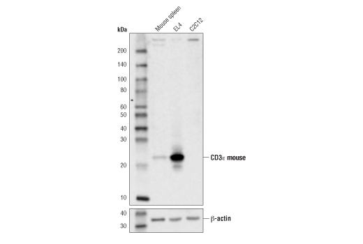
CD3 epsilon (D4V8L) Rabbit Monoclonal Antibody #99940

Filter:
  • WB
  • IHC

    Product Specifications

    REACTIVITY M
    SENSITIVITY Endogenous
    MW (kDa) 22
    Source/Isotype Rabbit IgG
    Application Key:
    • WB-Western Blotting 
    • IHC-Immunohistochemistry 
    Species Cross-Reactivity Key:
    • M-Mouse 

    Product Information

    Product Usage Information

    Application Dilution
    Western Blotting 1:1000
    IHC Leica Bond 1:50 - 1:200
    Immunohistochemistry (Paraffin) 1:75 - 1:300

    Storage

    Supplied in 10 mM sodium HEPES (pH 7.5), 150 mM NaCl, 100 µg/ml BSA, 50% glycerol and less than 0.02% sodium azide. Store at –20°C. Do not aliquot the antibody.

    For a carrier-free (BSA and azide free) version of this product see product #47359

    Protocol

    Specificity / Sensitivity

    CD3 epsilon (D4V8L) Rabbit Monoclonal Antibody recognizes endogenous levels of total mouse CD3ε protein. Non-specific staining in mouse pancreas has been observed. This antibody may react weakly with human CD3ε, but is not suggested for use in immunohistochemical analysis of human tissues. Instead, CD3 epsilon (D7A6E™) Rabbit Monoclonal Antibody #85061 is recommended for IHC analysis of human tissue samples.

    Species Reactivity:

    Mouse

    Source / Purification

    Monoclonal antibody is produced by immunizing animals with a synthetic peptide corresponding to residues surrounding Val31 of mouse CD3ε protein.

    Background

    When T cells encounter antigens via the T cell receptor (TCR), information about the quantity and quality of antigens is relayed to the intracellular signal transduction machinery (1). This activation process depends mainly on CD3 (Cluster of Differentiation 3), a multiunit protein complex that directly associates with the TCR. CD3 is composed of four polypeptides: ζ, γ, ε, and δ. Each of these polypeptides contains at least one immunoreceptor tyrosine-based activation motif (ITAM) (2). Engagement of the TCR complex with foreign antigens induces tyrosine phosphorylation in the ITAM motifs and phosphorylated ITAMs function as docking sites for signaling molecules such as ZAP-70 and the p85 subunit of PI-3 kinase (3,4). TCR ligation also induces a conformational change in CD3ε, such that a proline region is exposed and then associates with the adaptor protein Nck (5).

    Alternate Names

    AI504783; CD3; CD3 antigen, epsilon polypeptide; Cd3e; CD3epsilon; OTTMUSP00000018104; T-cell surface antigen T3/Leu-4 epsilon chain; T-cell surface glycoprotein CD3 epsilon chain; T3e

    For Research Use Only. Not for Use in Diagnostic Procedures.
    Cell Signaling Technology is a trademark of Cell Signaling Technology, Inc.
    SignalStain is a registered trademark of Cell Signaling Technology, Inc.
    All other trademarks are the property of their respective owners. Visit our Trademark Information page.