Render Target: STATIC
Render Timestamp:
5/26/2026, 6:58:26 AM EDT
5/26/2026, 10:58:26 AM UTC
Commit: 7ed46ecc04b401f23a28df741b5078df405d23e4
XML generation date: 2026-04-22 19:55:11.843
Product last modified at: 2026-03-20T08:06:03.690Z
Cell Signaling Technology Logo - Extra Large
1% for the planet logo
PDP - Template Name: Monoclonal Antibody
PDP - Template ID: *******c5e4b77
Trial Size Available Flag
Recombinant Flag
Recombinant: Superior lot-to-lot consistency, continuous supply, and animal-free manufacturing.

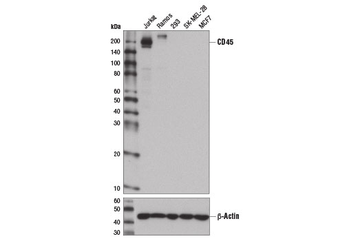
CD45 (Intracellular Domain) (D9M8I) Rabbit Monoclonal Antibody #13917

Filter:
  • WB
  • IP
  • IHC
  • IF
  • F

    Product Specifications

    REACTIVITY H Mk
    SENSITIVITY Endogenous
    MW (kDa) 180 to 240
    Source/Isotype Rabbit IgG
    Application Key:
    • WB-Western Blotting 
    • IP-Immunoprecipitation 
    • IHC-Immunohistochemistry 
    • IF-Immunofluorescence 
    • F-Flow Cytometry 
    Species Cross-Reactivity Key:
    • H-Human 
    • Mk-Monkey 

    Product Information

    Product Usage Information

    Application Dilution
    Western Blotting 1:1000
    Immunoprecipitation 1:50
    Immunohistochemistry (Paraffin) 1:100 - 1:400
    Immunofluorescence (Immunocytochemistry) 1:100 - 1:400
    Flow Cytometry (Fixed/Permeabilized) 1:100 - 1:400

    Storage

    Supplied in 10 mM sodium HEPES (pH 7.5), 150 mM NaCl, 100 µg/ml BSA, 50% glycerol and less than 0.02% sodium azide. Store at –20°C. Do not aliquot the antibody.

    For a carrier free (BSA and azide free) version of this product see product #47937.

    Protocol

    Specificity / Sensitivity

    CD45 (Intracellular Domain) (D9M8I) Rabbit Monoclonal Antibody recognizes endogenous levels of total CD45 protein.

    Species Reactivity:

    Human, Monkey

    Source / Purification

    Monoclonal antibody is produced by immunizing animals with recombinant protein specific to the carboxy terminus of human CD45 protein.

    Background

    The protein phosphatase (PTP) receptor CD45 is a type I transmembrane protein comprised of a pair of intracellular tyrosine phosphatase domains and a variable extracellular domain generated by alternative splicing (1). The catalytic activity of CD45 is a function of the first phosphatase domain (D1) while the second phosphatase domain (D2) may interact with and stabilize the first domain, or recruit/bind substrates (2,3). CD45 interacts directly with antigen receptor complex proteins or activates Src family kinases involved in the regulation of T- and B-cell antigen receptor signaling (1). Specifically, CD45 dephosphorylates Src-family kinases Lck and Fyn at their conserved negative regulatory carboxy-terminal tyrosine residues and upregulates kinase activity. Conversely, studies indicate that CD45 can also inhibit Lck and Fyn by dephosphorylating their positive regulatory autophosphorylation site. CD45 appears to be both a positive and a negative regulator that conducts signals depending on specific stimuli and cell type (1). Human leukocytes including lymphocytes, eosinophils, monocytes, basophils, and neutrophils express CD45, while erythrocytes and platelets are negative for CD45 expression (4).

    Alternate Names

    B220; CD45; CD45 antigen; CD45R; CD45RA; CD45RO; glycoprotein; GP180; L-CA; LCA; Leukocyte common antigen; leukocyte-common antigen; LY5; protein tyrosine phosphatase receptor type C; protein tyrosine phosphatase, receptor type, C; protein tyrosine phosphatase, receptor type, c polypeptide; PTPRC; Receptor-type tyrosine-protein phosphatase C; T200; T200 glycoprotein; T200 leukocyte common antigen

    For Research Use Only. Not for Use in Diagnostic Procedures.
    Cell Signaling Technology is a trademark of Cell Signaling Technology, Inc.
    Alexa Fluor is a registered trademark of Life Technologies Corporation.
    The transfer of this product is contingent on the buyer using the purchased product solely in research conducted by the buyer (whether the buyer is an academic or for-profit entity), for Immunocytochemistry, high content screening (HCS) analysis, or flow cytometry applications. The sale of this product is expressly conditioned on the buyer not using the product or its components (1) in manufacturing; (2) to provide a service, information, or data to an unaffiliated third party for payment; (3) for therapeutic, diagnostic or prophylactic purposes; (4) resale, whether or not such product or its components are resold for use in research; or for any other commercial purpose. For information on purchasing a license to this product for purposes other than research, contact Life Technologies Corporation, 5791 Van Allen Way, Carlsbad, CA 92008 USA or [email protected].
    All other trademarks are the property of their respective owners. Visit our Trademark Information page.