Cell Signaling Technology Logo - Extra Large
Recombinant Flag
Recombinant: Superior lot-to-lot consistency, continuous supply, and animal-free manufacturing.

CD46 (D6N7H) Rabbit Monoclonal Antibody (BSA and Azide Free) #28704

Filter:
  • WB
  • IHC

    Product Specifications

    REACTIVITY H Mk
    SENSITIVITY Endogenous
    MW (kDa) 50-70
    Source/Isotype Rabbit IgG
    Application Key:
    • WB-Western Blotting 
    • IHC-Immunohistochemistry 
    Species Cross-Reactivity Key:
    • H-Human 
    • Mk-Monkey 

    Product Information

    Product Usage Information

    This product is the carrier free version of product #13241. All data were generated using the same antibody clone in the standard formulation which contains BSA and glycerol.

    This formulation is ideal for use with technologies requiring specialized or custom antibody labeling, including fluorophores, metals, lanthanides, and oligonucleotides. It is not recommended for ChIP, ChIP-seq, CUT&RUN or CUT&Tag assays. If you require a carrier free formulation for chromatin profiling, please contact us. Optimal dilutions/concentrations should be determined by the end user.

    BSA and Azide Free antibodies are quality control tested by size exclusion chromatography (SEC) to determine antibody integrity.

    Formulation

    Supplied in 1X PBS (10 mM Na2HPO4, 3 mM KCl, 2 mM KH2PO4, and 140 mM NaCl (pH 7.8)). BSA and Azide Free.

    For standard formulation of this product see product #13241

    Storage

    Store at -20°C. This product will freeze at -20°C so it is recommended to aliquot into single-use vials to avoid multiple freeze/thaw cycles. A slight precipitate may be present and can be dissolved by gently vortexing. This will not interfere with antibody performance.

    Specificity / Sensitivity

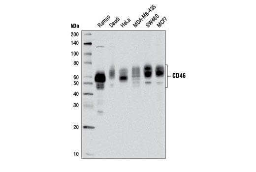
    CD46 (D6N7H) Rabbit Monoclonal Antibody (BSA and Azide Free) recognizes endogenous levels of total CD46 protein.

    Species Reactivity:

    Human, Monkey

    Source / Purification

    Monoclonal antibody is produced by immunizing animals with a synthetic peptide corresponding to residues surrounding Pro199 of human CD46 protein.

    Background

    Complement Regulatory Protein; Membrane Cofactor Protein (CD46) is a type 1 membrane protein that plays an important inhibitory role in the complement system (1). CD46 exhibits a cofactor activity that promotes inactivation of C3b and C4b by serum factor 1, thereby protecting host (self) cells from complement-dependent cytotoxicity (1,2). The importance of CD46 to complement regulation is underscored by the observation that genetic loss of CD46 leads to development of atypical hemolytic-uremic syndrome (aHUS), a disease characterized by uncontrolled complement activation (2,3). In addition to its role in complement inactivation, CD46 can function as a receptor for selected bacteria and viruses (4), and is reportedly required for proper fusion of spermatozoa to the oocyte membrane during fertilization (5). CD46 is implicated in the development and/or progression of selected cancer types. For example, research studies show elevated CD46 expression in medulloblastoma tumor samples (6), while CD46 expression has been linked with poor prognosis in breast cancer (7). It has been suggested that upregulation of CD46 may serve to protect cancer cells from complement-dependent cytotoxicity, thereby evading destruction by the immune system (8,9).

    Alternate Names

    AHUS2; antigen identified by monoclonal antibody TRA-2-10; CD46; CD46 antigen, complement regulatory protein; CD46 molecule; CD46 molecule, complement regulatory protein; complement membrane cofactor protein; MCP; measles virus receptor; Membrane cofactor protein; membrane cofactor protein (CD46, trophoblast-lymphocyte cross-reactive antigen); MGC26544; MIC10; TLX; TRA2.10; trophoblast leucocyte common antigen; Trophoblast leukocyte common antigen; trophoblast-lymphocyte cross-reactive antigen

    For Research Use Only. Not for Use in Diagnostic Procedures.
    Cell Signaling Technology is a trademark of Cell Signaling Technology, Inc.
    SignalStain is a registered trademark of Cell Signaling Technology, Inc.
    All other trademarks are the property of their respective owners. Visit our Trademark Information page.