Render Target: STATIC
Render Timestamp:
5/28/2026, 7:07:57 AM EDT
5/28/2026, 11:07:57 AM UTC
Commit: 7ed46ecc04b401f23a28df741b5078df405d23e4
XML generation date: 2025-11-12 16:13:37.441
Product last modified at: 2026-03-20T08:07:16.291Z
Cell Signaling Technology Logo - Extra Large
1% for the planet logo
PDP - Template Name: Monoclonal Antibody
PDP - Template ID: *******c5e4b77
Recombinant Flag
Recombinant: Superior lot-to-lot consistency, continuous supply, and animal-free manufacturing.

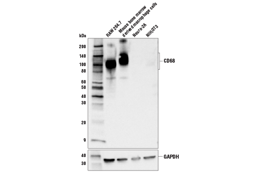
CD68 (E3O7V) Rabbit Monoclonal Antibody (BSA and Azide Free) #29176

Filter:
  • WB
  • IHC
  • IF
  • F

    Product Specifications

    REACTIVITY M R Hm
    SENSITIVITY Endogenous
    MW (kDa) 70-80, 130-140, 200
    Source/Isotype Rabbit IgG
    Application Key:
    • WB-Western Blotting 
    • IHC-Immunohistochemistry 
    • IF-Immunofluorescence 
    • F-Flow Cytometry 
    Species Cross-Reactivity Key:
    • M-Mouse 
    • R-Rat 
    • Hm-Hamster 

    Product Information

    Product Usage Information

    This product is the carrier free version of product #97778. All data were generated using the same antibody clone in the standard formulation which contains BSA and glycerol.

    This formulation is ideal for use with technologies requiring specialized or custom antibody labeling, including fluorophores, metals, lanthanides, and oligonucleotides. It is not recommended for ChIP, ChIP-seq, CUT&RUN or CUT&Tag assays. If you require a carrier free formulation for chromatin profiling, please contact us. Optimal dilutions/concentrations should be determined by the end user.

    BSA and Azide Free antibodies are quality control tested by size exclusion chromatography (SEC) to determine antibody integrity.

    Formulation

    Supplied in 1X PBS (10 mM Na2HPO4, 3 mM KCl, 2 mM KH2PO4, and 140 mM NaCl (pH 7.8)). BSA and Azide Free.

    For standard formulation of this product see product #97778.

    Storage

    Store at -20°C. This product will freeze at -20°C so it is recommended to aliquot into single-use vials to avoid multiple freeze/thaw cycles. A slight precipitate may be present and can be dissolved by gently vortexing. This will not interfere with antibody performance.

    Specificity / Sensitivity

    CD68 (E3O7V) Rabbit Monoclonal Antibody (BSA and Azide Free) recognizes endogenous levels of total CD68 protein. Staining of uncertain specificity in mouse endometrial epithelium has been observed by immunohistochemistry.

    Species Reactivity:

    Mouse, Rat, Hamster

    Source / Purification

    Monoclonal antibody is produced by immunizing animals with mouse CD68 recombinant protein and reacts with an epitope surrounding Gly113.

    Background

    CD68 (macrosialin) is a heavily glycosylated transmembrane protein that is expressed by and commonly used as a marker for monocytes and macrophages (1,2). It is found on the plasma membrane, as well as endosomal and lysosomal membranes (1-3). It is proposed to bind OxLDL and has been observed as a homodimer (3,4).

    Alternate Names

    Cd68; CD68 antigen; gp11; gp110; Lamp4; Macrosialin; Sca; Scard1

    For Research Use Only. Not for Use in Diagnostic Procedures.
    Cell Signaling Technology is a trademark of Cell Signaling Technology, Inc.
    SignalStain is a registered trademark of Cell Signaling Technology, Inc.
    All other trademarks are the property of their respective owners. Visit our Trademark Information page.