Render Target: SSR
Render Timestamp:
5/25/2026, 4:20:13 PM EDT
5/25/2026, 8:20:13 PM UTC
Commit: 7ed46ecc04b401f23a28df741b5078df405d23e4
XML generation date: 2026-04-29 20:04:29.095
Product last modified at: 2026-03-20T08:00:25.321Z
Cell Signaling Technology Logo - Extra Large
1% for the planet logo
PDP - Template Name: Monoclonal Antibody
PDP - Template ID: *******c5e4b77
Trial Size Available Flag
Recombinant Flag
Recombinant: Superior lot-to-lot consistency, continuous supply, and animal-free manufacturing.

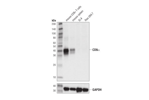
CD8 alpha (D4W2Z) Rabbit Monoclonal Antibody #98941

Filter:
  • WB
  • IHC

    Product Specifications

    REACTIVITY M
    SENSITIVITY Endogenous
    MW (kDa) 35-42
    Source/Isotype Rabbit IgG
    Application Key:
    • WB-Western Blotting 
    • IHC-Immunohistochemistry 
    Species Cross-Reactivity Key:
    • M-Mouse 

    Product Information

    Product Usage Information

    Application Dilution
    Western Blotting 1:1000
    IHC Leica Bond 1:200 - 1:800
    Immunohistochemistry (Paraffin) 1:200 - 1:800

    Storage

    Supplied in 10 mM sodium HEPES (pH 7.5), 150 mM NaCl, 100 µg/ml BSA, 50% glycerol and less than 0.02% sodium azide. Store at –20°C. Do not aliquot the antibody.

    For a carrier free (BSA and azide free) version of this product see product #60168.

    Protocol

    Specificity / Sensitivity

    CD8 alpha (D4W2Z) Rabbit Monoclonal Antibody recognizes endogenous levels of total CD8α protein.

    Species Reactivity:

    Mouse

    Source / Purification

    Monoclonal antibody is produced by immunizing animals with a synthetic peptide corresponding to residues surrounding Asp42 of mouse CD8α protein.

    Background

    Cluster of Differentiation 8 (CD8) is a disulphide-linked heterodimer consisting of the unrelated α and β subunits. Each subunit is a glycoprotein composed of a single extracellular Ig-like domain, a polypeptide linker, a transmembrane part and a short cytoplasmic tail. On T cells, CD8 is the coreceptor for the T cell receptor (TCR), and these two distinct structures recognize the Antigen–Major Histocompatibility Complex (MHC). Specifically, the Ig-like domain of CD8α interacts with the α3-domain of the MHC class I molecule. CD8 ensures specificity of the TCR–antigen interaction, prolongs the contact between the T cell and the antigen presenting cell, and the α chain recruits the tyrosine kinase Lck, which is essential for T cell activation (1).

    Alternate Names

    BB154331; CD8 antigen, alpha chain; Cd8a; Ly-; Ly-2; Ly-3; Ly-35; Ly-B; Lyt-; Lyt-2; Lyt-2.1 lymphocyte differentiation antigen (AA at 100); Lyt2; T-cell surface glycoprotein CD8 alpha chain; T-cell surface glycoprotein Lyt-2

    For Research Use Only. Not for Use in Diagnostic Procedures.
    Cell Signaling Technology is a trademark of Cell Signaling Technology, Inc.
    SignalStain is a registered trademark of Cell Signaling Technology, Inc.
    All other trademarks are the property of their respective owners. Visit our Trademark Information page.