Cell Signaling Technology Logo - Extra Large
Trial Size Available Flag
Recombinant Flag
Recombinant: Superior lot-to-lot consistency, continuous supply, and animal-free manufacturing.

Cleaved Histone H3 (Thr22) (D7J2K) Rabbit Monoclonal Antibody #12576

Filter:
  • WB

    Product Specifications

    REACTIVITY H
    SENSITIVITY Endogenous
    MW (kDa) 15
    Source/Isotype Rabbit IgG
    Application Key:
    • WB-Western Blotting 
    Species Cross-Reactivity Key:
    • H-Human 

    Product Information

    Product Usage Information

    Application Dilution
    Western Blotting 1:1000

    Storage

    Supplied in 10 mM sodium HEPES (pH 7.5), 150 mM NaCl, 100 µg/ml BSA, 50% glycerol and less than 0.02% sodium azide. Store at –20°C. Do not aliquot the antibody.

    Protocol

    Specificity / Sensitivity

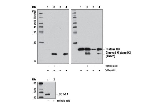
    Cleaved Histone H3 (Thr22) (D7J2K) Rabbit Monoclonal Antibody recognizes endogenous levels of histone H3 protein when cleaved at Thr22. This antibody shows a preference for histone H3 protein when cleaved at Thr22, but also recognizes full length histone H3.

    Species Reactivity:

    Human

    The antigen sequence used to produce this antibody shares 100% sequence homology with the species listed here, but reactivity has not been tested or confirmed to work by CST. Use of this product with these species is not covered under our Product Performance Guarantee.

    Species predicted to react based on 100% sequence homology:

    Mouse, Rat, Monkey, Xenopus, Bovine, Dog

    Source / Purification

    Monoclonal antibody is produced by immunizing animals with a synthetic peptide corresponding to residues surrounding Thr22 of human histone H3 protein.

    Background

    Modulation of chromatin structure has a critical role in the control of various DNA directed activities such as transcription, DNA replication, and repair (1). The basic unit of chromatin, the nucleosome, consists of two turns of DNA wrapped around two copies each of four core histone proteins (H2A, H2B, H3, and H4) (2,3). Amino-terminal tails of histones undergo various post-translational modifications such as acetylation, methylation, phosphorylation, and ubiquitination in response to physiological and environmental stimuli. These modifications modulate the accessibility of chromatin to effector proteins as well as act as binding sites for specific histone modification recognizing effector proteins that regulate gene expression (1,4,5). Such alterations in chromatin modifications and architecture that accompany gene expression changes have been observed during embryonic stem cell differentiation (6). One of the ways in which chromatin modifications may be altered in stem cells involves regulated proteolysis of histone H3 by Cathepsin L. Cathepsin L cleaves the histone H3 amino-terminal tail predominantly at Thr22 in differentiating stem cells, leading to removal of histone modification marks which could then influence the expression patterns of developmentally regulated genes (7).

    Alternate Names

    H3; H3 clustered histone 1; H3 histone family, member A; H3/A; H31; H3C1; H3C10; H3C11; H3C12; H3C2; H3C3; H3C4; H3C6; H3C7; H3C8; H3FA; H3FB; H3FC; H3FC HIST1H3C; H3FD; H3FF; H3FH; H3FI; H3FJ; H3FK; H3FL; HIST1H3A; HIST1H3B; HIST1H3C; HIST1H3D; HIST1H3E; HIST1H3F; HIST1H3G; HIST1H3H; HIST1H3I; HIST1H3J; histone 1, H3a; histone cluster 1 H3 family member a; histone cluster 1, H3a; Histone H3; Histone H3.1; Histone H3/a; Histone H3/b; Histone H3/c; Histone H3/d; Histone H3/f; Histone H3/h; Histone H3/i; Histone H3/j; Histone H3/k; Histone H3/l

    For Research Use Only. Not for Use in Diagnostic Procedures.
    Cell Signaling Technology is a trademark of Cell Signaling Technology, Inc.
    All other trademarks are the property of their respective owners. Visit our Trademark Information page.