Cell Signaling Technology Logo - Extra Large
Trial Size Available Flag
Recombinant Flag
Recombinant: Superior lot-to-lot consistency, continuous supply, and animal-free manufacturing.

Cleaved Notch1 (Val1744) (D3B8) Rabbit Monoclonal Antibody #4147

Filter:
  • WB
  • IP
  • ChIP

    Product Specifications

    REACTIVITY H M R
    SENSITIVITY Endogenous
    MW (kDa) 110
    Source/Isotype Rabbit IgG
    Application Key:
    • WB-Western Blotting 
    • IP-Immunoprecipitation 
    • ChIP-Chromatin Immunoprecipitation 
    Species Cross-Reactivity Key:
    • H-Human 
    • M-Mouse 
    • R-Rat 

    Product Information

    Product Usage Information

    For optimal ChIP results, use 2.5 μl of antibody and 10 μg of chromatin (approximately 4 x 106 cells) per IP. This antibody has been validated using SimpleChIP® Enzymatic Chromatin IP Kits.
    Application Dilution
    Western Blotting 1:1000
    Immunoprecipitation 1:200
    Chromatin IP 1:200

    Storage

    Supplied in 10 mM sodium HEPES (pH 7.5), 150 mM NaCl, 100 µg/mL BSA, 50% glycerol, and less than 0.02% sodium azide. Store at –20°C. Do not aliquot the antibody.

    For a carrier free (BSA and azide free) version of this product see product #72978.

    Protocol

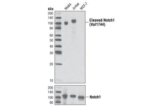
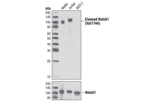
    Specificity / Sensitivity

    Cleaved Notch1 (Val1744) (D3B8) Rabbit Monoclonal Antibody detects endogenous levels of the Notch1 intracellular domain (NICD) only when released by cleavage between Gly1753 and Val1754 (equivalent to Gly1743/Val1744 of murine notch1). This antibody does not recognize full-length Notch1 or Notch1 cleaved at other positions. The size of the NICD varies among cell lines due to mutations in the Notch1 C-terminus (6).

    Species Reactivity:

    Human, Mouse, Rat

    Source / Purification

    Monoclonal antibody is produced by immunizing animals with a synthetic peptide corresponding to the sequence at the Val1754 cleavage site in human Notch1 (equivalent to Val1744 in mouse Notch1).

    Background

    Notch proteins (Notch1-4) are a family of transmembrane receptors that play important roles in development and the determination of cell fate (1). Mature Notch receptors are processed and assembled as heterodimeric proteins, with each dimer composed of a large extracellular ligand-binding domain, a single-pass transmembrane domain, and a smaller cytoplasmic subunit (Notch intracellular domain, NICD) (2). Binding of Notch receptors to ligands of the Delta-Serrate-Lag2 (DSL) family triggers heterodimer dissociation, exposing the receptors to proteolytic cleavages; these result in release of the NICD, which translocates to the nucleus and activates transcription of downstream target genes (3,4).

    The NICD of murine Notch1 is released (activated) by cleavage between Gly1743 and Val1744 (corresponding to Gly1753/Val1754 in human Notch1) (3, 4). Mutations that result in constitutive activation of Notch1 are associated with many different cancers, including a majority of cases of T cell acute lymphoblastic leukemia (T-ALL). Activation may be due to mutations in Notch1 itself, or in components of the ubiquitin ligase complex that negatively regulates the Notch signaling pathway (5-6).

    Alternate Names

    AOS5; AOVD1; hN1; Neurogenic locus notch homolog protein 1; NEXT; NICD; NOTC1; Notch 1; Notch 1 extracellular truncation; Notch 1 intracellular domain; Notch homolog 1, translocation-associated; Notch homolog 1, translocation-associated (Drosophila); notch receptor 1; NOTCH1; TAN1; Translocation-associated notch protein TAN-1

    For Research Use Only. Not for Use in Diagnostic Procedures.
    Cell Signaling Technology is a trademark of Cell Signaling Technology, Inc.
    All other trademarks are the property of their respective owners. Visit our Trademark Information page.