Cell Signaling Technology Logo - Extra Large
Recombinant Flag
Recombinant: Superior lot-to-lot consistency, continuous supply, and animal-free manufacturing.

Cleaved PARP (Asp214) (D64E10) Rabbit Monoclonal Antibody (BSA and Azide Free) #95696

Filter:
  • WB
  • IHC
  • IF
  • F
  • ELISA+

    Product Specifications

    REACTIVITY H M Mk
    SENSITIVITY Endogenous
    MW (kDa) 89
    Source/Isotype Rabbit IgG
    Application Key:
    • WB-Western Blotting 
    • IHC-Immunohistochemistry 
    • IF-Immunofluorescence 
    • F-Flow Cytometry 
    • ELISA+-ELISA and/or ELISA-like Assays 
    Species Cross-Reactivity Key:
    • H-Human 
    • M-Mouse 
    • Mk-Monkey 

    Product Information

    Product Usage Information

    This product is the carrier free version of product #5625. All data were generated using the same antibody clone in the standard formulation which contains BSA and glycerol. This formulation is ideal for use with technologies requiring specialized or custom antibody labeling, including fluorophores, metals, lanthanides, and oligonucleotides. It is not recommended for ChIP, ChIP-seq, CUT&RUN, or CUT&Tag assays. If you require a carrier free formulation for chromatin profiling, please contact us. Optimal dilutions/concentrations should be determined by the end user.

    BSA and Azide Free antibodies are quality control tested by size exclusion chromatography (SEC) to determine antibody integrity.

    Formulation

    Supplied in 1X PBS (10 mM Na2HPO4, 3 mM KCl, 2 mM KH2PO4, and 140 mM NaCl (pH 7.8)). BSA and Azide Free.

    For standard formulation of this product see product #5625.

    Storage

    Store at -20°C. This product will freeze at -20°C so it is recommended to aliquot into single-use vials to avoid multiple freeze/thaw cycles. A slight precipitate may be present and can be dissolved by gently vortexing. This will not interfere with antibody performance.

    Specificity / Sensitivity

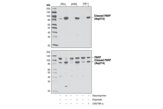
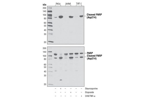
    Cleaved PARP (Asp214) (D64E10) Rabbit Monoclonal Antibody (BSA and Azide Free) detects endogenous levels of the large fragment (89 kDa) of human PARP1 protein produced by caspase cleavage. This antibody does not recognize full-length PARP1 or other PARP isoforms. Mouse cross-reactivity is determined by western blot and immunofluorescence. Cytoplasmic background may be observed by immunofluorescence in mouse samples.

    Species Reactivity:

    Human, Mouse, Monkey

    Source / Purification

    Monoclonal antibodies are produced by immunizing animals with a synthetic peptide corresponding to residues surrounding Asp214 in human PARP.

    Background

    PARP, a 116 kDa nuclear poly (ADP-ribose) polymerase, appears to be involved in DNA repair in response to environmental stress (1). This protein can be cleaved by many ICE-like caspases in vitro (2,3) and is one of the main cleavage targets of caspase-3 in vivo (4,5). In human PARP, the cleavage occurs between Asp214 and Gly215, which separates the PARP amino-terminal DNA-binding domain (24 kDa) from the carboxy-terminal catalytic domain (89 kDa) (2,4). PARP helps cells to maintain their viability; cleavage of PARP facilitates cellular disassembly and serves as a marker of cells undergoing apoptosis (6).

    Alternate Names

    ADP-ribosyltransferase (NAD+); ADP-ribosyltransferase diphtheria toxin-like 1; ADP-ribosyltransferase NAD(+); ADPRT; ADPRT 1; ADPRT1; ARTD1; DNA ADP-ribosyltransferase PARP1; NAD(+) ADP-ribosyltransferase 1; pADPRT-1; PARP; PARP-1; PARP1; poly (ADP-ribose) polymerase; poly (ADP-ribose) polymerase 1; poly (ADP-ribose) polymerase family, member 1; Poly [ADP-ribose] polymerase 1; poly(ADP-ribose) polymerase; poly(ADP-ribose) polymerase 1; poly(ADP-ribose) synthetase; poly(ADP-ribosyl)transferase; Poly[ADP-ribose] synthase 1; PPOL; Protein poly-ADP-ribosyltransferase PARP1

    For Research Use Only. Not for Use in Diagnostic Procedures.
    Cell Signaling Technology is a trademark of Cell Signaling Technology, Inc.
    SignalStain is a registered trademark of Cell Signaling Technology, Inc.
    All other trademarks are the property of their respective owners. Visit our Trademark Information page.