Render Target: STATIC
Render Timestamp:
5/22/2026, 6:10:21 AM EDT
5/22/2026, 10:10:21 AM UTC
Commit: 7ed46ecc04b401f23a28df741b5078df405d23e4
XML generation date: 2026-04-16 14:46:29.163
Product last modified at: 2026-03-20T08:04:40.287Z
Cell Signaling Technology Logo - Extra Large
1% for the planet logo
PDP - Template Name: Monoclonal Antibody
PDP - Template ID: *******c5e4b77
Trial Size Available Flag
Recombinant Flag
Recombinant: Superior lot-to-lot consistency, continuous supply, and animal-free manufacturing.

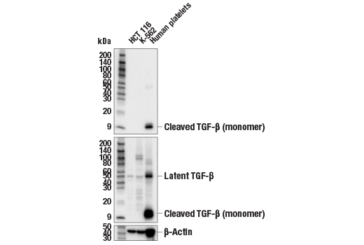
Cleaved TGF-beta1 (Ala279)/TGF-beta3 (Ala301) (E5L1D) Rabbit Monoclonal Antibody #70667

Filter:
  • WB

    Product Specifications

    REACTIVITY H
    SENSITIVITY Endogenous
    MW (kDa) 12
    Source/Isotype Rabbit IgG
    Application Key:
    • WB-Western Blotting 
    Species Cross-Reactivity Key:
    • H-Human 

    Product Information

    Product Usage Information

    Application Dilution
    Western Blotting 1:1000

    Storage

    Supplied in 10 mM sodium HEPES (pH 7.5), 150 mM NaCl, 100 µg/mL BSA, 50% glycerol, and less than 0.02% sodium azide. Store at –20°C. Do not aliquot the antibody.

    Protocol

    Specificity / Sensitivity

    Cleaved TGF-beta1 (Ala279)/TGF-beta3 (Ala301) (E5L1D) Rabbit Monoclonal Antibody recognizes endogenous levels of TGF-β1 and TGF-β3 proteins only when cleaved at Ala279 and Ala301, respectively. This antibody does not cross-react with full-length TGF-β1, TGF-β2, or TGF-β3, nor does it react with cleaved TGF-β2. Upper bands present in human platelet and K-562 lanes are non-specific.

    Species Reactivity:

    Human

    The antigen sequence used to produce this antibody shares 100% sequence homology with the species listed here, but reactivity has not been tested or confirmed to work by CST. Use of this product with these species is not covered under our Product Performance Guarantee.

    Species predicted to react based on 100% sequence homology:

    Mouse, Rat

    Source / Purification

    Monoclonal antibody is produced by immunizing animals with a synthetic peptide corresponding to residues adjacent to Ala279 and Ala301 of human TGF-β1 and TGF-β3 proteins, respectively.

    Background

    Transforming growth factor-β (TGF-β) proteins belong to the TGF-β superfamily of cytokines that play a critical role in regulating cell proliferation and differentiation, developmental patterning and morphogenesis, and disease pathogenesis (1-3). TGF-β ligands elicit signaling through three cell surface receptors: type I (RI), type II (RII), and type III (RIII) TGF-β receptors. Type I and type II receptors are serine/threonine kinases that form a heteromeric complex following ligand binding to the type II receptor. In response to ligand binding, the type II receptors form a stable complex with the type I receptors, triggering phosphorylation and activation of the type I receptor (4). This results in the recruitment of receptor-mediated SMADs (SMAD2, SMAD3), which are phosphorylated by the type I kinase in an SSXS domain in the C-terminus. This leads to recruitment of the co-SMAD (SMAD4), and subsequent translocation of this heteromeric SMAD complex to the nucleus, where it regulates transcription of target genes (5-7). The type III receptor, also known as betaglycan, is a transmembrane proteoglycan with a large extracellular domain that binds TGF-β with high affinity but lacks a cytoplasmic signaling domain. Expression of the type III receptor can regulate TGF-β signaling through presentation of the ligand to the signaling complex (8).

    There are three TGF-β family members, designated TGF-β1, TGF-β2, and TGF-β3, which are encoded by distinct genes and are expressed in a tissue-specific manner (10). TGF-β proteins are synthesized as precursor proteins that are cleaved and reassembled in association with other proteins to form latent complexes. Activation occurs by proteolytic release of TGF-β monomers, which dimerize to form the mature TGF-β ligands.

    Alternate Names

    ARVD; ARVD1; BSC-1 cell growth inhibitor; CED; Cetermin; DPD1; FLJ16571; G-TSF; Glioblastoma-derived T-cell suppressor factor; IBDIMDE; LAP; Latency-associated peptide; LDS4; LDS5; MGC116892; Polyergin; prepro-transforming growth factor beta-1; prepro-transforming growth factor beta-2; prepro-transforming growth factor beta-3; RNHF; TGF beta; TGF-beta 1 protein; TGF-beta-1; TGF-beta-2; TGF-beta-3; TGF-beta1; TGF-beta2; TGF-beta3; TGFB; TGFB1; TGFB2; TGFB3; TGFbeta; transforming growth factor beta 1; transforming growth factor beta 2; transforming growth factor beta 3; Transforming growth factor beta-1; Transforming growth factor beta-1 proprotein; Transforming growth factor beta-2; Transforming growth factor beta-2 proprotein; Transforming growth factor beta-3; Transforming growth factor beta-3 proprotein; transforming growth factor beta1; transforming growth factor, beta 1; transforming growth factor, beta 2; transforming growth factor, beta 3

    For Research Use Only. Not for Use in Diagnostic Procedures.
    Cell Signaling Technology is a trademark of Cell Signaling Technology, Inc.
    All other trademarks are the property of their respective owners. Visit our Trademark Information page.