COL11A1 (E6O7R) Rabbit Monoclonal Antibody #70458
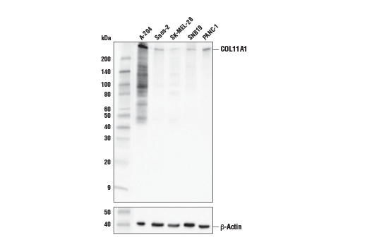
- WB
Product Specifications
| REACTIVITY | H |
| SENSITIVITY | Endogenous |
| MW (kDa) | 250 |
| Source/Isotype | Rabbit IgG |
Application Key:
- WB-Western Blotting
Species Cross-Reactivity Key:
- H-Human
Product Information
Product Usage Information
| Application | Dilution |
|---|---|
| Western Blotting | 1:1000 |
Storage
Protocol
Specificity / Sensitivity
Species Reactivity:
Source / Purification
Background
Collagen11A1 (COL11A1) is a minor fibrillar collagen that is not normally expressed at high levels in most normal tissues with the exception of cartilage, where it is expressed in high levels, and some other tissues/ organs, where it is expressed at a lower level (4). However, it has been reported that the expression of this molecule is correlated with advanced tumorigenic disease through meta analysis of data from multiple cancers, including ovarian, colon, breast, and lung (5). Additionally, it has also been associated with epithelial-mesenchymal transition (EMT) and metastasis (6,7). Cancer associated fibroblasts (CAFs) are typically the most abundant cell type in the stroma of many solid tumors. They are thought to contribute to ECM stiffness, which is ultimately thought to contribute to tumor growth and resistance to chemotherapeutic intervention. COL11A1 has been found to be elevated in CAFs and may contribute to chemotherapy resistance (8).
- Barkan, D. et al. (2010) Eur J Cancer 46, 1181-8.
- Hynes, R.O. (2009) Science 326, 1216-9.
- Ricard-Blum, S. (2011) Cold Spring Harb Perspect Biol 3, a004978.
- Yoshioka, H. et al. (1995) Dev Dyn 204, 41-7.
- Kim, H. et al. (2010) BMC Med Genomics 3, 51.
- Cheon, D.J. et al. (2014) Clin Cancer Res 20, 711-23.
- Fuentes-Martínez, N. et al. (2015) Histol Histopathol 30, 87-93.
- Sok, J.C. et al. (2013) Br J Cancer 109, 3049-56.
Alternate Names
CO11A1; COBA1; COL11A1; COLL6; Collagen alpha-1(XI) chain; collagen type XI alpha 1 chain; collagen XI, alpha-1 polypeptide; collagen, type XI, alpha 1; deafness, autosomal dominant 37; DFNA37; STL2
Limited Uses
Except as otherwise expressly agreed in a writing signed by a legally authorized representative of CST, the following terms apply to Products provided by CST, its affiliates or its distributors. Any Customer's terms and conditions that are in addition to, or different from, those contained herein, unless separately accepted in writing by a legally authorized representative of CST, are rejected and are of no force or effect.
Products are labeled with For Research Use Only or a similar labeling statement and have not been approved, cleared, or licensed by the FDA or other regulatory foreign or domestic entity, for any purpose. Customer shall not use any Product for any diagnostic or therapeutic purpose, or otherwise in any manner that conflicts with its labeling statement. Products sold or licensed by CST are provided for Customer as the end-user and solely for research and development uses. Any use of Product for diagnostic, prophylactic or therapeutic purposes, or any purchase of Product for resale (alone or as a component) or other commercial purpose, requires a separate license from CST. Customer shall (a) not sell, license, loan, donate or otherwise transfer or make available any Product to any third party, whether alone or in combination with other materials, or use the Products to manufacture any commercial products, (b) not copy, modify, reverse engineer, decompile, disassemble or otherwise attempt to discover the underlying structure or technology of the Products, or use the Products for the purpose of developing any products or services that would compete with CST products or services, (c) not alter or remove from the Products any trademarks, trade names, logos, patent or copyright notices or markings, (d) use the Products solely in accordance with CST Product Terms of Sale and any applicable documentation, and (e) comply with any license, terms of service or similar agreement with respect to any third party products or services used by Customer in connection with the Products.