Contactin-2 (D4M7G) Rabbit Monoclonal Antibody #26372
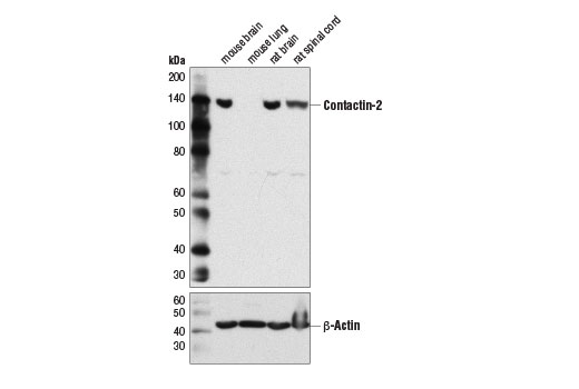
- WB
Product Specifications
| REACTIVITY | M R |
| SENSITIVITY | Endogenous |
| MW (kDa) | 130 |
| Source/Isotype | Rabbit IgG |
Application Key:
- WB-Western Blotting
Species Cross-Reactivity Key:
- M-Mouse
- R-Rat
Product Information
Product Usage Information
| Application | Dilution |
|---|---|
| Western Blotting | 1:1000 |
Storage
Protocol
Specificity / Sensitivity
Species Reactivity:
The antigen sequence used to produce this antibody shares 100% sequence homology with the species listed here, but reactivity has not been tested or confirmed to work by CST. Use of this product with these species is not covered under our Product Performance Guarantee.
Species predicted to react based on 100% sequence homology:
Source / Purification
Background
Contactin-2 (CNTN2, TAG-1) is a glycosyl-phosphatidyl-inositol-anchored cell adhesion protein that is expressed at the juxtaparanodal region of the nodes of Ranvier by oligodendrocytes, Schwann cells, and axons (9,10). Contactin-2 plays an important role in the proper organization of the juxtaparanodes through interaction with Caspr2 and the recruitment of the Kv1.1 and Kv1.2 potassium channel subunits (11). Research studies indicate that contactin-2 is a substrate of β-secretase 1 (12,13). A deletion mutation in the corresponding CNTN2 gene results in familial adult myoclonic epilepsy-5, which is characterized by seizures, involuntary myoclonic muscle twitches, and mild intellectual disability (14).
- Black, J.A. et al. (1990) Trends Neurosci 13, 48-54.
- Salzer, J.L. (1997) Neuron 18, 843-6.
- Waxman, S.G. et al. (1989) Proc Natl Acad Sci U S A 86, 1406-10.
- Ritchie, J.M. (1992) Trends Neurosci 15, 345-51.
- Berghs, S. et al. (2000) J Cell Biol 151, 985-1002.
- Zhou, D. et al. (1998) J Cell Biol 143, 1295-304.
- Davis, J.Q. et al. (1996) J Cell Biol 135, 1355-67.
- Ratcliffe, C.F. et al. (2001) J Cell Biol 154, 427-34.
- Traka, M. et al. (2002) J Neurosci 22, 3016-24.
- Girault, J.A. and Peles, E. (2002) Curr Opin Neurobiol 12, 476-85.
- Traka, M. et al. (2003) J Cell Biol 162, 1161-72.
- Kuhn, P.H. et al. (2012) EMBO J 31, 3157-68.
- Gautam, V. et al. (2014) Mol Neurodegener 9, 4.
- Stogmann, E. et al. (2013) Brain 136, 1155-60.
Alternate Names
Axonal glycoprotein TAG-1; Axonin-1; axonin-1 cell adhesion molecule; AXT; CNTN2; contactin 2; contactin 2 (axonal); contactin 2 (transiently expressed); Contactin-2; DKFZp781D102; FAME5; FLJ42746; MGC157722; TAG-1; TAG1; TAX; TAX-1; TAX1; Transient axonal glycoprotein 1; transiently-expressed axonal glycoprotein
Limited Uses
Except as otherwise expressly agreed in a writing signed by a legally authorized representative of CST, the following terms apply to Products provided by CST, its affiliates or its distributors. Any Customer's terms and conditions that are in addition to, or different from, those contained herein, unless separately accepted in writing by a legally authorized representative of CST, are rejected and are of no force or effect.
Products are labeled with For Research Use Only or a similar labeling statement and have not been approved, cleared, or licensed by the FDA or other regulatory foreign or domestic entity, for any purpose. Customer shall not use any Product for any diagnostic or therapeutic purpose, or otherwise in any manner that conflicts with its labeling statement. Products sold or licensed by CST are provided for Customer as the end-user and solely for research and development uses. Any use of Product for diagnostic, prophylactic or therapeutic purposes, or any purchase of Product for resale (alone or as a component) or other commercial purpose, requires a separate license from CST. Customer shall (a) not sell, license, loan, donate or otherwise transfer or make available any Product to any third party, whether alone or in combination with other materials, or use the Products to manufacture any commercial products, (b) not copy, modify, reverse engineer, decompile, disassemble or otherwise attempt to discover the underlying structure or technology of the Products, or use the Products for the purpose of developing any products or services that would compete with CST products or services, (c) not alter or remove from the Products any trademarks, trade names, logos, patent or copyright notices or markings, (d) use the Products solely in accordance with CST Product Terms of Sale and any applicable documentation, and (e) comply with any license, terms of service or similar agreement with respect to any third party products or services used by Customer in connection with the Products.