COPS5 (D15G6) Rabbit Monoclonal Antibody #9444
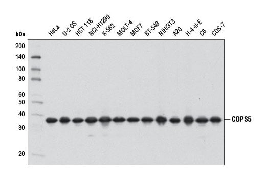
- WB
- IP
Product Specifications
| REACTIVITY | H M R Mk |
| SENSITIVITY | Endogenous |
| MW (kDa) | 37 |
| Source/Isotype | Rabbit IgG |
Application Key:
- WB-Western Blotting
- IP-Immunoprecipitation
Species Cross-Reactivity Key:
- H-Human
- M-Mouse
- R-Rat
- Mk-Monkey
Product Information
Product Usage Information
| Application | Dilution |
|---|---|
| Western Blotting | 1:1000 |
| Immunoprecipitation | 1:100 |
Storage
Protocol
Specificity / Sensitivity
Species Reactivity:
The antigen sequence used to produce this antibody shares 100% sequence homology with the species listed here, but reactivity has not been tested or confirmed to work by CST. Use of this product with these species is not covered under our Product Performance Guarantee.
Species predicted to react based on 100% sequence homology:
Source / Purification
Background
COPS5/CSN5/Jab1 (c-Jun activation domain-binding protein-1) was originally identified as a transcriptional coactivator of c-Jun and subsequently discovered to be a fifth component and integral part of the CSN (6). As the catalytic center of the CSN, COPS5 is able to integrate multiple functions of the CSN complex such as cell-cycle control, transcription, and DNA-damage response by regulating the activity of CRLs through deneddylation of cullins (7). Indeed, COPS5 harbors an Mpr1-Pad1-N-terminal (MPN) domain with an embedded Jab1/CSN5 MPN domain metalloenzyme (JAMM) motif that is essential for the CSN isopeptidase activity responsible for deneddylation of CRLs. COPS5 is an evolutionarily conserved 38 kDa protein in humans, mice, fission yeast, and plants, which suggests that it is critical to cell survival and proliferation. A role for COPS5 as a positive regulator of cellular proliferation is supported by evidence that it functionally inactivates several key tumor suppressors, such as p53, RUNX3, Smad4, and p27 Kip1 through altered subcellular localization, degradation, and deneddylation (8-12). These findings are underscored by the observation that COPS5 overexpression has been identified in a number of different tumor types and has been implicated in the initiation and progression of several types of cancer (13). Moreover, COPS5-deficient mice display an embryonically lethal phenotype highlighted by elevated expression of COPS5 targets, such as p53 and p27 (14,15).
- Wei, N. and Deng, X.W. (2003) Annu Rev Cell Dev Biol 19, 261-86.
- Kwok, S.F. et al. (1996) Plant Physiol 110, 731-42.
- Wei, N. et al. (1994) Cell 78, 117-24.
- Chamovitz, D.A. et al. (1996) Cell 86, 115-21.
- Cope, G.A. and Deshaies, R.J. (2003) Cell 114, 663-71.
- Claret, F.X. et al. (1996) Nature 383, 453-7.
- Wei, N. et al. (2008) Trends Biochem Sci 33, 592-600.
- Bech-Otschir, D. et al. (2001) EMBO J 20, 1630-9.
- Oh, W. et al. (2006) J Biol Chem 281, 17457-65.
- Wan, M. et al. (2002) EMBO Rep 3, 171-6.
- Tomoda, K. et al. (2002) J Biol Chem 277, 2302-10.
- Kim, J.H. et al. (2009) J Cell Biochem 107, 557-65.
- Shackleford, T.J. and Claret, F.X. (2010) Cell Div 5, 26.
- Tian, L. et al. (2010) Oncogene 29, 6125-37.
- Tomoda, K. et al. (2004) J Biol Chem 279, 43013-8.
Alternate Names
38 kDa Mov34 homolog; COP9 constitutive photomorphogenic homolog subunit 5; COP9 constitutive photomorphogenic homolog subunit 5 (Arabidopsis); COP9 signalosome complex subunit 5; COP9 signalosome subunit 5; COPS5; CSN5; JAB1; Jun activation domain-binding protein 1; MGC3149; MOV-34; SGN5; Signalosome subunit 5; testis secretory sperm-binding protein Li 231m
Limited Uses
Except as otherwise expressly agreed in a writing signed by a legally authorized representative of CST, the following terms apply to Products provided by CST, its affiliates or its distributors. Any Customer's terms and conditions that are in addition to, or different from, those contained herein, unless separately accepted in writing by a legally authorized representative of CST, are rejected and are of no force or effect.
Products are labeled with For Research Use Only or a similar labeling statement and have not been approved, cleared, or licensed by the FDA or other regulatory foreign or domestic entity, for any purpose. Customer shall not use any Product for any diagnostic or therapeutic purpose, or otherwise in any manner that conflicts with its labeling statement. Products sold or licensed by CST are provided for Customer as the end-user and solely for research and development uses. Any use of Product for diagnostic, prophylactic or therapeutic purposes, or any purchase of Product for resale (alone or as a component) or other commercial purpose, requires a separate license from CST. Customer shall (a) not sell, license, loan, donate or otherwise transfer or make available any Product to any third party, whether alone or in combination with other materials, or use the Products to manufacture any commercial products, (b) not copy, modify, reverse engineer, decompile, disassemble or otherwise attempt to discover the underlying structure or technology of the Products, or use the Products for the purpose of developing any products or services that would compete with CST products or services, (c) not alter or remove from the Products any trademarks, trade names, logos, patent or copyright notices or markings, (d) use the Products solely in accordance with CST Product Terms of Sale and any applicable documentation, and (e) comply with any license, terms of service or similar agreement with respect to any third party products or services used by Customer in connection with the Products.