Cell Signaling Technology Logo - Extra Large
Trial Size Available Flag
Recombinant Flag
Recombinant: Superior lot-to-lot consistency, continuous supply, and animal-free manufacturing.

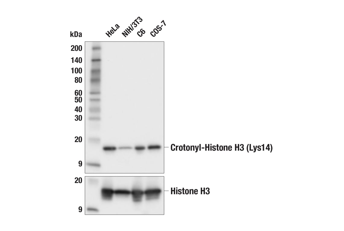
Crotonyl-Histone H3 (Lys14) (E9X3B) Rabbit Monoclonal Antibody #27613

Filter:
  • WB
  • ChIP

    Product Specifications

    REACTIVITY H M R Mk
    SENSITIVITY Endogenous
    MW (kDa) 17
    Source/Isotype Rabbit IgG
    Application Key:
    • WB-Western Blotting 
    • ChIP-Chromatin Immunoprecipitation 
    Species Cross-Reactivity Key:
    • H-Human 
    • M-Mouse 
    • R-Rat 
    • Mk-Monkey 

    Product Information

    Product Usage Information

    For optimal ChIP results, use 5 μL of antibody and 10 μg of chromatin (approximately 4 × 106 cells) per IP. This antibody has been validated using SimpleChIP® Enzymatic Chromatin IP Kits.
    Application Dilution
    Western Blotting 1:1000
    Chromatin IP 1:100

    Storage

    Supplied in 10 mM sodium HEPES (pH 7.5), 150 mM NaCl, 100 µg/mL BSA, 50% glycerol, and less than 0.02% sodium azide. Store at –20°C. Do not aliquot the antibody.

    Protocol

    Specificity / Sensitivity

    Crotonyl-Histone H3 (Lys14) (E9X3B) Rabbit Monoclonal Antibody recognizes endogenous levels of histone H3 protein only when crotonylated on Lys14. This antibody does not cross-react with non-crotonylated, acetylated, propionylated, or butyrylated Lys14. This antibody shows some cross-reactivity with histone H3 that is butyrylated on Lys14, crotonylated on Lys23, and cross-reactivity with histone H2B that is crotonylated on Lys20.

    Species Reactivity:

    Human, Mouse, Rat, Monkey

    Source / Purification

    Monoclonal antibody is produced by immunizing animals with a synthetic peptide corresponding to residues surrounding crotonylated Lys14 of human histone H3 protein.

    Background

    The nucleosome, made up of four core histone proteins (H2A, H2B, H3, and H4), is the primary building block of chromatin. Originally thought to function as a static scaffold for DNA packaging, histones have now been shown to be dynamic proteins, undergoing multiple types of post-translational modifications, including acetylation, phosphorylation, methylation, and ubiquitination (1,2). Histone crotonylation is an evolutionarily conserved process that is correlated with the amount of available cellular crotonyl-CoA. The addition of crotonyl groups is facilitated by CBP, p300, as well as the conserved MOF enzyme (3,4). Crotonylation is generally found at actively transcribed gene promoters, and has been uniquely implicated in male germ cell gene expression (3,5). While structurally similar to acetyl groups, crotonyl groups are not read by bromodomains, and are instead read by YEATS and DPF domains (6-8). Key chromatin regulators have been shown to have great affinity to crotonyl marks, including MYST3 and DPF2, a member of the BAF chromatin remodeling complex (9). Much like acetylation, crotonylation is dynamically regulated, and class I deacetylases HDAC1/2/3 have been shown to be capable of decrotonylation (10,11). Furthermore, crotonylation can be negatively regulated by CDYL, which can convert crotonyl-CoA to β-hydroxybutyryl-CoA (12). Crotonylation has been linked to metabolic state, as limited energy sources cause a global reduction in H3K9 acetylation and an increase in H3K9 crotonylation (13). While crotonylation is generally found at active genes, H3K27cr is recognized by GAS41 along with the SIN3A-HDAC1 corepressive complex and is associated with a gene repression program distinct from H3K27 trimethylation (14).

    Alternate Names

    H3; H3 clustered histone 1; H3 histone family, member A; H3/A; H31; H3C1; H3C10; H3C11; H3C12; H3C2; H3C3; H3C4; H3C6; H3C7; H3C8; H3FA; H3FB; H3FC; H3FC HIST1H3C; H3FD; H3FF; H3FH; H3FI; H3FJ; H3FK; H3FL; HIST1H3A; HIST1H3B; HIST1H3C; HIST1H3D; HIST1H3E; HIST1H3F; HIST1H3G; HIST1H3H; HIST1H3I; HIST1H3J; histone 1, H3a; histone cluster 1 H3 family member a; histone cluster 1, H3a; Histone H3; Histone H3.1; Histone H3/a; Histone H3/b; Histone H3/c; Histone H3/d; Histone H3/f; Histone H3/h; Histone H3/i; Histone H3/j; Histone H3/k; Histone H3/l

    For Research Use Only. Not for Use in Diagnostic Procedures.
    Cell Signaling Technology is a trademark of Cell Signaling Technology, Inc.
    All other trademarks are the property of their respective owners. Visit our Trademark Information page.