Render Target: STATIC
Render Timestamp:
5/29/2026, 6:13:08 AM EDT
5/29/2026, 10:13:08 AM UTC
Commit: 7ed46ecc04b401f23a28df741b5078df405d23e4
XML generation date: 2026-05-13 14:21:44.202
Product last modified at: 2026-05-14T07:00:54.900Z
Cell Signaling Technology Logo - Extra Large
1% for the planet logo
PDP - Template Name: Monoclonal Antibody
PDP - Template ID: *******c5e4b77
Recombinant Flag
Recombinant: Superior lot-to-lot consistency, continuous supply, and animal-free manufacturing.

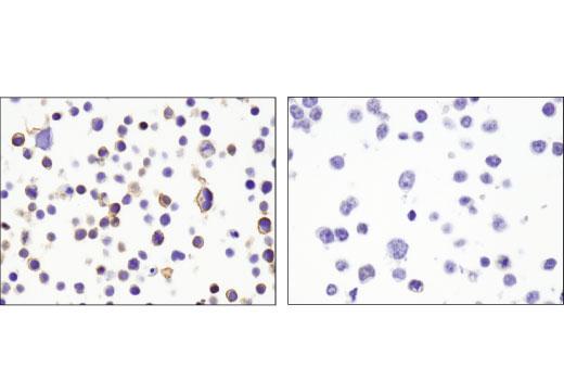
CXCR4 (D4Z7W) Rabbit Monoclonal Antibody (BSA and Azide Free) #90927

Filter:
  • IHC

    Product Specifications

    REACTIVITY H
    SENSITIVITY Endogenous
    MW (kDa)
    Source/Isotype Rabbit IgG
    Application Key:
    • IHC-Immunohistochemistry 
    Species Cross-Reactivity Key:
    • H-Human 

    Product Information

    Product Usage Information

    This product is the carrier-free version of product #97680. All data were generated using the same antibody clone in the standard formulation which contains BSA and glycerol. This formulation is ideal for use with technologies requiring specialized or custom antibody labeling, including fluorophores, metals, lanthanides, and oligonucleotides. It is not recommended for ChIP, ChIP-seq, CUT&RUN, or CUT&Tag assays. If you require a carrier-free formulation for chromatin profiling, please contact us. Optimal dilutions/concentrations should be determined by the end user.

    BSA and Azide Free antibodies are quality control tested by size exclusion chromatography (SEC) to determine antibody integrity.

    Formulation

    Supplied in 1X PBS (10 mM Na2HPO4, 3 mM KCl, 2 mM KH2PO4, and 140 mM NaCl (pH 7.8)). BSA and Azide Free.

    For standard formulation of this product see product #97680.

    Storage

    Store at -20°C. This product will freeze at -20°C so it is recommended to aliquot into single-use vials to avoid multiple freeze/thaw cycles. A slight precipitate may be present and can be dissolved by gently vortexing. This will not interfere with antibody performance.

    Specificity / Sensitivity

    CXCR4 (D4Z7W) Rabbit Monoclonal Antibody (BSA and Azide Free) recognizes endogenous levels of total CXCR4 protein. Non-specific staining was observed in cardiac and skeletal muscle by immunohistochemistry.

    Species Reactivity:

    Human

    Source / Purification

    Monoclonal antibody is produced by immunizing animals with recombinant protein specific to the extracellular domains of human CXCR4 protein.

    Background

    CXCR4 is a chemokine receptor that belongs to the G protein-coupled receptor family. It is activated by a small cytokine, CXCL12, also known as stromal cell derived factor 1 (SDF-1) (1). The main function of CXCR4 is the mediation of the homing of progenitor cells in the bone marrow and their recruitment to sites of injury (2). More recently, CXCR4 has been studied, as a potential therapeutic target, in the context of autoimmune diseases (3) as well as cancer, as the receptor is involved in the regulation of migration, proliferation, and survival of cancer cells (4).

    Alternate Names

    C-X-C chemokine receptor type 4; C-X-C motif chemokine receptor 4; CD184; CD184 antigen; chemokine (C-X-C motif) receptor 4; CXC-R4; CXCR-4; CXCR4; D2S201E; FB22; Fusin; HM89; HSY3RR; LAP-3; LAP3; LCR1; LESTR; Leukocyte-derived seven transmembrane domain receptor; leukocyte-derived seven-transmembrane-domain receptor; lipopolysaccharide-associated protein 3; LPS-associated protein 3; neuropeptide Y receptor Y3; neuropeptide Y3 receptor; NPY3R; NPYR; NPYRL; NPYY3R; SDF-1 receptor; seven transmembrane helix receptor; seven-transmembrane-segment receptor, spleen; Stromal cell-derived factor 1 receptor; WHIM; WHIMS

    For Research Use Only. Not for Use in Diagnostic Procedures.
    Cell Signaling Technology is a trademark of Cell Signaling Technology, Inc.
    All other trademarks are the property of their respective owners. Visit our Trademark Information page.