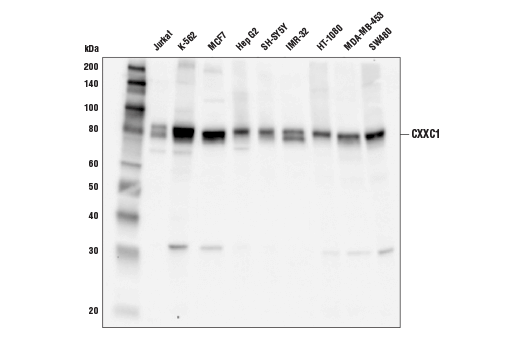
CXXC1 (D1R5R) Rabbit Monoclonal Antibody #40672
- WB
- IP
- ChIP
- C&R
- C&T
Product Specifications
| REACTIVITY | H |
| SENSITIVITY | Endogenous |
| MW (kDa) | 82 |
| Source/Isotype | Rabbit IgG |
Application Key:
- WB-Western Blotting
- IP-Immunoprecipitation
- ChIP-Chromatin Immunoprecipitation
- C&R-CUT & RUN
- C&T-CUT & Tag
Species Cross-Reactivity Key:
- H-Human
Product Information
Product Usage Information
For optimal ChIP results, use 5 μl of antibody and 10 μg of chromatin (approximately 4 x 106 cells) per IP. This antibody has been validated using SimpleChIP® Enzymatic Chromatin IP Kits.
The CUT&RUN dilution was determined using CUT&RUN Assay Kit #86652.
The CUT&Tag dilution was determined using CUT&Tag Assay Kit #77552.
| Application | Dilution |
|---|---|
| Western Blotting | 1:1000 |
| Immunoprecipitation | 1:100 |
| Chromatin IP | 1:100 |
| CUT&RUN | 1:100 |
| CUT&Tag | 1:100 |
Storage
Protocol
Specificity / Sensitivity
Species Reactivity:
Source / Purification
Background
- Xu, C. et al. (2011) Nat Commun 2, 227.
- Lee, J.H. and Skalnik, D.G. (2005) J Biol Chem 280, 41725-31.
- Miller, T. et al. (2001) Proc Natl Acad Sci U S A 98, 12902-7.
- Clouaire, T. et al. (2012) Genes Dev 26, 1714-28.
- Thomson, J.P. et al. (2010) Nature 464, 1082-6.
- Carlone, D.L. et al. (2005) Mol Cell Biol 25, 4881-91.
- Tate, C.M. et al. (2009) Mol Cell Biol 29, 3817-31.
- Young, S.R. et al. (2006) J Biol Chem 281, 37034-44.
- Butler, J.S. et al. (2008) DNA Cell Biol 27, 533-43.
Alternate Names
2410002I16Rik; 5830420C16Rik; CFP1; CGBP; CpG binding protein; CpG-binding protein; CXXC finger 1 (PHD domain); CXXC finger protein 1; CXXC-type zinc finger protein 1; CXXC1; DNA-binding protein with PHD finger and CXXC domain; hCGBP; HsT2645; PCCX1; PHD finger and CXXC domain-containing protein 1; PHF18; SPP1; ZCGPC1; zinc finger, CpG binding-type containing 1
Limited Uses
Except as otherwise expressly agreed in a writing signed by a legally authorized representative of CST, the following terms apply to Products provided by CST, its affiliates or its distributors. Any Customer's terms and conditions that are in addition to, or different from, those contained herein, unless separately accepted in writing by a legally authorized representative of CST, are rejected and are of no force or effect.
Products are labeled with For Research Use Only or a similar labeling statement and have not been approved, cleared, or licensed by the FDA or other regulatory foreign or domestic entity, for any purpose. Customer shall not use any Product for any diagnostic or therapeutic purpose, or otherwise in any manner that conflicts with its labeling statement. Products sold or licensed by CST are provided for Customer as the end-user and solely for research and development uses. Any use of Product for diagnostic, prophylactic or therapeutic purposes, or any purchase of Product for resale (alone or as a component) or other commercial purpose, requires a separate license from CST. Customer shall (a) not sell, license, loan, donate or otherwise transfer or make available any Product to any third party, whether alone or in combination with other materials, or use the Products to manufacture any commercial products, (b) not copy, modify, reverse engineer, decompile, disassemble or otherwise attempt to discover the underlying structure or technology of the Products, or use the Products for the purpose of developing any products or services that would compete with CST products or services, (c) not alter or remove from the Products any trademarks, trade names, logos, patent or copyright notices or markings, (d) use the Products solely in accordance with CST Product Terms of Sale and any applicable documentation, and (e) comply with any license, terms of service or similar agreement with respect to any third party products or services used by Customer in connection with the Products.