Cell Signaling Technology Logo - Extra Large
Trial Size Available Flag
Recombinant Flag
Recombinant: Superior lot-to-lot consistency, continuous supply, and animal-free manufacturing.

CXXC5 (D1O4P) Rabbit Monoclonal Antibody #84546

Filter:
  • WB
  • IP
  • IF

    Product Specifications

    REACTIVITY H M R Mk
    SENSITIVITY Endogenous
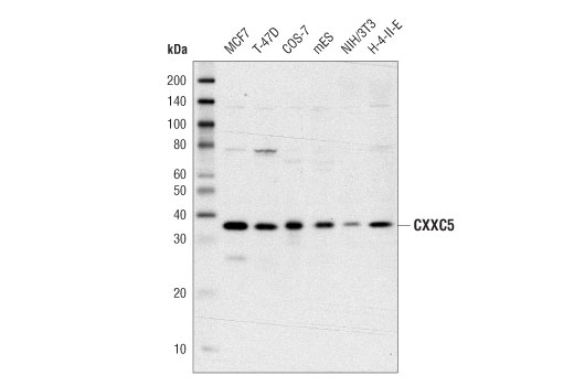
    MW (kDa) 33
    Source/Isotype Rabbit IgG
    Application Key:
    • WB-Western Blotting 
    • IP-Immunoprecipitation 
    • IF-Immunofluorescence 
    Species Cross-Reactivity Key:
    • H-Human 
    • M-Mouse 
    • R-Rat 
    • Mk-Monkey 

    Product Information

    Product Usage Information

    Application Dilution
    Western Blotting 1:1000
    Immunoprecipitation 1:100
    Immunofluorescence (Immunocytochemistry) 1:1000

    Storage

    Supplied in 10 mM sodium HEPES (pH 7.5), 150 mM NaCl, 100 µg/ml BSA, 50% glycerol and less than 0.02% sodium azide. Store at –20°C. Do not aliquot the antibody.

    Protocol

    Specificity / Sensitivity

    CXXC5 (D1O4P) Rabbit Monoclonal Antibody recognizes endogenous levels of total CXXC5 protein.

    Species Reactivity:

    Human, Mouse, Rat, Monkey

    The antigen sequence used to produce this antibody shares 100% sequence homology with the species listed here, but reactivity has not been tested or confirmed to work by CST. Use of this product with these species is not covered under our Product Performance Guarantee.

    Species predicted to react based on 100% sequence homology:

    Bovine, Pig

    Source / Purification

    Monoclonal antibody is produced by immunizing animals with a synthetic peptide corresponding to residues surrounding Leu172 of human CXXC5 protein.

    Background

    The CXXC-type zinc finger protein 5 (CXXC5) is a nuclear protein that regulates gene expression and is involved in the regulation of cell growth and differentiation, apoptosis, cell adhesion, and cytoskeletal organization. The CXXC5 protein is also known as retinoid-inducible nuclear factor (RINF) as it was originally identified from a set of genes upregulated by retinoic acid stimulation (1). CXXC5 is a transcriptional activator of the vascular endothelial growth factor receptor VEGFR2. The CXXC5 protein regulates differentiation and migration of endothelial cells and subsequent blood vessel formation downstream of bone morphogenic protein (BMP) signaling (2). CXXC5 also regulates TNFα-induced apoptosis by facilitating phosphorylation of Smad3 and the nuclear translocation of Smad4 (3). Expression of CXXC5 in skeletal muscle regulates expression of genes involved in skeletal myogenesis (4). This nuclear factor also plays an important role in the regulation of normal myelopoiesis. The CXXC5 gene is localized to the 5q31.2 chromosomal region that is often involved in abnormalities associated with various myeloid malignancies, and CXXC5 over-expression is associated with decreased overall survival in human AML (5). Interestingly, CXXC5 is also over-expressed in many solid tumors, and high expression is also correlated with poor prognosis in breast cancer (6).

    Alternate Names

    CF5; CXXC finger 5; CXXC finger 5 protein; CXXC finger protein 5; CXXC-type zinc finger protein 5; CXXC5; HSPC195; Putative MAPK-activating protein PM08; Putative NF-kappa-B-activating protein 102; Q7LFL8; retinoid-inducible nuclear factor; RINF; WID; WT1-induced Inhibitor of Dishevelled

    For Research Use Only. Not for Use in Diagnostic Procedures.
    Cell Signaling Technology is a trademark of Cell Signaling Technology, Inc.
    All other trademarks are the property of their respective owners. Visit our Trademark Information page.