Cell Signaling Technology Logo - Extra Large
Trial Size Available Flag
Recombinant Flag
Recombinant: Superior lot-to-lot consistency, continuous supply, and animal-free manufacturing.

DAF/CD55 (E7G2U) Rabbit Monoclonal Antibody #31759

Filter:
  • WB
  • IHC

    Product Specifications

    REACTIVITY H
    SENSITIVITY Endogenous
    MW (kDa) 78
    Source/Isotype Rabbit IgG
    Application Key:
    • WB-Western Blotting 
    • IHC-Immunohistochemistry 
    Species Cross-Reactivity Key:
    • H-Human 

    Product Information

    Product Usage Information

    Application Dilution
    Western Blotting 1:1000
    IHC Leica Bond 1:600
    Immunohistochemistry (Paraffin) 1:1200

    Storage

    Supplied in 10 mM sodium HEPES (pH 7.5), 150 mM NaCl, 100 µg/ml BSA, 50% glycerol and less than 0.02% sodium azide. Store at –20°C. Do not aliquot the antibody.

    For a carrier free (BSA and azide free) version of this product see product #89928.

    Protocol

    Specificity / Sensitivity

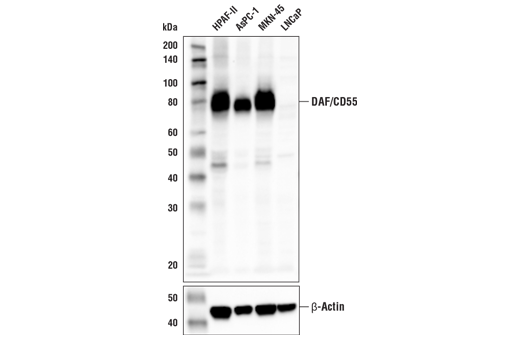
    DAF/CD55 (E7G2U) Rabbit Monoclonal Antibody recognizes endogenous levels of total DAF/CD55 protein.

    Species Reactivity:

    Human

    Source / Purification

    Monoclonal antibody is produced by immunizing animals with a synthetic peptide corresponding to residues surrounding Lys110 of human DAF/CD55 protein.

    Background

    Decay-accelerating factor (DAF/CD55) is a GPI-linked plasma membrane glycoprotein normally expressed on the surface of vascular endothelial and hematopoietic cells, which are continuously exposed to autologous complement components. In conjunction with other membrane complement regulatory proteins (CD35, CD46, and CD59), DAF/CD55 protects healthy cells from inappropriate complement-mediated lysis (1). DAF/CD55 inhibits activation of the complement cascade by promoting membrane dissociation and inactivation of C3 convertase, which inhibits amplification of the classical and alternative complement cascades (2). Research studies have demonstrated that DAF/CD55 is overexpressed in a variety of solid and liquid tumors, which functions to protect tumor cells from complement-mediated attack (3,4). Given its ability to disable the complement cascade and facilitate immune evasion by tumor cells, DAF/CD55 has received attention as a potential therapeutic target for the treatment of human malignancies. CD55 deficiency is also linked to human disease. The inability to express CD55 on the surface of erythrocytes renders them highly susceptible to complement-mediated lysis, which contributes to the development of paroxymal noctural hemoglobinuria (PNH). PNH is characterized by hemolytic anaemia, pancytopenia, and venous thrombosis (5).

    Alternate Names

    CD55; CD55 antigen; CD55 molecule (Cromer blood group); CD55 molecule, decay accelerating factor for complement (Cromer blood group); CHAPLE; Complement decay-accelerating factor; CR; CROM; Cromer blood group antigen; DAF; decay accelerating factor for complement; Rh blood group D antigen; TC

    For Research Use Only. Not for Use in Diagnostic Procedures.
    Cell Signaling Technology is a trademark of Cell Signaling Technology, Inc.
    SignalStain is a registered trademark of Cell Signaling Technology, Inc.
    All other trademarks are the property of their respective owners. Visit our Trademark Information page.