Cell Signaling Technology Logo - Extra Large
Trial Size Available Flag
Recombinant Flag
Recombinant: Superior lot-to-lot consistency, continuous supply, and animal-free manufacturing.

DAPP1/BAM32 (D9K4O) Rabbit Monoclonal Antibody #13598

Filter:
  • WB
  • IP

    Product Specifications

    REACTIVITY H M
    SENSITIVITY Endogenous
    MW (kDa) 28
    Source/Isotype Rabbit IgG
    Application Key:
    • WB-Western Blotting 
    • IP-Immunoprecipitation 
    Species Cross-Reactivity Key:
    • H-Human 
    • M-Mouse 

    Product Information

    Product Usage Information

    Application Dilution
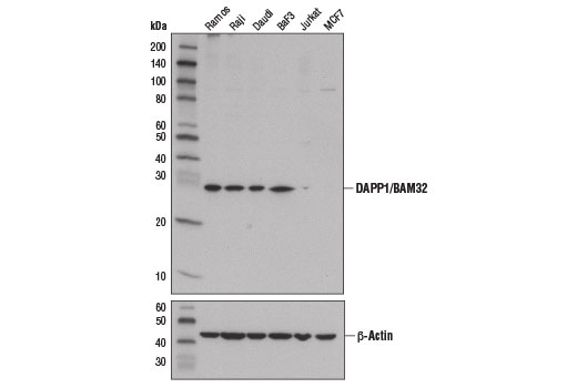
    Western Blotting 1:1000
    Simple Western™ 1:50 - 1:250
    Immunoprecipitation 1:200

    Storage

    Supplied in 10 mM sodium HEPES (pH 7.5), 150 mM NaCl, 100 µg/ml BSA, 50% glycerol and less than 0.02% sodium azide. Store at –20°C. Do not aliquot the antibody.

    Protocol

    Specificity / Sensitivity

    DAPP1/BAM32 (D9K4O) Rabbit Monoclonal Antibody recognizes endogenous levels of total DAPP1/BAM32 protein.

    Species Reactivity:

    Human, Mouse

    Source / Purification

    Monoclonal antibody is produced by immunizing animals with a synthetic peptide corresponding to residues surrounding Pro159 of human DAPP1/BAM32 protein.

    Background

    The dual adaptor of phosphotyrosine and 3-phosphoinositides (DAPP1/BAM32) is a cytoplasmic adaptor protein that mediates the recruitment and interaction of molecules required for signal transduction downstream of the B cell receptor (BCR) (1). The DAPP1/BAM32 protein contains an amino-terminal SH2 domain and a carboxy-terminal pleckstrin homology (PH) domain that binds to PI3K-derived phosphoinositides (i.e., PIP3). Upon BCR activation, DAPP1/BAM32 is phosphorylated at specific tyrosine residues and translocated from the cytoplasm to the membrane. Research studies indicate that phosphorylation and translocation of DAPP1/BAM32 is strongly dependent upon PI3K signaling (2,3). The amino-terminal SH2 domain binds to PLCγ2 and other tyrosine-phosphorylated targets. As a result of these interactions, DAPP1/BAM32 can adjust the response to receptor activation by coordinating membrane-localized interactions among proteins of distinct signal transduction pathways (1,4). DAPP1/BAM32 is expressed most abundantly in B lymphocytes; high expression during dendritic cell (DC) maturation and localization to contact sites between DC and allogenic T cells suggest that the DAPP1/BAM32 adaptor may play a role in the activation of T cells through MHC class I-mediated signaling pathways (5).

    Alternate Names

    B lymphocyte adapter protein Bam32; B-cell adapter molecule of 32 kDa; BAM32; DAPP1; DKFZp667E0716; Dual adapter for phosphotyrosine and 3-phosphotyrosine and 3-phosphoinositide; dual adaptor of phosphotyrosine and 3-phosphoinositides; dual adaptor of phosphotyrosine and 3-phosphoinositides 1; hDAPP1

    For Research Use Only. Not for Use in Diagnostic Procedures.
    Cell Signaling Technology is a trademark of Cell Signaling Technology, Inc.
    All other trademarks are the property of their respective owners. Visit our Trademark Information page.