DDB-1 (D4C8) Rabbit Monoclonal Antibody #6998
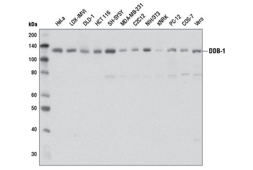
- WB
Product Specifications
| REACTIVITY | H M R Mk |
| SENSITIVITY | Endogenous |
| MW (kDa) | 127 |
| Source/Isotype | Rabbit IgG |
Application Key:
- WB-Western Blotting
Species Cross-Reactivity Key:
- H-Human
- M-Mouse
- R-Rat
- Mk-Monkey
Product Information
Product Usage Information
| Application | Dilution |
|---|---|
| Western Blotting | 1:1000 |
Storage
Protocol
Specificity / Sensitivity
Species Reactivity:
The antigen sequence used to produce this antibody shares 100% sequence homology with the species listed here, but reactivity has not been tested or confirmed to work by CST. Use of this product with these species is not covered under our Product Performance Guarantee.
Species predicted to react based on 100% sequence homology:
Source / Purification
Background
DDB-1 is a relatively abundant protein that is vital for normal cell function and is evolutionarily conserved in mammals, insects, worms and plants. Unlike DDB-2, lesions in DDB-1 have yet to be indentified in XP-E patients. In association with ROC-1 and CUL4A, DDB-1 functions to recruit substrate-specific targeting subunits, generally known as DCAFs or CDWs, to CUL4-RING E3 ubiquitin-protein ligase complexes (11,12). Ubiquitination of histone H2A, histone H3 and histone H4 at sites of UV-induced DNA damage by the DDB1-DDB2-CUL4A-ROC1 E3 ubiquitin-protein ligase complex may facilitate their removal from the nucleosome in order to promote DNA repair (13-15). DDB-1, in association with other CUL4-based E3 ligase complexes, has also been found to be a regulator of mTOR signaling (16,17).
- Reardon, J.T. et al. (1993) J Biol Chem 268, 21301-8.
- Keeney, S. et al. (1993) J Biol Chem 268, 21293-300.
- Hwang, B.J. and Chu, G. (1993) Biochemistry 32, 1657-66.
- Chu, G. and Chang, E. (1990) Proc Natl Acad Sci USA 87, 3324-7.
- Hirschfeld, S. et al. (1990) Mol Cell Biol 10, 2041-8.
- Payne, A. and Chu, G. (1994) Mutat Res 310, 89-102.
- Chu, G. and Chang, E. (1988) Science 242, 564-7.
- Nichols, A.F. et al. (1996) J Biol Chem 271, 24317-20.
- Kataoka, H. and Fujiwara, Y. (1991) Biochem Biophys Res Commun 175, 1139-43.
- Keeney, S. et al. (1992) Mutat Res 273, 49-56.
- He, Y.J. et al. (2006) Genes Dev 20, 2949-54.
- Lee, J. and Zhou, P. (2007) Mol Cell 26, 775-80.
- Wang, H. et al. (2006) Mol Cell 22, 383-94.
- Kapetanaki, M.G. et al. (2006) Proc Natl Acad Sci USA 103, 2588-93.
- Guerrero-Santoro, J. et al. (2008) Cancer Res 68, 5014-22.
- Ghosh, P. et al. (2008) Cell Cycle 7, 373-81.
- Hu, J. et al. (2008) Genes Dev 22, 866-71.
Alternate Names
damage specific DNA binding protein 1; damage-specific DNA binding protein 1, 127kDa; Damage-specific DNA-binding protein 1; DDB p127 subunit; DDB1; DDBa; DNA damage-binding protein 1; DNA damage-binding protein a; HBV X-associated protein 1; UV-damaged DNA-binding factor; UV-damaged DNA-binding protein 1; UV-DDB 1; UV-DDB1; XAP-1; XAP1; Xeroderma pigmentosum group E-complementing protein; XPCe; XPE; XPE-BF; XPE-binding factor
Limited Uses
Except as otherwise expressly agreed in a writing signed by a legally authorized representative of CST, the following terms apply to Products provided by CST, its affiliates or its distributors. Any Customer's terms and conditions that are in addition to, or different from, those contained herein, unless separately accepted in writing by a legally authorized representative of CST, are rejected and are of no force or effect.
Products are labeled with For Research Use Only or a similar labeling statement and have not been approved, cleared, or licensed by the FDA or other regulatory foreign or domestic entity, for any purpose. Customer shall not use any Product for any diagnostic or therapeutic purpose, or otherwise in any manner that conflicts with its labeling statement. Products sold or licensed by CST are provided for Customer as the end-user and solely for research and development uses. Any use of Product for diagnostic, prophylactic or therapeutic purposes, or any purchase of Product for resale (alone or as a component) or other commercial purpose, requires a separate license from CST. Customer shall (a) not sell, license, loan, donate or otherwise transfer or make available any Product to any third party, whether alone or in combination with other materials, or use the Products to manufacture any commercial products, (b) not copy, modify, reverse engineer, decompile, disassemble or otherwise attempt to discover the underlying structure or technology of the Products, or use the Products for the purpose of developing any products or services that would compete with CST products or services, (c) not alter or remove from the Products any trademarks, trade names, logos, patent or copyright notices or markings, (d) use the Products solely in accordance with CST Product Terms of Sale and any applicable documentation, and (e) comply with any license, terms of service or similar agreement with respect to any third party products or services used by Customer in connection with the Products.