Cell Signaling Technology Logo - Extra Large
Trial Size Available Flag

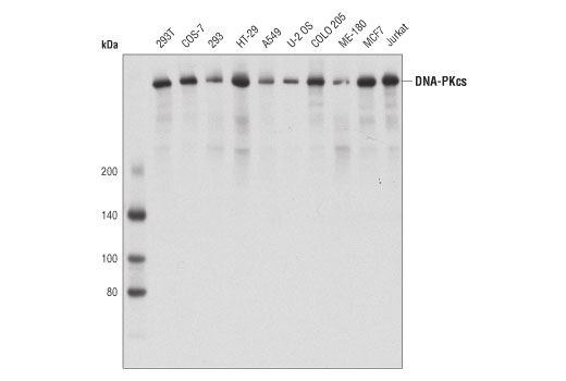
DNA-PKcs (3H6) Mouse Monoclonal Antibody #12311

Filter:
  • WB
  • IHC
  • IF

    Product Specifications

    REACTIVITY H Mk
    SENSITIVITY Endogenous
    MW (kDa) 450
    Source/Isotype Mouse IgG1
    Application Key:
    • WB-Western Blotting 
    • IHC-Immunohistochemistry 
    • IF-Immunofluorescence 
    Species Cross-Reactivity Key:
    • H-Human 
    • Mk-Monkey 

    Product Information

    Product Usage Information

    Application Dilution
    Western Blotting 1:1000
    Immunohistochemistry (Paraffin) 1:50
    Immunofluorescence (Immunocytochemistry) 1:50

    Storage

    Supplied in 10 mM sodium HEPES (pH 7.5), 150 mM NaCl, 100 µg/ml BSA, 50% glycerol and less than 0.02% sodium azide. Store at –20°C. Do not aliquot the antibody.

    For a carrier free (BSA and azide free) version of this product see product #91865.

    Protocol

    Specificity / Sensitivity

    DNA-PKcs (3H6) Mouse Monoclonal Antibody recognizes endogenous levels of total DNA-PKcs protein.

    Species Reactivity:

    Human, Monkey

    Source / Purification

    Monoclonal antibody is produced by immunizing animals with a recombinant protein fragment specific to human DNA-PKcs protein expressed in E.coli.

    Background

    DNA-dependent protein kinase (DNA-PK) is an important factor in the repair of double-stranded breaks in DNA. Cells lacking DNA-PK or in which DNA-PK is inhibited fail to show proper nonhomologous end-joining (NHEJ) (1-7). DNA-PK is composed of two DNA-binding subunits (Ku70 and Ku86) and one 450 kDa catalytic subunit (DNA-PKcs) (8). It is thought that a heterodimer of Ku70 and Ku86 binds to double-stranded DNA broken ends before DNA-PKcs binds and is activated (1,9). Activated DNA-PKcs is a serine/threonine kinase that has been shown to phosphorylate a number of proteins in vitro, including p53, transcription factors, RNA polymerase, and Ku70/Ku86 (10,11). DNA-PKcs autophosphorylation at multiple sites, including Thr2609 and Ser2056, results in an inactivation of DNA-PK kinase activity and NHEJ ability (12,13). It has been demonstrated, however, that DNA-PK preferentially phosphorylates substrates before it autophosphorylates, suggesting that DNA-PK autophosphorylation may play a role in disassembly of the DNA repair machinery (14,15). Autophosphorylation at Thr2609 has also been shown to be required for DNA-PK-mediated double-strand break repair, and phosphorylated DNA-PK co-localizes with H2A.X and 53BP1 at sites of DNA damage (16). Phosphorylation at Ser2056 occurs in response to double-stranded DNA breaks and ATM activation (17).
    1. Gottlieb, T.M. and Jackson, S.P. (1993) Cell 72, 131-42.
    2. Hartley, K.O. et al. (1995) Cell 82, 849-56.
    3. Rosenzweig, K.E. et al. (1997) Clin Cancer Res 3, 1149-56.
    4. Jackson, S.P. and Jeggo, P.A. (1995) Trends Biochem Sci 20, 412-5.
    5. Roth, D.B. et al. (1995) Curr Biol 5, 496-9.
    6. Baumann, P. and West, S.C. (1998) Proc Natl Acad Sci U S A 95, 14066-70.
    7. Chen, S. et al. (2001) J Biol Chem 276, 24323-30.
    8. Jeggo, P.A. (1997) Mutat Res 384, 1-14.
    9. Suwa, A. et al. (1994) Proc Natl Acad Sci U S A 91, 6904-8.
    10. Anderson, C.W. and Lees-Miller, S.P. (1992) Crit Rev Eukaryot Gene Expr 2, 283-314.
    11. Kuhn, A. et al. (1995) Genes Dev 9, 193-203.
    12. Chan, D.W. and Lees-Miller, S.P. (1996) J Biol Chem 271, 8936-41.
    13. Douglas, P. et al. (2002) Biochem. J. 368, 243-51.
    14. Lees-Miller, S.P. et al. (1992) Mol Cell Biol 12, 5041-9.
    15. Jackson, S.P. et al. (1990) Cell 63, 155-65.
    16. Chan, D.W. et al. (2002) Genes Dev 16, 2333-8.
    17. Yajima, H. et al. (2009) J Mol Biol 385, 800-10.

    Alternate Names

    DNA-dependent protein kinase catalytic subunit; DNA-PK; DNA-PK catalytic subunit; DNA-PKC; DNA-PKcs; DNAPK; DNAPKc; DNPK1; hyper-radiosensitivity of murine scid mutation, complementing 1; HYRC; HYRC1; IMD26; p350; p460; PRKDC; protein kinase, DNA-activated, catalytic polypeptide; protein kinase, DNA-activated, catalytic subunit; XRCC7

    For Research Use Only. Not for Use in Diagnostic Procedures.
    Cell Signaling Technology is a trademark of Cell Signaling Technology, Inc.
    All other trademarks are the property of their respective owners. Visit our Trademark Information page.