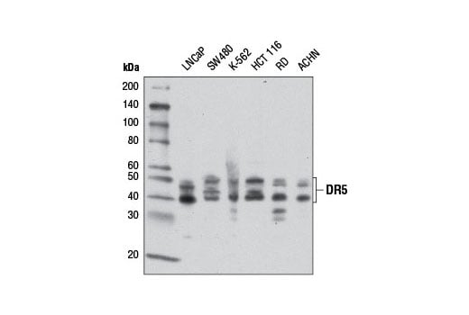
DR5 (D4E9) Rabbit Monoclonal Antibody #8074
- WB
- IP
- IF
Product Specifications
| REACTIVITY | H |
| SENSITIVITY | Endogenous |
| MW (kDa) | 40, 48 |
| Source/Isotype | Rabbit IgG |
Application Key:
- WB-Western Blotting
- IP-Immunoprecipitation
- IF-Immunofluorescence
Species Cross-Reactivity Key:
- H-Human
Product Information
Product Usage Information
| Application | Dilution |
|---|---|
| Western Blotting | 1:1000 |
| Immunoprecipitation | 1:100 |
| Immunofluorescence (Immunocytochemistry) | 1:50 |
Storage
For a carrier free (BSA and azide free) version of this product see product #83026.
Protocol
Specificity / Sensitivity
Species Reactivity:
Source / Purification
Background
DR5 is a receptor for TNF-related apoptosis inducing ligand (TRAIL), which has been shown to induce apoptosis in a variety of cell types and has been targeted for cancer therapy (1-5). Structurally, DR5 contains an amino-terminal leader cleavage site, followed by an extracellular region containing two cysteine-rich repeats, a central transmembrane domain, and a carboxy-terminal DD. DR5 is expressed in a wide variety of tissues and is a transcriptional target of p53 (6-8). It induces apoptosis through a FADD-dependent pathway. Deletion of DR5 leads to resistance in TRAIL-mediated apoptosis as well as an abrogated response to DNA-damaging stimuli (9). At least two isoforms of DR5 are produced by alternative splicing (10).
- Nagata, S. (1997) Cell 88, 355-65.
- Thorburn, A. (2004) Cell Signal 16, 139-44.
- Wiley, S.R. et al. (1995) Immunity 3, 673-82.
- Walczak, H. et al. (1997) EMBO J 16, 5386-97.
- Chaudhary, P.M. et al. (1997) Immunity 7, 821-30.
- MacFarlane, M. et al. (1997) J Biol Chem 272, 25417-20.
- Wu, G.S. et al. (2000) Adv Exp Med Biol 465, 143-51.
- Wu, G.S. et al. (1997) Nat Genet 17, 141-3.
- Finnberg, N. et al. (2005) Mol Cell Biol 25, 2000-13.
- Screaton, G.R. et al. (1997) Curr Biol 7, 693-6.
Alternate Names
apoptosis inducing protein TRICK2A/2B; apoptosis inducing receptor TRAIL-R2; CD262; cytotoxic TRAIL receptor-2; death domain containing receptor for TRAIL/Apo-2L; death receptor 5; DR5; Fas-like protein; KILLER; KILLER/DR5; p53-regulated DNA damage-inducible cell death receptor(killer); TNF receptor superfamily member 10b; TNF-related apoptosis-inducing ligand receptor 2; TNFRSF10B; TR10B; TRAIL receptor 2; TRAIL-R2; TRAILR2; TRICK2; TRICK2A; TRICK2B; TRICKB; Tumor necrosis factor receptor superfamily member 10B; tumor necrosis factor receptor superfamily, member 10b; tumor necrosis factor receptor-like protein ZTNFR9; ZTNFR9
Limited Uses
Except as otherwise expressly agreed in a writing signed by a legally authorized representative of CST, the following terms apply to Products provided by CST, its affiliates or its distributors. Any Customer's terms and conditions that are in addition to, or different from, those contained herein, unless separately accepted in writing by a legally authorized representative of CST, are rejected and are of no force or effect.
Products are labeled with For Research Use Only or a similar labeling statement and have not been approved, cleared, or licensed by the FDA or other regulatory foreign or domestic entity, for any purpose. Customer shall not use any Product for any diagnostic or therapeutic purpose, or otherwise in any manner that conflicts with its labeling statement. Products sold or licensed by CST are provided for Customer as the end-user and solely for research and development uses. Any use of Product for diagnostic, prophylactic or therapeutic purposes, or any purchase of Product for resale (alone or as a component) or other commercial purpose, requires a separate license from CST. Customer shall (a) not sell, license, loan, donate or otherwise transfer or make available any Product to any third party, whether alone or in combination with other materials, or use the Products to manufacture any commercial products, (b) not copy, modify, reverse engineer, decompile, disassemble or otherwise attempt to discover the underlying structure or technology of the Products, or use the Products for the purpose of developing any products or services that would compete with CST products or services, (c) not alter or remove from the Products any trademarks, trade names, logos, patent or copyright notices or markings, (d) use the Products solely in accordance with CST Product Terms of Sale and any applicable documentation, and (e) comply with any license, terms of service or similar agreement with respect to any third party products or services used by Customer in connection with the Products.