Render Target: STATIC
Render Timestamp:
5/22/2026, 6:49:29 AM EDT
5/22/2026, 10:49:29 AM UTC
Commit: 7ed46ecc04b401f23a28df741b5078df405d23e4
XML generation date: 2026-01-23 16:04:35.892
Product last modified at: 2026-03-20T08:03:21.037Z
Cell Signaling Technology Logo - Extra Large
1% for the planet logo
PDP - Template Name: Monoclonal Antibody
PDP - Template ID: *******c5e4b77
Recombinant Flag
Recombinant: Superior lot-to-lot consistency, continuous supply, and animal-free manufacturing.

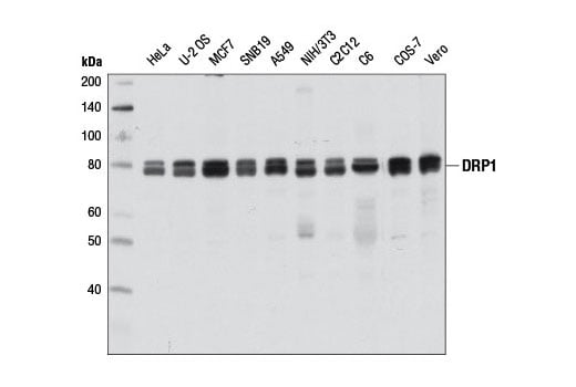
DRP1 (D8H5) Rabbit Monoclonal Antibody (BSA and Azide Free) #54675

Filter:
  • WB
  • ELISA+

    Product Specifications

    REACTIVITY H M R Mk
    SENSITIVITY Endogenous
    MW (kDa) 78-82
    Source/Isotype Rabbit IgG
    Application Key:
    • WB-Western Blotting 
    • ELISA+-ELISA and/or ELISA-like Assays 
    Species Cross-Reactivity Key:
    • H-Human 
    • M-Mouse 
    • R-Rat 
    • Mk-Monkey 

    Product Information

    Product Usage Information

    This product is the carrier free version of product #5391. All data were generated using the same antibody clone in the standard formulation which contains BSA and glycerol.

    This formulation is ideal for use with technologies requiring specialized or custom antibody labeling, including fluorophores, metals, lanthanides, and oligonucleotides. It is not recommended for ChIP, ChIP-seq, CUT&RUN or CUT&Tag assays. If you require a carrier free formulation for chromatin profiling, please contact us. Optimal dilutions/concentrations should be determined by the end user.

    BSA and Azide Free antibodies are quality control tested by size exclusion chromatography (SEC) to determine antibody integrity.

    Formulation

    Supplied in 1X PBS (10 mM Na2HPO4, 3 mM KCl, 2 mM KH2PO4, and 140 mM NaCl (pH 7.8)). BSA and Azide Free.

    For standard formulation of this product see product #5391

    Storage

    Store at -20°C. This product will freeze at -20°C so it is recommended to aliquot into single-use vials to avoid multiple freeze/thaw cycles. A slight precipitate may be present and can be dissolved by gently vortexing. This will not interfere with antibody performance.

    Specificity / Sensitivity

    DRP1 (D8H5) Rabbit Monoclonal Antibody (BSA and Azide Free) recognizes endogenous levels of total DRP1 protein.

    Species Reactivity:

    Human, Mouse, Rat, Monkey

    Source / Purification

    Monoclonal antibody is produced by immunizing animals with a recombinant protein specific to the carboxy terminus of human DRP1 protein.

    Background

    Dynamin-related protein 1 (DRP1) is a member of the dynamin superfamily of GTPases. Members of this family have diverse cellular functions including vesicle scission, organelle fission, viral resistance, and intracellular trafficking (reviewed in 1). DRP1 affects mitochondrial morphology and is important in mitochondrial and peroxisomal fission in mammalian cells (2-5). The yeast ortholog of DRP1 clusters into a spiral-shaped structure on the mitochondrial membrane at the site of fission (reviewed in 6), and this structure is likely conserved in mammalian cells (3). The division of the mitochondria, which is required for apoptosis, as well as normal cell growth and development is controlled, in part, by the phosphorylation of DRP1 at Ser616 by Cdk1/cyclin B and at Ser637 by protein kinase A (PKA) (reviewed in 6). When phosphorylated at Ser616, DRP1 stimulates mitochondrial fission during mitosis. Conversely, fission is inhibited when DRP1 is phosphorylated at Ser637 (reviewed in 6). Dephosphorylation at Ser637 by calcineurin reverses this inhibition (7). In addition to phosphorylation, sumoylation of DRP1 is also an enhancer of mitochondrial fission (8). Balancing fission and fusion events is essential for proper mitochondrial function. Research studies have demonstrated mitochondrial defects in a variety of neurodegenerative diseases including Alzheimer’s disease, Parkinson’s disease, and Huntington’s disease (reviewed in 6).

    Alternate Names

    DLP1; DNM1L; Dnm1p/Vps1p-like protein; DRP1; DVLP; Dymple; dynamin 1 like; dynamin 1-like; Dynamin family member proline-rich carboxyl-terminal domain less; Dynamin-1-like protein; Dynamin-like protein; Dynamin-like protein 4; Dynamin-like protein IV; Dynamin-related protein 1; DYNIV-11; EMPF; EMPF1; FLJ41912; HdynIV; OPA5; VPS1

    For Research Use Only. Not for Use in Diagnostic Procedures.
    Cell Signaling Technology is a trademark of Cell Signaling Technology, Inc.
    All other trademarks are the property of their respective owners. Visit our Trademark Information page.