Cell Signaling Technology Logo - Extra Large
Trial Size Available Flag
Recombinant Flag
Recombinant: Superior lot-to-lot consistency, continuous supply, and animal-free manufacturing.

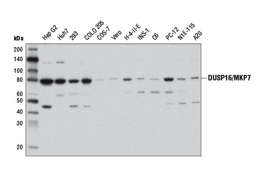
DUSP16/MKP7 (D5F4) Rabbit Monoclonal Antibody #5523

Filter:
  • WB

    Product Specifications

    REACTIVITY H M R Mk
    SENSITIVITY Endogenous
    MW (kDa) 79
    Source/Isotype Rabbit IgG
    Application Key:
    • WB-Western Blotting 
    Species Cross-Reactivity Key:
    • H-Human 
    • M-Mouse 
    • R-Rat 
    • Mk-Monkey 

    Product Information

    Product Usage Information

    Application Dilution
    Western Blotting 1:1000

    Storage

    Supplied in 10 mM sodium HEPES (pH 7.5), 150 mM NaCl, 100 µg/ml BSA, 50% glycerol and less than 0.02% sodium azide. Store at –20°C. Do not aliquot the antibody.

    Protocol

    Specificity / Sensitivity

    DUSP16/MKP7 (D5F4) Rabbit Monoclonal Antibody recognizes endogenous levels of total DUSP16 protein.

    Species Reactivity:

    Human, Mouse, Rat, Monkey

    The antigen sequence used to produce this antibody shares 100% sequence homology with the species listed here, but reactivity has not been tested or confirmed to work by CST. Use of this product with these species is not covered under our Product Performance Guarantee.

    Species predicted to react based on 100% sequence homology:

    Horse

    Source / Purification

    Monoclonal antibody is produced by immunizing animals with a synthetic peptide corresponding to residues surrounding Lys431 of human DUSP16 protein.

    Background

    MAP kinases are inactivated by dual-specificity protein phosphatases (DUSPs) that differ in their substrate specificity, tissue distribution, inducibility by extracellular stimuli, and cellular localization. DUSPs, also known as MAPK phosphatases (MKPs), specifically dephosphorylate both threonine and tyrosine residues in MAPK P-loops and have been shown to play important roles in regulating the function of the MAPK family (1,2). At least 13 members of the family (DUSP1-10, DUSP14, DUSP16, and DUSP22) display unique substrate specificities for various MAP kinases (3). MAPK phosphatases typically contain an amino-terminal rhodanese-fold responsible for DUSP docking to MAPK family members and a carboxy-terminal catalytic domain (4). These phosphatases can play important roles in development, immune system function, stress responses, and metabolic homeostasis (5). In addition, research studies have implicated DUSPs in the development of cancer and the response of cancer cells to chemotherapy (6).

    DUSP16/MKP7 is a negative regulator of the JNK/SAPK family of stress-activated MAP kinases. It inhibits JNK-mediated signaling events by dephosphorylating threonine and tyrosine residues within the activation loop of JNK proteins, effectively preventing further activation of downstream effectors (7,8). DUSP16/MKP7 expression has been shown to be upregulated after oxidative stress, presumably as a means of supressing JNK activity in order to return the cells to a homeostatic state (9). DUSP16 is normally turned over at a high-rate in most cells, but the stability of the protein can be enhanced by Erk1/2-mediated phosphorylation on Ser446, indicating that activation of mitogenic signaling pathways can supress stress-response pathways via stabilization of a JNK phosphatase (10,11). Despite demonstrating a substrate preference towards JNK proteins, DUSP16/MKP7 has been shown to interact with other MAPK family members (Erk1/2, p38 MAPKs) as well as scaffolding proteins that may coordinate its activity and specificity (12,13).

    DUSP16 is epigenetically silenced in Burkitt's lymphoma by increased methylation of the 5' regulatory regions of the gene (14). Methylation of the DUSP16 gene and expression of DUSP16 protein inversely correlate with increased basal levels of JNK acitvitiy, suggesting DUSP16/MKP7 may play a critical role in maintaining JNK signaling in an "off" state in normal cells (14). More recently, DUSP16/MKP7 has been shown to play a crucial role in T helper (Th) cell differentiation into Th1 and Th2 cells, mediated by JNK signaling pathways (15). DUSP16/MKP7 expression is preferentially high in Th2 cells and low in Th1 cells during differentiation, resulting in either low (Th2) or high (Th1) JNK activity. This suggests that DUSP16 expression may be a regulator of Th cell balance (15).
    1. Camps, M. et al. (2000) FASEB J 14, 6-16.
    2. Theodosiou, A. and Ashworth, A. (2002) Genome Biol 3, REVIEWS3009.
    3. Salojin, K. and Oravecz, T. (2007) J Leukoc Biol 81, 860-9.
    4. Tanoue, T. et al. (2002) J Biol Chem 277, 22942-9.
    5. Dickinson, R.J. and Keyse, S.M. (2006) J Cell Sci 119, 4607-15.
    6. Wu, G.S. (2007) Cancer Metastasis Rev 26, 579-85.
    7. Matsuguchi, T. et al. (2001) Mol Cell Biol 21, 6999-7009.
    8. Masuda, K. et al. (2001) J Biol Chem 276, 39002-11.
    9. Teng, C.H. et al. (2007) J Biol Chem 282, 28395-407.
    10. Katagiri, C. et al. (2005) J Biol Chem 280, 14716-22.
    11. Masuda, K. et al. (2003) J Biol Chem 278, 32448-56.
    12. Willoughby, E.A. and Collins, M.K. (2005) J Biol Chem 280, 25651-8.
    13. Willoughby, E.A. et al. (2003) J Biol Chem 278, 10731-6.
    14. Lee, S. et al. (2010) Br J Cancer 103, 265-74.
    15. Musikacharoen, T. et al. (2011) J Biol Chem 286, 24896-905.

    Alternate Names

    dual specificity phosphatase 16; Dual specificity protein phosphatase 16; DUS16; DUSP16; KIAA1700; MAP kinase phosphatase 7; MAPK phosphatase-7; MGC129701; MGC129702; Mitogen-activated protein kinase phosphatase 7; MKP-7; MKP7

    For Research Use Only. Not for Use in Diagnostic Procedures.
    Cell Signaling Technology is a trademark of Cell Signaling Technology, Inc.
    All other trademarks are the property of their respective owners. Visit our Trademark Information page.