Cell Signaling Technology Logo - Extra Large
Trial Size Available Flag
Recombinant Flag
Recombinant: Superior lot-to-lot consistency, continuous supply, and animal-free manufacturing.

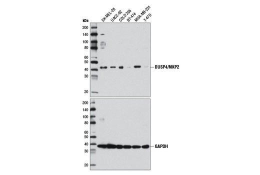
DUSP4/MKP2 (D9A5) Rabbit Monoclonal Antibody #5149

Filter:
  • WB

    Product Specifications

    REACTIVITY H Mk
    SENSITIVITY Endogenous
    MW (kDa) 42
    Source/Isotype Rabbit
    Application Key:
    • WB-Western Blotting 
    Species Cross-Reactivity Key:
    • H-Human 
    • Mk-Monkey 

    Product Information

    Product Usage Information

    Application Dilution
    Western Blotting 1:1000
    Simple Western™ 1:50 - 1:250

    Storage

    Supplied in 10 mM sodium HEPES (pH 7.5), 150 mM NaCl, 100 µg/ml BSA, 50% glycerol and less than 0.02% sodium azide. Store at –20°C. Do not aliquot the antibody.

    Protocol

    Specificity / Sensitivity

    DUSP4/MKP2 (D9A5) Rabbit Monoclonal Antibody recognizes endogenous levels of total DUSP4 protein.

    Species Reactivity:

    Human, Monkey

    Source / Purification

    Monoclonal antibody is produced by immunizing animals with a synthetic peptide corresponding to residues surrounding Pro168 of human DUSP4 protein.

    Background

    MAP kinases are inactivated by dual-specificity protein phosphatases (DUSPs) that differ in their substrate specificity, tissue distribution, inducibility by extracellular stimuli, and cellular localization. DUSPs, also known as MAPK phosphatases (MKPs), specifically dephosphorylate both threonine and tyrosine residues in MAPK P-loops and have been shown to play important roles in regulating the function of the MAPK family (1,2). At least 13 members of the family (DUSP1-10, DUSP14, DUSP16, and DUSP22) display unique substrate specificities for various MAP kinases (3). MAPK phosphatases typically contain an amino-terminal rhodanese-fold responsible for DUSP docking to MAPK family members and a carboxy-terminal catalytic domain (4). These phosphatases can play important roles in development, immune system function, stress responses, and metabolic homeostasis (5). In addition, research studies have implicated DUSPs in the development of cancer and the response of cancer cells to chemotherapy (6).

    DUSP4 (MKP2, hVH2) is a nuclear dual-specificity phosphatase that is a negative regulator of Erk1/2 signaling by dephosphorylating and inactivating Erk1/2 in response to growth factors (7,8). Treatment with mitogen or expression of activating mutations of Ras (G12V) or Raf (V600E) promote increased expression of DUSP4 and a coincident decrease in phospho-Erk in the nucleus (9). In contrast, numerous studies have detected decreased expression of DUSP4 in a variety of tumor types, resulting in increased signaling via the Ras/Erk pathway, enhanced tumor growth, and decreased drug sensitivity (10-12). DUSP4/MKP2 also plays an important role in regulating the immune system where it has been implicated in regulating T and B cell proliferation and apoptosis, and adaptive and inflammatory responses (13-16).
    1. Camps, M. et al. (2000) FASEB J 14, 6-16.
    2. Theodosiou, A. and Ashworth, A. (2002) Genome Biol 3, REVIEWS3009.
    3. Salojin, K. and Oravecz, T. (2007) J Leukoc Biol 81, 860-9.
    4. Tanoue, T. et al. (2002) J Biol Chem 277, 22942-9.
    5. Dickinson, R.J. and Keyse, S.M. (2006) J Cell Sci 119, 4607-15.
    6. Wu, G.S. (2007) Cancer Metastasis Rev 26, 579-85.
    7. Peng, D.J. et al. (2010) Cell Cycle 9, 4650-5.
    8. Lawan, A. et al. (2011) J Biol Chem 286, 12933-43.
    9. Cagnol, S. and Rivard, N. (2012) Oncogene , .
    10. Chitale, D. et al. (2009) Oncogene 28, 2773-83.
    11. Waha, A. et al. (2010) Cancer Res 70, 1689-99.
    12. Balko, J.M. et al. (2012) Nat Med 18, 1052-9.
    13. Ramesh, S. et al. (2008) EMBO Rep 9, 990-7.
    14. Cornell, T.T. et al. (2010) Infect Immun 78, 2868-76.
    15. Huang, C.Y. et al. (2012) Eur J Immunol 42, 476-88.
    16. Yu, M. et al. (2012) Proc Natl Acad Sci U S A 109, E879-88.

    Alternate Names

    dual specificity phosphatase 4; Dual specificity protein phosphatase 4; Dual specificity protein phosphatase hVH2; DUS4; DUSP4; HVH2; MAP kinase phosphatase 2; Mitogen-activated protein kinase phosphatase 2; MKP-2; MKP2; serine/threonine specific protein phosphatase; TYP; VH1 homologous phosphatase 2; VH2

    For Research Use Only. Not for Use in Diagnostic Procedures.
    Cell Signaling Technology is a trademark of Cell Signaling Technology, Inc.
    All other trademarks are the property of their respective owners. Visit our Trademark Information page.