Cell Signaling Technology Logo - Extra Large
Recombinant Flag
Recombinant: Superior lot-to-lot consistency, continuous supply, and animal-free manufacturing.

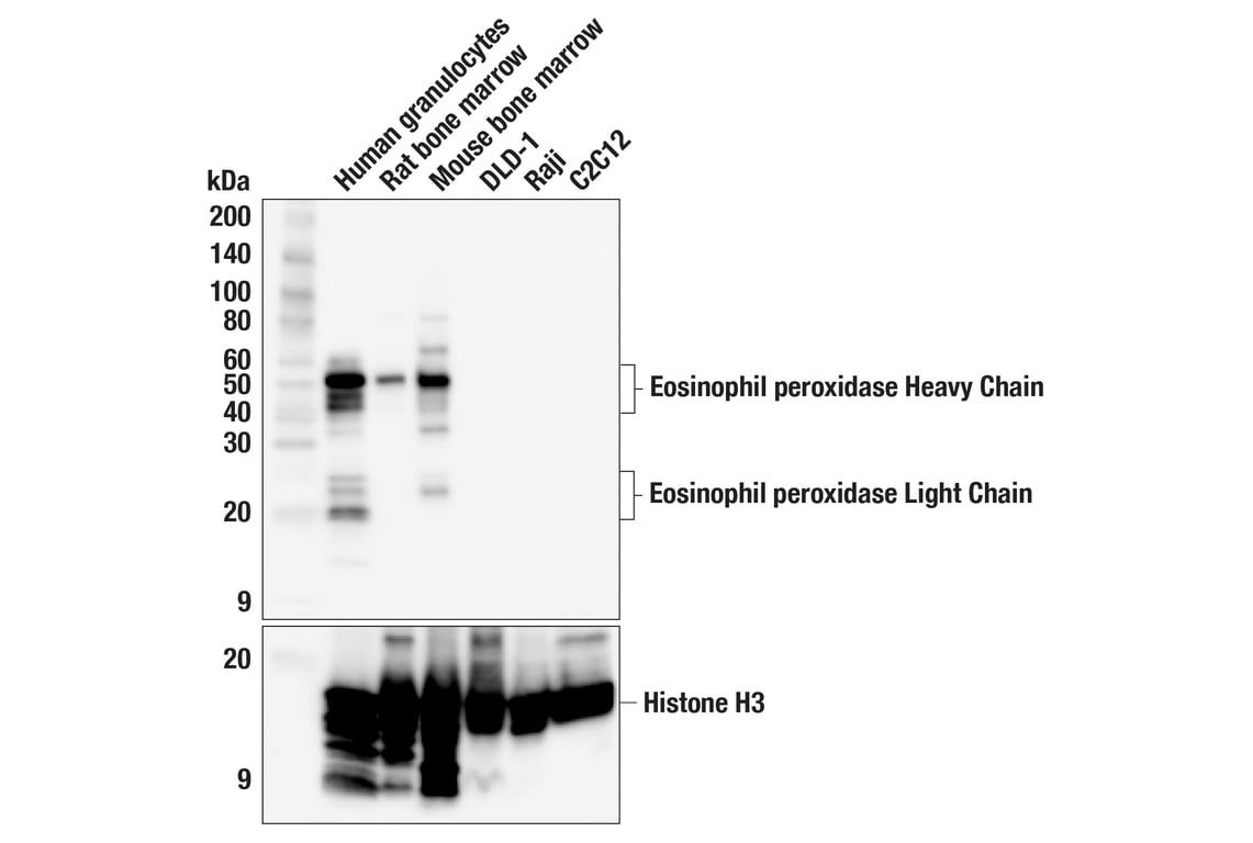
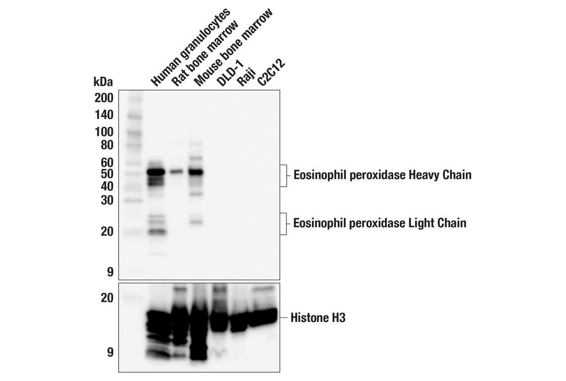
Eosinophil peroxidase (F4O7J) Rabbit Monoclonal Antibody (BSA and Azide Free) #69487

Filter:
  • WB

    Product Specifications

    REACTIVITY H M R
    SENSITIVITY Endogenous
    MW (kDa) 81, 45-50, 20-25
    Source/Isotype Rabbit IgG
    Application Key:
    • WB-Western Blotting 
    Species Cross-Reactivity Key:
    • H-Human 
    • M-Mouse 
    • R-Rat 

    Product Information

    Product Usage Information

    This product is the carrier free version of product #31743. All data were generated using the same antibody clone in the standard formulation which contains BSA and glycerol.

    This formulation is ideal for use with technologies requiring specialized or custom antibody labeling, including fluorophores, metals, lanthanides, and oligonucleotides. It is not recommended for ChIP, ChIP-seq, CUT&RUN or CUT&Tag assays. If you require a carrier free formulation for chromatin profiling, please contact us. Optimal dilutions/concentrations should be determined by the end user.

    BSA and Azide Free antibodies are quality control tested by size exclusion chromatography (SEC) to determine antibody integrity.

    Formulation

    Supplied in 1X PBS (10 mM Na2HPO4, 3 mM KCl, 2 mM KH2PO4, and 140 mM NaCl (pH 7.8)). BSA and Azide Free.

    For standard formulation of this product see product #31743

    Storage

    Store at -20°C. This product will freeze at -20°C so it is recommended to aliquot into single-use vials to avoid multiple freeze/thaw cycles. A slight precipitate may be present and can be dissolved by gently vortexing. This will not interfere with antibody performance.

    Specificity / Sensitivity

    Eosinophil peroxidase (F4O7J) Rabbit Monoclonal Antibody (BSA and Azide Free) recognizes endogenous levels of total Eosinophil peroxidase protein. This antibody recognizes the full-length precursor, heavy chain, and light chain subunits of human Eosinophil peroxidase protein.

    Species Reactivity:

    Human, Mouse, Rat

    Source / Purification

    Monoclonal antibody is produced by immunizing animals with a synthetic peptide corresponding to residues surrounding Asn585 of human Eosinophil peroxidase protein.

    Background

    Eosinophil peroxidase (EPX), also known as EPO, is a cationic protein stored in the secondary granulocytes of eosinophils (1-4). Unprocessed precursor EPX is an 80 kDa monomeric glycoprotein, which consists of two polypeptides linked by disulfide bonds: ~55 kDa heavy and ~15 kDa light chain (1-3, 6). In response to allergens or parasitic infection, eosinophils are recruited to affected tissues, where EPX catalyzes the formation of reactive oxidants lethal to tissue-invading parasites (1-4). In the tumor microenvironment of some breast cancers, eosinophils accumulate near blood vessels and infiltrate hypoxic regions, where EPX is released in high quantities by infiltrating immune cells (5). EPX may contribute to cancer progression by augmenting pro-tumorigenic collagen production and angiogenesis, making it a potential therapeutic target in breast cancer therapy (5).

    Alternate Names

    Eosinophil peroxidase; Eosinophil peroxidase heavy chain; Eosinophil peroxidase light chain; EPER; EPO; EPP; EPX; EPX-PEN; EPXD; PERE

    For Research Use Only. Not for Use in Diagnostic Procedures.
    Cell Signaling Technology is a trademark of Cell Signaling Technology, Inc.
    All other trademarks are the property of their respective owners. Visit our Trademark Information page.